Skip to main content

MUC1 Antibody (MUC1/520) - IHC-Prediluted

Novus Biologicals, part of Bio-Techne | Catalog # NBP2-48375

Novus Biologicals, part of Bio-Techne
Catalog #
Availability
Size / Price
Qty
Loading...
NBP2-48375

Key Product Details

Species Reactivity

Human

Applications

Immunohistochemistry, Immunohistochemistry-Paraffin

Label

Unconjugated

Antibody Source

Monoclonal Mouse IgG2a Lambda Clone # MUC1/520

Format

IHC-Prediluted

Concentration

Please see the vial label for concentration. If unlisted please contact technical services.

Product Specifications

Immunogen

Human milk-fat globule membranes (HMFGM) (Uniprot: P15941 )

Localization

Cytoplasmic & cell surface

Specificity

In Western blotting, it recognizes proteins in MW range of 265-400kDa, identified as different glycoforms of EMA. EMA may provide a protective layer on epithelial cells against bacterial and enzyme attack. In immunohistochemical assays, it superbly stains routine formalin/paraffin carcinomas. Antibody to EMA is useful as a pan-epithelial marker for detecting early metastatic loci of carcinoma in bone marrow or liver.

Marker

Epithelial Marker

Clonality

Monoclonal

Host

Mouse

Isotype

IgG2a Lambda

Description

The prediluted antibody does not require any mixing, dilution, reconstitution, or titration; the antibody is ready-to-use and optimized for staining.

Scientific Data Images for MUC1 Antibody (MUC1/520) - IHC-Prediluted

Immunohistochemistry-Paraffin: MUC1 Antibody (MUC1/520) - IHC-Prediluted [NBP2-48375]

Immunohistochemistry-Paraffin: MUC1 Antibody (MUC1/520) - IHC-Prediluted [NBP2-48375]

Immunohistochemistry-Paraffin: MUC1 Antibody (MUC1/520) - IHC-Prediluted [NBP2-48375] - Formalin-fixed, paraffin-embedded human Breast Carcinoma stained with MUC-1 / EMA Mouse Monoclonal Antibody (MUC1/520).
Immunohistochemistry-Paraffin: MUC1 Antibody (MUC1/520) - IHC-Prediluted [NBP2-48375]

Immunohistochemistry-Paraffin: MUC1 Antibody (MUC1/520) - IHC-Prediluted [NBP2-48375]

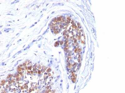
Immunohistochemistry-Paraffin: MUC1 Antibody (MUC1/520) - IHC-Prediluted [NBP2-48375] - Formalin-fixed, paraffin-embedded human Ovarian Carcinoma stained with MUC-1 / CA15-3 / EMA Mouse Monoclonal Antibody (MUC1/520).
Immunohistochemistry-Paraffin: MUC1 Antibody (MUC1/520) - IHC-Prediluted [NBP2-48375]

Immunohistochemistry-Paraffin: MUC1 Antibody (MUC1/520) - IHC-Prediluted [NBP2-48375]

Immunohistochemistry-Paraffin: MUC1 Antibody (MUC1/520) - IHC-Prediluted [NBP2-48375] - Formalin-fixed, paraffin-embedded human Colon Carcinoma stained with MUC-1 / CA15-3 / EMA Mouse Monoclonal Antibody (MUC1/520).

Applications for MUC1 Antibody (MUC1/520) - IHC-Prediluted

Application
Recommended Usage

Immunohistochemistry

Optimal dilutions of this antibody should be experimentally determined.

Immunohistochemistry-Paraffin

Optimal dilutions of this antibody should be experimentally determined.
Application Notes
Immunohistology (Formalin-fixed): 0.5-1.0ug/ml for 30 min at RT. Staining of formalin-fixed tissues requires boiling tissue sections in 10mM citrate buffer, pH 6.0, for 10-20 min followed by cooling at RT for 20 minutes.
Optimal dilution for a specific application should be determined.

Formulation, Preparation, and Storage

Purification

Protein A or G purified

Formulation

10 mM PBS with 0.05% BSA

Format

IHC-Prediluted

Preservative

0.05% Sodium Azide

Concentration

Please see the vial label for concentration. If unlisted please contact technical services.

Shipping

The product is shipped with polar packs. Upon receipt, store it immediately at the temperature recommended below.

Stability & Storage

Store at 4C.

Background: MUC-1

Mucin 1 (MUC1), also known as episialin, EMA (epithelial membrane antigen), PEM (polymorphic epithelial mucin), and CA-15-3 antigen, is a membrane-bound type I transmembrane glycoprotein (1,2). MUC1 is typically expressed in the luminal or glandular epithelial cells of the gastrointestinal tract, breast, lungs, and more, and is often overexpressed in epithelial cancers, but also serves a protective role against infection and helps regulate inflammatory response (2,3). Human MUC1 is 1255 amino acids (aa) in length with a theoretical molecular weight of 122 kDa; however, depending on the amount of glycosylation can weigh between 250 - 500 kDa (2,4). Structurally, MUC1 consists of a N-terminal domain which contains a signal peptide, a variable number tandem repeat region (VNTR), and a SEA domain, as well a C-terminal domain which has the extracellular domain (ECD), transmembrane domain (TMD), and cytoplasmic tail (CT) (2,3). The VNTR is comprised of between 25 - 125 repeats of a 20 aa conserved sequence (3). MUC1 is heavily O-glycosylated in the VNTR and has moderate N-glycosylation sites following the VNTR and in the ECD (2). Glycosylation contributes to MUC1's functional properties (2). The MUC1 gene contains seven exons, giving rise to several MUC1 isoforms as a result of alternative splicing (2).

Overexpression of mucins, including MUC1, is a feature of many epithelial cancers (1,3,5,6). The presence of truncated glycan structures called tumor-associated carbohydrate antigens (TACAs) on MUC1 play a role in cancer progression and a loss of apical-basal polarity (5). Carbohydrate-binding partners called lectins are the primary binding partners of TACAs that give rise to the pro-tumor microenvironment and metastasis (5). Given this unique feature, TACAs are a potential target for cancer immunotherapies (5). There are a number of vaccines, drugs, and antibodies targeting MUC1 for treatment of a variety of cancers including breast, lung, and prostate (6). In addition to a role in cancer progression, MUC1, and specifically the CT portion, has been shown to have a positive, anti-inflammatory role in a variety of lung and airway infections (7).

References

1. Khodabakhsh, F., Merikhian, P., Eisavand, M. R., & Farahmand, L. (2021). Crosstalk between MUC1 and VEGF in angiogenesis and metastasis: a review highlighting roles of the MUC1 with an emphasis on metastatic and angiogenic signaling. Cancer cell international. https://doi.org/10.1186/s12935-021-01899-8

2. Nath, S., & Mukherjee, P. (2014). MUC1: a multifaceted oncoprotein with a key role in cancer progression. Trends in molecular medicine. https://doi.org/10.1016/j.molmed.2014.02.007

3. Dhar, P., & McAuley, J. (2019). The Role of the Cell Surface Mucin MUC1 as a Barrier to Infection and Regulator of Inflammation. Frontiers in cellular and infection microbiology. https://doi.org/10.3389/fcimb.2019.00117

4. Uniprot (P15941)

5. Beckwith, D. M., & Cudic, M. (2020). Tumor-associated O-glycans of MUC1: Carriers of the glyco-code and targets for cancer vaccine design. Seminars in immunology. https://doi.org/10.1016/j.smim.2020.101389

6. Almasmoum H. (2021). The Roles of Transmembrane Mucins Located on Chromosome 7q22.1 in Colorectal Cancer. Cancer management and research. https://doi.org/10.2147/CMAR.S299089

7. Ballester, B., Milara, J., & Cortijo, J. (2021). The role of mucin 1 in respiratory diseases. European respiratory review : an official journal of the European Respiratory Society. https://doi.org/10.1183/16000617.0149-2020

Long Name

Mucin 1, Cell Surface-associated

Alternate Names

CD227, Episialin, H23AG, KL-6, Mucin-1, PEM, PEMT

Gene Symbol

MUC1

Additional MUC-1 Products

Product Documents for MUC1 Antibody (MUC1/520) - IHC-Prediluted

Certificate of Analysis

To download a Certificate of Analysis, please enter a lot number in the search box below.

Product Specific Notices for MUC1 Antibody (MUC1/520) - IHC-Prediluted

This product is for research use only and is not approved for use in humans or in clinical diagnosis. Primary Antibodies are guaranteed for 1 year from date of receipt.

Loading...
Loading...
Loading...
Loading...
Loading...