Skip to main content

MTHFD2 Antibody

Novus Biologicals, part of Bio-Techne | Catalog # NBP1-33200

Novus Biologicals, part of Bio-Techne
Catalog #
Availability
Size / Price
Qty
Loading...
NBP1-33200

Key Product Details

Validated by

Knockout/Knockdown

Species Reactivity

Validated:

Human

Cited:

Human

Predicted:

Bovine (95%), Chicken (92%), Mouse (95%), Rat (93%), Xenopus (90%). Backed by our 100% Guarantee.

Applications

Validated:

Immunohistochemistry, Immunohistochemistry-Paraffin, Western Blot, Immunocytochemistry/ Immunofluorescence, Immunoprecipitation

Cited:

Immunohistochemistry-Paraffin, IF/IHC

Label

Unconjugated

Antibody Source

Polyclonal Rabbit IgG

Concentration

Concentrations vary lot to lot. See vial label for concentration. If unlisted please contact technical services.

Product Specifications

Immunogen

Recombinant protein encompassing a sequence within the center region of human MTHFD2. The exact sequence is proprietary.

Reactivity Notes

Zebrafish (86%), Xenopus laevis (90%).

Localization

Mitochondrion

Clonality

Polyclonal

Host

Rabbit

Isotype

IgG

Theoretical MW

38 kDa.
Disclaimer note: The observed molecular weight of the protein may vary from the listed predicted molecular weight due to post translational modifications, post translation cleavages, relative charges, and other experimental factors.

Description

Novus Biologicals Rabbit MTHFD2 Antibody (NBP1-33200) is a polyclonal antibody validated for use in IHC, WB, ICC/IF and IP. Anti-MTHFD2 Antibody: Cited in 2 publications. All Novus Biologicals antibodies are covered by our 100% guarantee.

Scientific Data Images for MTHFD2 Antibody

Immunocytochemistry/ Immunofluorescence: MTHFD2 Antibody [NBP1-33200]

Immunocytochemistry/ Immunofluorescence: MTHFD2 Antibody [NBP1-33200]

Immunocytochemistry/Immunofluorescence: MTHFD2 Antibody [NBP1-33200] - HeLa cells were fixed in 4% paraformaldehyde at RT for 15 min. Green: MTHFD2 stained by MTHFD2 antibody [N1C3] diluted at 1:500. Blue: Fluoroshield with DAPI.
Immunohistochemistry-Paraffin: MTHFD2 Antibody [NBP1-33200]

Immunohistochemistry-Paraffin: MTHFD2 Antibody [NBP1-33200]

Immunohistochemistry-Paraffin: MTHFD2 Antibody [NBP1-33200] - Paraffin-embedded human MCF7 xenograft. MTHFD2 antibody [N1C3] diluted at 1:500.
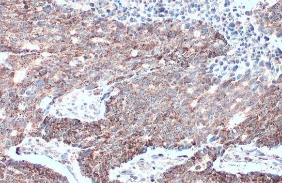
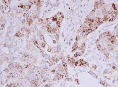
Immunohistochemistry-Paraffin: MTHFD2 Antibody [NBP1-33200]

Immunohistochemistry-Paraffin: MTHFD2 Antibody [NBP1-33200]

Immunohistochemistry-Paraffin: MTHFD2 Antibody [NBP1-33200] - Paraffin-embedded SAS xenograft, using antibody at 1:500 dilution.

Applications for MTHFD2 Antibody

Application
Recommended Usage

Immunocytochemistry/ Immunofluorescence

1:100-1:1000

Immunohistochemistry

1:100-1:1000

Immunohistochemistry-Paraffin

1:100-1:1000

Immunoprecipitation

1:100-1:500

Western Blot

1:500-1:3000

Formulation, Preparation, and Storage

Purification

Antigen Affinity-purified

Formulation

PBS, 1% BSA, 20% Glycerol

Preservative

0.025% Proclin 300

Concentration

Concentrations vary lot to lot. See vial label for concentration. If unlisted please contact technical services.

Shipping

The product is shipped with polar packs. Upon receipt, store it immediately at the temperature recommended below.

Stability & Storage

Aliquot and store at -20C or -80C. Avoid freeze-thaw cycles.

Background: MTHFD2

This gene encodes a nuclear-encoded mitochondrial bifunctional enzyme with methylenetetrahydrofolate dehydrogenase and methenyltetrahydrofolate cyclohydrolase activities. The enzyme functions as a homodimer and is unique in its absolute requirement for magnesium and inorganic phosphate. Formation of the enzyme-magnesium complex allows binding of NAD. Alternative splicing results in multiple transcripts encoding different isoforms. This gene has a pseudogene on chromosome 7.

Alternate Names

bifunctional methylenetetrahydrofolate dehydrogenase/cyclohydrolase, methenyltetrahydrofolate cyclohydrolase, methylene tetrahydrofolate dehydrogenase (NAD+ dependent), methylenetetrahydrofolate dehydrogenase (NADP+ dependent) 2, mitochondrial, NAD-dependent methylene tetrahydrofolate dehydrogenase cyclohydrolase, NMDMC

Gene Symbol

MTHFD2

Additional MTHFD2 Products

Product Documents for MTHFD2 Antibody

Certificate of Analysis

To download a Certificate of Analysis, please enter a lot number in the search box below.

Product Specific Notices for MTHFD2 Antibody

This product is for research use only and is not approved for use in humans or in clinical diagnosis. Primary Antibodies are guaranteed for 1 year from date of receipt.

Loading...
Loading...
Loading...
Loading...

⚠ WARNING: This product can expose you to chemicals including mercury, which is known to the State of California to cause reproductive toxicity with developmental effects.  For more information go to www.P65Warnings.ca.gov.