Skip to main content

MTHFD2 Antibody - BSA Free

Novus Biologicals, part of Bio-Techne | Catalog # NBP2-19429

Novus Biologicals, part of Bio-Techne
Catalog #
Availability
Size / Price
Qty
Loading...
NBP2-19429

Key Product Details

Validated by

Knockout/Knockdown

Species Reactivity

Human, Mouse, Rat

Applications

Immunohistochemistry, Immunohistochemistry-Paraffin, Western Blot, Immunocytochemistry/ Immunofluorescence

Label

Unconjugated

Antibody Source

Polyclonal Rabbit IgG

Format

BSA Free

Concentration

Concentrations vary lot to lot. See vial label for concentration. If unlisted please contact technical services.

Product Specifications

Immunogen

Recombinant protein encompassing a sequence within the center region of human MTHFD2. The exact sequence is proprietary.

Reactivity Notes

Immunogen displays the following percentage of sequence identity for non-tested species: Chicken (85%).

Localization

Mitochondrion

Clonality

Polyclonal

Host

Rabbit

Isotype

IgG

Theoretical MW

38 kDa.
Disclaimer note: The observed molecular weight of the protein may vary from the listed predicted molecular weight due to post translational modifications, post translation cleavages, relative charges, and other experimental factors.

Description

Novus Biologicals Rabbit MTHFD2 Antibody - BSA Free (NBP2-19429) is a polyclonal antibody validated for use in IHC, WB and ICC/IF. All Novus Biologicals antibodies are covered by our 100% guarantee.

Scientific Data Images for MTHFD2 Antibody - BSA Free

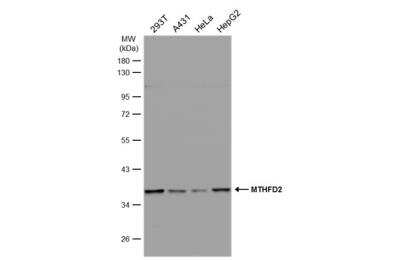
Western Blot: MTHFD2 Antibody [NBP2-19429]

Western Blot: MTHFD2 Antibody [NBP2-19429]

Western Blot: MTHFD2 Antibody [NBP2-19429] - Whole cell extract (50 ug) was separated by 10% SDS-PAGE, and the membrane was blotted with MTHFD2 antibody diluted at 1:1000. HRP-conjugated anti-rabbit IgG antibody was used to detect the primary antibody.
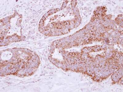
Immunohistochemistry-Paraffin: MTHFD2 Antibody [NBP2-19429]

Immunohistochemistry-Paraffin: MTHFD2 Antibody [NBP2-19429]

Immunohistochemistry-Paraffin: MTHFD2 Antibody [NBP2-19429] - Immunohistochemical analysis of paraffin-embedded Colon ca, using antibody at 1:250 dilution.
Western Blot: MTHFD2 Antibody [NBP2-19429]

Western Blot: MTHFD2 Antibody [NBP2-19429]

Western Blot: MTHFD2 Antibody [NBP2-19429] - Whole cell extract (50 ug) was separated by 10% SDS-PAGE, and the membrane was blotted with MTHFD2 antibody diluted at 1:1000. HRP-conjugated anti-rabbit IgG antibody was used to detect the primary antibody.

Applications for MTHFD2 Antibody - BSA Free

Application
Recommended Usage

Immunocytochemistry/ Immunofluorescence

1:100-1:1000

Immunohistochemistry

10 - 1:500

Immunohistochemistry-Paraffin

1:100-1:1000

Western Blot

1:500-1:3000

Formulation, Preparation, and Storage

Purification

Antigen Affinity-purified

Formulation

0.1M Tris, 0.1M Glycine, 20% Glycerol

Format

BSA Free

Preservative

0.01% Thimerosal

Concentration

Concentrations vary lot to lot. See vial label for concentration. If unlisted please contact technical services.

Shipping

The product is shipped with polar packs. Upon receipt, store it immediately at the temperature recommended below.

Stability & Storage

Aliquot and store at -20C or -80C. Avoid freeze-thaw cycles.

Background: MTHFD2

This gene encodes a nuclear-encoded mitochondrial bifunctional enzyme with methylenetetrahydrofolate dehydrogenase and methenyltetrahydrofolate cyclohydrolase activities. The enzyme functions as a homodimer and is unique in its absolute requirement for magnesium and inorganic phosphate. Formation of the enzyme-magnesium complex allows binding of NAD. Alternative splicing results in two different transcripts, one protein-coding and the other not protein-coding. This gene has a pseudogene on chromosome 7. [provided by RefSeq]

Alternate Names

bifunctional methylenetetrahydrofolate dehydrogenase/cyclohydrolase, methenyltetrahydrofolate cyclohydrolase, methylene tetrahydrofolate dehydrogenase (NAD+ dependent), methylenetetrahydrofolate dehydrogenase (NADP+ dependent) 2, mitochondrial, NAD-dependent methylene tetrahydrofolate dehydrogenase cyclohydrolase, NMDMC

Gene Symbol

MTHFD2

UniProt

Additional MTHFD2 Products

Product Documents for MTHFD2 Antibody - BSA Free

Certificate of Analysis

To download a Certificate of Analysis, please enter a lot number in the search box below.

Product Specific Notices for MTHFD2 Antibody - BSA Free

This product is for research use only and is not approved for use in humans or in clinical diagnosis. Primary Antibodies are guaranteed for 1 year from date of receipt.

Loading...
Loading...
Loading...
Loading...

⚠ WARNING: This product can expose you to chemicals including mercury, which is known to the State of California to cause reproductive toxicity with developmental effects.  For more information go to www.P65Warnings.ca.gov.