Skip to main content

MTG1 Antibody - BSA Free

Novus Biologicals, part of Bio-Techne | Catalog # NBP2-98486

Novus Biologicals, part of Bio-Techne

Key Product Details

Species Reactivity

Human

Applications

Immunocytochemistry/ Immunofluorescence, Immunohistochemistry-Paraffin, Western Blot

Label

Unconjugated

Antibody Source

Polyclonal Rabbit IgG

Format

BSA Free

Concentration

Please see the vial label for concentration. If unlisted please contact technical services.

Product Specifications

Immunogen

Produced in rabbits immunized with E. coli-derived Human MTG1 fragment.

Clonality

Polyclonal

Host

Rabbit

Isotype

IgG

Description

This antibody can be stored at 2C to 8C for one month without detectable loss of activity. Antibody products are stable for twelve months from date of receipt when stored at -20C to -80C. Avoid repeated freeze-thaw cycles.

Scientific Data Images for MTG1 Antibody - BSA Free

Western Blot: MTG1 Antibody [NBP2-98486]

Western Blot: MTG1 Antibody [NBP2-98486]

Western Blot: MTG1 Antibody [NBP2-98486] - Anti-MTG1 rabbit polyclonal antibody at 1:500 dilution. Lane A: Jurkat Whole Cell Lysate Lane B: U-251 MG Whole Cell Lysate Lysates/proteins at 30 ug per lane. Secondary Goat Anti-Rabbit IgG (H+L)/HRP at 1/10000 dilution. Developed using the ECL technique. Performed under reducing conditions. Predicted band size: 37 kDa. Observed band size: 33 kDa.
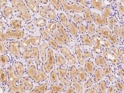
Immunohistochemistry-Paraffin: MTG1 Antibody [NBP2-98486]

Immunohistochemistry-Paraffin: MTG1 Antibody [NBP2-98486]

Immunohistochemistry-Paraffin: MTG1 Antibody [NBP2-98486] - Immunochemical staining of human MTG1 in human kidney with rabbit polyclonal antibody at 1:100 dilution, formalin-fixed paraffin embedded sections.
MTG1 Antibody - BSA Free

Immunocytochemistry/Immunofluorescence: MTG1 Antibody [NBP2-98486] -

Immunocytochemistry/Immunofluorescence: MTG1 Antibody [NBP2-98486] - Immunofluorescence staining of MTG1 in U2OS cells. Cells were fixed with 4% PFA, permeabilzed with 0.1% Triton X-100 in PBS, blocked with 10% serum, and incubated with NBP2-98486 antibody (dilution ratio 1:100) at 4C overnight. Then cells were stained with the Alexa Fluor(R)488-conjugated Goat Anti-rabbit IgG secondary antibody (green) and counterstained with DAPI (blue).Positive staining was localized to Cytoplasm.

Applications for MTG1 Antibody - BSA Free

Application
Recommended Usage

Immunocytochemistry/ Immunofluorescence

1:50-1:200

Immunohistochemistry-Paraffin

1:50-1:200

Western Blot

1:500-1:2000

Formulation, Preparation, and Storage

Purification

Antigen and protein A Affinity-purified

Formulation

PBS

Format

BSA Free

Preservative

0.03% Proclin 300

Concentration

Please see the vial label for concentration. If unlisted please contact technical services.

Shipping

The product is shipped with polar packs. Upon receipt, store it immediately at the temperature recommended below.

Stability & Storage

Store at 4C short term. Aliquot and store at -20C long term. Avoid freeze-thaw cycles.

Background: MTG1

Mitochondrial GTPase. May be involved in assembly of the large ribosomal subunit

Alternate Names

GTP, GTP-binding protein 7, GTP-binding protein 7 (putative), GTPBP7, mitochondrial GTPase 1, mitochondrial GTPase 1 homolog (S. cerevisiae), RP11-108K14.2

Gene Symbol

MTG1

Additional MTG1 Products

Product Documents for MTG1 Antibody - BSA Free

Certificate of Analysis

To download a Certificate of Analysis, please enter a lot number in the search box below.

Product Specific Notices for MTG1 Antibody - BSA Free

This product is for research use only and is not approved for use in humans or in clinical diagnosis. Primary Antibodies are guaranteed for 1 year from date of receipt.

Loading...
Loading...
Loading...
Loading...