Skip to main content

MUC2 Antibody (JA10-92)

Novus Biologicals, part of Bio-Techne | Catalog # NBP2-66961

Recombinant Monoclonal Antibody.
Novus Biologicals, part of Bio-Techne
Catalog #
Availability
Size / Price
Qty
Loading...
NBP2-66961

Key Product Details

Validated by

Biological Validation

Species Reactivity

Human

Applications

Validated:

Immunohistochemistry, Immunohistochemistry-Paraffin, Western Blot, Flow Cytometry, Immunocytochemistry/ Immunofluorescence

Cited:

Immunocytochemistry/ Immunofluorescence

Label

Unconjugated

Antibody Source

Recombinant Monoclonal Rabbit IgG Clone # JA10-92 expressed in HEK293

Concentration

1 mg/ml

Product Specifications

Immunogen

Synthetic peptide within Human MUC2 aa 5000-5049 / 5179. (SwissProt: Q02817 Human; SwissProt: Q62635 Rat)

Localization

Secreted.

Specificity

MUC2 Antibody (JA10-91) is tissue specific for colon, small intestine, colonic tumors, bronchus, cervix and gall bladder.

Clonality

Monoclonal

Host

Rabbit

Isotype

IgG

Theoretical MW

540 kDa.
Disclaimer note: The observed molecular weight of the protein may vary from the listed predicted molecular weight due to post translational modifications, post translation cleavages, relative charges, and other experimental factors.

Description

Novus Biologicals Rabbit MUC2 Antibody (JA10-92) (NBP2-66961) is a recombinant monoclonal antibody validated for use in IHC, WB, Flow and ICC/IF. Anti-MUC2 Antibody: Cited in 1 publication. All Novus Biologicals antibodies are covered by our 100% guarantee.

Scientific Data Images for MUC2 Antibody (JA10-92)

Western Blot: MUC2 Antibody (JA10-92) [NBP2-66961]

Western Blot: MUC2 Antibody (JA10-92) [NBP2-66961]

Western Blot: MUC2 Antibody (JA10-92) [NBP2-66961] - Analysis of MUC2 on different lysates. Proteins were transferred to a PVDF membrane and blocked with 5% BSA in PBS for 1 hour at room temperature. The primary antibody (1/500) was used in 5% BSA at room temperature for 2 hours. Goat Anti-Rabbit IgG - HRP Secondary Antibody at 1:5,000 dilution was used for 1 hour at room temperature. Positive control: Lane 1: SHSY-5Y cell lysateLane 2: SKBR3 cell lysate
Immunocytochemistry/ Immunofluorescence: MUC2 Antibody (JA10-92) [NBP2-66961]

Immunocytochemistry/ Immunofluorescence: MUC2 Antibody (JA10-92) [NBP2-66961]

Immunocytochemistry/Immunofluorescence: MUC2 Antibody (JA10-92) [NBP2-66961] - Staining MUC2 in SW480 cells (red). The nuclear counter stain is DAPI (blue). Cells were fixed in paraformaldehyde, permeabilised with 0.25% Triton X100/PBS.
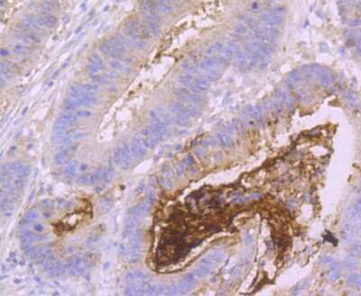
Immunohistochemistry-Paraffin: MUC2 Antibody (JA10-92) [NBP2-66961]

Immunohistochemistry-Paraffin: MUC2 Antibody (JA10-92) [NBP2-66961]

Immunohistochemistry-Paraffin: MUC2 Antibody (JA10-92) [NBP2-66961] - Immunohistochemical analysis of paraffin-embedded human small intestine tissue using anti-MUC2 antibody. The section was pre-treated using heat mediated antigen retrieval with Tris-EDTA buffer (pH 8.0-8.4) for 20 minutes. The tissues were blocked in 5% BSA for 30 minutes at room temperature, washed with ddH2O and PBS, and then probed with the primary antibody (1/200) for 30 minutes at room temperature. The detection was performed using an HRP conjugated compact polymer system. DAB was used as the chromogen. Tissues were counterstained with hematoxylin and mounted with DPX.

Applications for MUC2 Antibody (JA10-92)

Application
Recommended Usage

Flow Cytometry

1:50-1:100

Immunocytochemistry/ Immunofluorescence

1:100-1:500

Immunohistochemistry-Paraffin

1:50-1:200

Western Blot

1:500-1:1000

Formulation, Preparation, and Storage

Purification

Protein A purified

Formulation

TBS (pH7.4), 0.05% BSA, 40% Glycerol

Preservative

0.05% Sodium Azide

Concentration

1 mg/ml

Shipping

The product is shipped with polar packs. Upon receipt, store it immediately at the temperature recommended below.

Stability & Storage

Store at 4C short term. Aliquot and store at -20C long term. Avoid freeze-thaw cycles.

Background: MUC2

MUC2, also called mucin 2, is a member of the mucin protein family which are heavily glycosylated, high molecular weight proteins that are produced by goblet cells in epithelial tissues including the intestinal and respiratory tract (1). Mucins can form gels and function in lubrication of mucosal surfaces which serve as a protective barrier of the epithelial lining and an innate host defense (1). Mucins are divided into two groups based on whether they are membrane-bound or secreted, where MUC2 belongs to the secretory group (1,2). Secreted mucins have a distinctive composition characterized by a large central exon "mucin domain" containing O-glycosylated tandem repeat regions rich in proline, threonine, and serine residues, non-repetitive domains, and cysteine-rich domains (1,2). The mucin domain is flanked by 5' and 3' D domains, a B-like domain, a C-like domain, and a Ck-domain (1,2). MUC2 was the first secretory mucin identified in humans (3,4). Full-length MUC2 protein is synthesized as 5179 amino acids (aa) in length with a theoretical molecular weight of ~540 kDa (5).

Changes or perturbations to MUC2 expression has been associated with a number of disease pathologies (1-4, 6). Specifically, altered MUC2 composition has been indicated in colorectal cancer, inflammatory bowel diseases (IBD) including ulcerative colitis and Chron's disease, and chronic obstructive pulmonary disease (COPD) (1-4, 6). In general, decreased or reduced MUC2 expression is associated with colorectal cancer disease progression and development of IBD (1-4, 6). Additionally, studies have found that upon intestinal infection due to parasites or bacteria MUC2 expression is increased, as is overall mucus secretion (3, 6).

References

1. Pothuraju, R., Krishn, S. R., Gautam, S. K., Pai, P., Ganguly, K., Chaudhary, S., Rachagani, S., Kaur, S., & Batra, S. K. (2020). Mechanistic and Functional Shades of Mucins and Associated Glycans in Colon Cancer. Cancers. https://doi.org/10.3390/cancers12030649

2. Ballester, B., Milara, J., & Cortijo, J. (2019). Mucins as a New Frontier in Pulmonary Fibrosis. Journal of Clinical Medicine. https://doi.org/10.3390/jcm8091447

3. Liu, Y., Yu, X., Zhao, J., Zhang, H., Zhai, Q., & Chen, W. (2020). The role of MUC2 mucin in intestinal homeostasis and the impact of dietary components on MUC2 expression. International Journal of Biological Macromolecules. https://doi.org/10.1016/j.ijbiomac.2020.07.191

4. Allen, A., Hutton, D. A., & Pearson, J. P. (1998). The MUC2 gene product: a human intestinal mucin. The International Journal of Biochemistry & Cell Biology. https://doi.org/10.1016/s1357-2725(98)00028-4

5. Uniprot (Q02817)

6. Kim, Y. S., & Ho, S. B. (2010). Intestinal goblet cells and mucins in health and disease: recent insights and progress. Current Gastroenterology Reports. https://doi.org/10.1007/s11894-010-0131-2

Alternate Names

Intestinal mucin-2, MLP, MUC2, MUC-2, mucin 2, intestinal/tracheal, mucin 2, oligomeric mucus/gel-forming, mucin-2, SMUC

Gene Symbol

MUC2

Additional MUC2 Products

Product Documents for MUC2 Antibody (JA10-92)

Certificate of Analysis

To download a Certificate of Analysis, please enter a lot number in the search box below.

Product Specific Notices for MUC2 Antibody (JA10-92)

This product is for research use only and is not approved for use in humans or in clinical diagnosis. Primary Antibodies are guaranteed for 1 year from date of receipt.

Loading...
Loading...
Loading...
Loading...
Loading...