MTIF2 Antibody - Azide and BSA Free
Novus Biologicals, part of Bio-Techne | Catalog # NBP2-95177
Key Product Details
Species Reactivity
Human, Mouse, Rat
Applications
Immunohistochemistry, Immunohistochemistry-Paraffin, Western Blot, ELISA, Immunocytochemistry/ Immunofluorescence
Label
Unconjugated
Antibody Source
Polyclonal Rabbit IgG
Format
Azide and BSA Free
Concentration
Please see the vial label for concentration. If unlisted please contact technical services.
Product Specifications
Immunogen
Recombinant fusion protein containing a sequence corresponding to amino acids 428-727 of human MTIF2 (NP_002444.2). GEEILEVESEPRAREVVDWRKYEQEQEKGQEDLKIIEEKRKEHKEAHQKAREKYGHLLWKKRSILRFLERKEQIPLKPKEKRERDSNVLSVIIKGDVDGSVEAILNIIDTYDASHECELELVHFGVGDVSANDVNLAETFDGVIYGFNVNAGNVIQQSAAKKGVKIKLHKIIYRLVEDLQEELSSRLPCAVEEHPVGEASILATFSVTEGKKKVPVAGCRVQKGQLEKQKKFKLTRNGHVIWKGSLTSLKHHKDDISIVKTGMDCGLSLDEDNMEFQVGDRIVCYEEKQIQAKTSWDPGF
Clonality
Polyclonal
Host
Rabbit
Isotype
IgG
Theoretical MW
81 kDa.
Disclaimer note: The observed molecular weight of the protein may vary from the listed predicted molecular weight due to post translational modifications, post translation cleavages, relative charges, and other experimental factors.
Disclaimer note: The observed molecular weight of the protein may vary from the listed predicted molecular weight due to post translational modifications, post translation cleavages, relative charges, and other experimental factors.
Description
Novus Biologicals Rabbit MTIF2 Antibody - Azide and BSA Free (NBP2-95177) is a polyclonal antibody validated for use in IHC, WB, ELISA and ICC/IF. All Novus Biologicals antibodies are covered by our 100% guarantee.
Scientific Data Images for MTIF2 Antibody - Azide and BSA Free
Western Blot: MTIF2 AntibodyAzide and BSA Free [NBP2-95177]
Western Blot: MTIF2 Antibody [NBP2-95177] - Analysis of extracts of various cell lines, using MTIF2 at 1:1000 dilution.Secondary antibody: HRP Goat Anti-Rabbit IgG (H+L) at 1:10000 dilution.Lysates/proteins: 25ug per lane.Blocking buffer: 3% nonfat dry milk in TBST.Detection: ECL Basic Kit .Exposure time: 5s.Immunohistochemistry-Paraffin: MTIF2 Antibody - Azide and BSA Free [NBP2-95177]
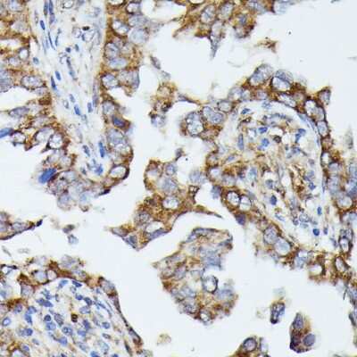
Immunohistochemistry-Paraffin: MTIF2 Antibody [NBP2-95177] - Paraffin-embedded human lung cancer using MTIF2 .Immunohistochemistry-Paraffin: MTIF2 Antibody - Azide and BSA Free [NBP2-95177]
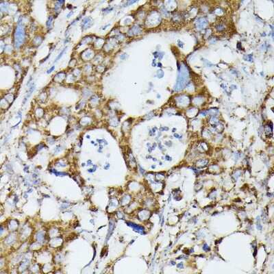
Immunohistochemistry-Paraffin: MTIF2 Antibody [NBP2-95177] - Paraffin-embedded human colon carcinoma using MTIF2 .Applications for MTIF2 Antibody - Azide and BSA Free
Application
Recommended Usage
Immunocytochemistry/ Immunofluorescence
1:50-1:100
Immunohistochemistry
1:50-1:100
Western Blot
1:500-1:2000
Formulation, Preparation, and Storage
Purification
Affinity purified
Formulation
PBS (pH 7.3), 50% glycerol
Format
Azide and BSA Free
Preservative
0.01% Thimerosal
Concentration
Please see the vial label for concentration. If unlisted please contact technical services.
Shipping
The product is shipped with polar packs. Upon receipt, store it immediately at the temperature recommended below.
Stability & Storage
Store at -20C. Avoid freeze-thaw cycles.
Background: MTIF2
Alternate Names
IF-2(Mt), mitochondrial, mitochondrial translational initiation factor 2
Gene Symbol
MTIF2
Additional MTIF2 Products
Product Documents for MTIF2 Antibody - Azide and BSA Free
Product Specific Notices for MTIF2 Antibody - Azide and BSA Free
This product is for research use only and is not approved for use in humans or in clinical diagnosis. Primary Antibodies are guaranteed for 1 year from date of receipt.
Loading...
Loading...
Loading...
Loading...
⚠ WARNING: This product can expose you to chemicals including Methotrexate, which is known to the State of California to cause reproductive toxicity with developmental effects. For more information, go to www.P65Warnings.ca.gov