Skip to main content

MTF2 Antibody - BSA Free

Novus Biologicals, part of Bio-Techne | Catalog # NBP2-43832

Novus Biologicals, part of Bio-Techne
Catalog #
Availability
Size / Price
Qty
Loading...
NBP2-43832

Key Product Details

Species Reactivity

Human, Mouse

Applications

Immunohistochemistry, Immunohistochemistry-Paraffin, Immunocytochemistry/ Immunofluorescence

Label

Unconjugated

Antibody Source

Polyclonal Rabbit IgG

Format

BSA Free

Concentration

Concentrations vary lot to lot. See vial label for concentration. If unlisted please contact technical services.

Product Specifications

Immunogen

Recombinant protein encompassing a sequence within the C-terminus region of human MTF2. The exact sequence is proprietary.

Clonality

Polyclonal

Host

Rabbit

Isotype

IgG

Description

Novus Biologicals Rabbit MTF2 Antibody - BSA Free (NBP2-43832) is a polyclonal antibody validated for use in IHC and ICC/IF. All Novus Biologicals antibodies are covered by our 100% guarantee.

Scientific Data Images for MTF2 Antibody - BSA Free

MTF2 Antibody

Immunocytochemistry/ Immunofluorescence: MTF2 Antibody [NBP2-43832] -

Immunocytochemistry/ Immunofluorescence: MTF2 Antibody [NBP2-43832] - MTF2 antibody detects MTF2 protein at nucleus by immunofluorescent analysis.
Sample: HeLa cells were fixed in 4% paraformaldehyde at RT for 15 min.
Green: MTF2 protein stained by MTF2 antibody (NBP2-43832) diluted at 1:250.
Red: phalloidin, a cytoskeleton marker, diluted at 1:50.
Scale bar = 10 um.
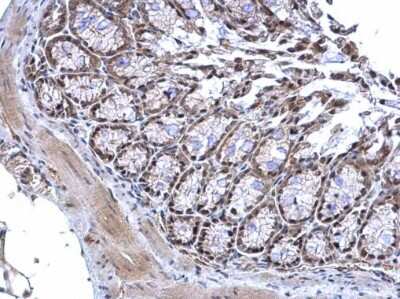
Immunohistochemistry-Paraffin: MTF2 Antibody [NBP2-43832]

Immunohistochemistry-Paraffin: MTF2 Antibody [NBP2-43832]

Immunohistochemistry-Paraffin: MTF2 Antibody [NBP2-43832] - Analysis of mouse colon. MTF2 antibody dilution: 1:1000.

Applications for MTF2 Antibody - BSA Free

Application
Recommended Usage

Immunocytochemistry/ Immunofluorescence

1:100-1:1000

Immunohistochemistry

10 - 1:500

Immunohistochemistry-Paraffin

1:100-1:1000

Formulation, Preparation, and Storage

Purification

Antigen Affinity-purified

Formulation

PBS, 20% Glycerol

Format

BSA Free

Preservative

0.01% Thimerosal

Concentration

Concentrations vary lot to lot. See vial label for concentration. If unlisted please contact technical services.

Shipping

The product is shipped with polar packs. Upon receipt, store it immediately at the temperature recommended below.

Stability & Storage

Aliquot and store at -20C or -80C. Avoid freeze-thaw cycles.

Background: MTF2

MTF2 binds to the metal-regulating-element (MRE) of metallothionein-1A gene promoter. Binding is zinc-dependent

Long Name

Metal Response Element Binding Transcription Factor 2

Alternate Names

M96, PCI2, PCL2

Gene Symbol

MTF2

Additional MTF2 Products

Product Documents for MTF2 Antibody - BSA Free

Certificate of Analysis

To download a Certificate of Analysis, please enter a lot number in the search box below.

Product Specific Notices for MTF2 Antibody - BSA Free

This product is for research use only and is not approved for use in humans or in clinical diagnosis. Primary Antibodies are guaranteed for 1 year from date of receipt.

Loading...
Loading...
Loading...
Loading...

⚠ WARNING: This product can expose you to chemicals including mercury, which is known to the State of California to cause reproductive toxicity with developmental effects.  For more information go to www.P65Warnings.ca.gov.