Skip to main content

MTHFD2 Antibody - BSA Free

Novus Biologicals, part of Bio-Techne | Catalog # NBP3-35135

Novus Biologicals, part of Bio-Techne
Catalog #
Availability
Size / Price
Qty
Loading...
NBP3-35135-100ul
NBP3-35135-20ul

Key Product Details

Species Reactivity

Human, Mouse, Rat

Applications

ELISA, Immunocytochemistry/ Immunofluorescence, Immunohistochemistry, Immunohistochemistry-Paraffin, Western Blot

Label

Unconjugated

Antibody Source

Polyclonal Rabbit IgG

Format

BSA Free

Concentration

Please see the vial label for concentration. If unlisted please contact technical services.

Product Specifications

Immunogen

Recombinant fusion protein containing a sequence corresponding to amino acids 40-250 of human MTHFD2 (NP_006627.2).

Sequence:
ISGRKLAQQIKQEVRQEVEEWVASGNKRPHLSVILVGENPASHSYVLNKTRAAAVVGINSETIMKPASISEEELLNLINKLNNDDNVDGLLVQLPLPEHIDERRICNAVSPDKDVDGFHVINVGRMCLDQYSMLPATPWGVWEIIKRTGIPTLGKNVVVAGRSKNVGMPIAMLLHTDGAHERPGGDATVTISHRYTPKEQLKKHTILADIV

Clonality

Polyclonal

Host

Rabbit

Isotype

IgG

Theoretical MW

38 kDa.
Disclaimer note: The observed molecular weight of the protein may vary from the listed predicted molecular weight due to post translational modifications, post translation cleavages, relative charges, and other experimental factors.

Description

Novus Biologicals Rabbit MTHFD2 Antibody - BSA Free (NBP3-35135) is a polyclonal antibody validated for use in IHC, WB, ELISA and ICC/IF. All Novus Biologicals antibodies are covered by our 100% guarantee.

Scientific Data Images for MTHFD2 Antibody - BSA Free

MTHFD2 Antibody

Western Blot: MTHFD2 Antibody [NBP3-35135] -

Western Blot: MTHFD2 Antibody [NBP3-35135] - Western blot analysis of various lysates using MTHFD2 Rabbit pAb at 1:1000 dilution.
Secondary antibody: HRP-conjugated Goat anti-Rabbit IgG (H+L) at 1:10000 dilution.
Lysates/proteins: 25ug per lane.
Blocking buffer: 3% nonfat dry milk in TBST.
Detection: ECL Basic Kit.
Exposure time: 30s.
MTHFD2 Antibody

Immunocytochemistry/ Immunofluorescence: MTHFD2 Antibody [NBP3-35135] -

Immunocytochemistry/ Immunofluorescence: MTHFD2 Antibody [NBP3-35135] - Immunofluorescence analysis of NIH-3T3 cells using MTHFD2 Rabbit pAb at dilution of 1:100. Secondary antibody: Cy3-conjugated Goat anti-Rabbit IgG (H+L) at 1:500 dilution. Blue: DAPI for nuclear staining.
MTHFD2 Antibody

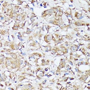
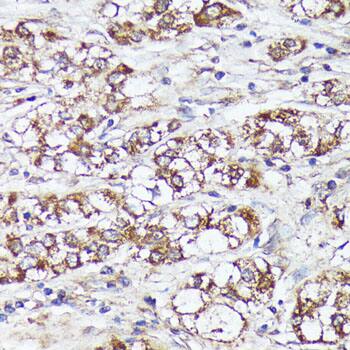
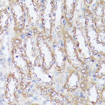
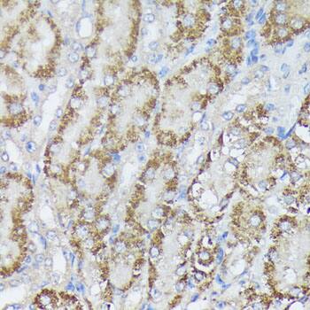
Immunohistochemistry: MTHFD2 Antibody [NBP3-35135] -

Immunohistochemistry: MTHFD2 Antibody [NBP3-35135] - Immunohistochemistry analysis of paraffin-embedded Mouse kidney using MTHFD2 Rabbit pAb at dilution of 1:100 (40x lens). Microwave antigen retrieval performed with 0.01M PBS Buffer (pH 7.2) prior to IHC staining.

Applications for MTHFD2 Antibody - BSA Free

Application
Recommended Usage

Immunocytochemistry/ Immunofluorescence

1:50 - 1:200

Immunohistochemistry-Paraffin

1:50 - 1:200

Western Blot

1:500 - 1:1000

Formulation, Preparation, and Storage

Purification

Affinity purified

Formulation

PBS (pH 7.3), 50% glycerol

Format

BSA Free

Preservative

0.02% Sodium Azide

Concentration

Please see the vial label for concentration. If unlisted please contact technical services.

Shipping

The product is shipped with polar packs. Upon receipt, store it immediately at the temperature recommended below.

Stability & Storage

Store at -20C. Avoid freeze-thaw cycles.

Background: MTHFD2

MTHFD2 encodes a nuclear-encoded mitochondrial bifunctional enzyme with methylenetetrahydrofolate dehydrogenase and methenyltetrahydrofolate cyclohydrolase activities. The enzyme functions as a homodimer and is unique in its absolute requirement for magnesium and inorganic phosphate. Formation of the enzyme-magnesium complex allows binding of NAD. Alternative splicing results in multiple transcripts encoding different isoforms. This gene has a pseudogene on chromosome 7.

Alternate Names

bifunctional methylenetetrahydrofolate dehydrogenase/cyclohydrolase, methenyltetrahydrofolate cyclohydrolase, methylene tetrahydrofolate dehydrogenase (NAD+ dependent), methylenetetrahydrofolate dehydrogenase (NADP+ dependent) 2, mitochondrial, NAD-dependent methylene tetrahydrofolate dehydrogenase cyclohydrolase, NMDMC

Gene Symbol

MTHFD2

Additional MTHFD2 Products

Product Documents for MTHFD2 Antibody - BSA Free

Certificate of Analysis

To download a Certificate of Analysis, please enter a lot number in the search box below.

Product Specific Notices for MTHFD2 Antibody - BSA Free

This product is for research use only and is not approved for use in humans or in clinical diagnosis. Primary Antibodies are guaranteed for 1 year from date of receipt.

Loading...
Loading...
Loading...
Loading...