Skip to main content

MT-ND4 Antibody - BSA Free

Novus Biologicals, part of Bio-Techne | Catalog # NBP2-93530

Novus Biologicals, part of Bio-Techne
Catalog #
Availability
Size / Price
Qty
Loading...
NBP2-93530-0.1ml
NBP2-93530-0.02ml

Key Product Details

Species Reactivity

Human, Mouse, Rat

Applications

Immunohistochemistry, Immunohistochemistry-Paraffin, Western Blot, ELISA, Immunocytochemistry/ Immunofluorescence

Label

Unconjugated

Antibody Source

Polyclonal Rabbit IgG

Format

BSA Free

Concentration

Please see the vial label for concentration. If unlisted please contact technical services.

Product Specifications

Immunogen

A synthetic peptide corresponding to a sequence within amino acids 401-459 of human MT-ND4 (YP_002124311.1). LVTALYSLYMFTTTQWGSLTHHINNMKPSFTRENTLMFMHLSPILLLSLNPDIITGFSS

Clonality

Polyclonal

Host

Rabbit

Isotype

IgG

Theoretical MW

52 kDa.
Disclaimer note: The observed molecular weight of the protein may vary from the listed predicted molecular weight due to post translational modifications, post translation cleavages, relative charges, and other experimental factors.

Description

Novus Biologicals Rabbit MT-ND4 Antibody - BSA Free (NBP2-93530) is a polyclonal antibody validated for use in IHC, WB, ELISA and ICC/IF. All Novus Biologicals antibodies are covered by our 100% guarantee.

Scientific Data Images for MT-ND4 Antibody - BSA Free

Western Blot: MT-ND4 AntibodyAzide and BSA Free [NBP2-93530]

Western Blot: MT-ND4 AntibodyAzide and BSA Free [NBP2-93530]

Western Blot: MT-ND4 Antibody [NBP2-93530] - Analysis of extracts of various cell lines, using MT-ND4 at 1:1000 dilution.Secondary antibody: HRP Goat Anti-Rabbit IgG (H+L) at 1:10000 dilution.Lysates/proteins: 25ug per lane.Blocking buffer: 3% nonfat dry milk in TBST.Detection: ECL Basic Kit .Exposure time: 3min.
Immunocytochemistry/ Immunofluorescence: MT-ND4 Antibody - Azide and BSA Free [NBP2-93530]

Immunocytochemistry/ Immunofluorescence: MT-ND4 Antibody - Azide and BSA Free [NBP2-93530]

Immunocytochemistry/Immunofluorescence: MT-ND4 Antibody [NBP2-93530] - Analysis of L929 cells using MT-ND4 at dilution of 1:100. Blue: DAPI for nuclear staining.
MT-ND4 Antibody - Azide and BSA Free

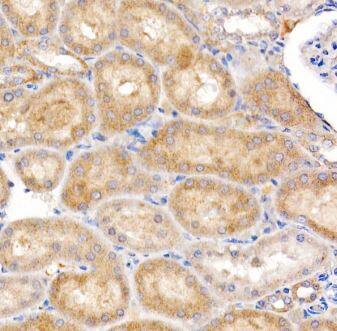
Immunohistochemistry-Paraffin: MT-ND4 Antibody [NBP2-93530] -

Immunohistochemistry-Paraffin: MT-ND4 Antibody [NBP2-93530] -Analysis of rat kidney using MT-ND4 Rabbit pAb at dilution of 1:200 (40x lens). Perform high pressure antigen retrieval with 10 mM citrate buffer pH 6.0 before commencing with IHC staining protocol.

Applications for MT-ND4 Antibody - BSA Free

Application
Recommended Usage

ELISA

Recommended starting concentration is 1 μg/mL

Immunocytochemistry/ Immunofluorescence

1:50 - 1:200

Immunohistochemistry

1:50 - 1:200

Immunohistochemistry-Paraffin

1:50 - 1:200

Western Blot

1:500 - 1:2000

Formulation, Preparation, and Storage

Purification

Affinity purified

Formulation

PBS (pH 7.3), 50% glycerol

Format

BSA Free

Preservative

0.09% Sodium Azide

Concentration

Please see the vial label for concentration. If unlisted please contact technical services.

Shipping

The product is shipped with polar packs. Upon receipt, store it immediately at the temperature recommended below.

Stability & Storage

Store at -20C. Avoid freeze-thaw cycles.

Background: MT-ND4

Alternate Names

ND4

Gene Symbol

ND4

Additional MT-ND4 Products

Product Documents for MT-ND4 Antibody - BSA Free

Certificate of Analysis

To download a Certificate of Analysis, please enter a lot number in the search box below.

Product Specific Notices for MT-ND4 Antibody - BSA Free

This product is for research use only and is not approved for use in humans or in clinical diagnosis. Primary Antibodies are guaranteed for 1 year from date of receipt.

Loading...
Loading...
Loading...
Loading...