Skip to main content

MT-CO2 Antibody (SC06-88)

Novus Biologicals, part of Bio-Techne | Catalog # NBP2-67617

Recombinant Monoclonal Antibody.
Novus Biologicals, part of Bio-Techne
Catalog #
Availability
Size / Price
Qty
Loading...
NBP2-67617

Key Product Details

Species Reactivity

Human

Applications

Flow Cytometry, Immunocytochemistry/ Immunofluorescence, Immunohistochemistry, Immunohistochemistry-Paraffin, Immunoprecipitation, Western Blot

Label

Unconjugated

Antibody Source

Recombinant Monoclonal Rabbit IgG Clone # SC06-88 expressed in HEK293

Concentration

1 mg/ml

Product Specifications

Immunogen

Synthetic peptide within Human MT-CO2 aa 199-227 / 227. (SwissProt: P00403 Human)

Localization

Mitochondrion inner membrane.

Clonality

Monoclonal

Host

Rabbit

Isotype

IgG

Description

Novus Biologicals Rabbit MT-CO2 Antibody (SC06-88) (NBP2-67617) is a recombinant monoclonal antibody validated for use in IHC, WB, Flow, ICC/IF and IP. All Novus Biologicals antibodies are covered by our 100% guarantee.

Scientific Data Images for MT-CO2 Antibody (SC06-88)

Western Blot: MT-CO2 Antibody (SC06-88) [NBP2-67617]

Western Blot: MT-CO2 Antibody (SC06-88) [NBP2-67617]

Western Blot: MT-CO2 Antibody (SC06-88) [NBP2-67617] - Analysis of MTCO2 on different lysates. Proteins were transferred to a PVDF membrane and blocked with 5% BSA in PBS for 1 hour at room temperature. The primary antibody (1/500) was used in 5% BSA at room temperature for 2 hours. Goat Anti-Rabbit IgG - HRP Secondary Antibody at 1:5,000 dilution was used for 1 hour at room temperature. Positive control: Lane 1: MCF-7 cell lysateLane 2: THP-1 cell lysate Lane 3: Hela cell lysate Lane 4: human lung tissue lysate Lane 5: human placenta tissue lysate
Immunocytochemistry/ Immunofluorescence: MT-CO2 Antibody (SC06-88) [NBP2-67617]

Immunocytochemistry/ Immunofluorescence: MT-CO2 Antibody (SC06-88) [NBP2-67617]

Immunocytochemistry/Immunofluorescence: MT-CO2 Antibody (SC06-88) [NBP2-67617] - Staining MTCO2 in HepG2 cells (green). The nuclear counter stain is DAPI (blue). Cells were fixed in paraformaldehyde, permeabilised with 0.25% Triton X100/PBS.
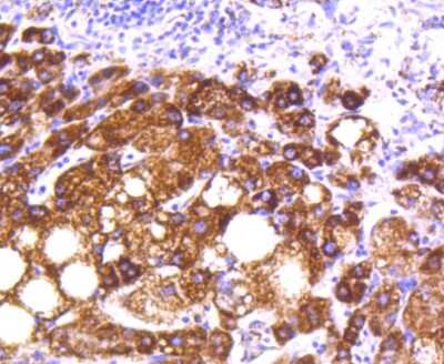
Immunohistochemistry-Paraffin: MT-CO2 Antibody (SC06-88) [NBP2-67617]

Immunohistochemistry-Paraffin: MT-CO2 Antibody (SC06-88) [NBP2-67617]

Immunohistochemistry-Paraffin: MT-CO2 Antibody (SC06-88) [NBP2-67617] - Analysis of paraffin-embedded human liver tissue using anti-MTCO2 antibody. Counter stained with hematoxylin.

Applications for MT-CO2 Antibody (SC06-88)

Application
Recommended Usage

Flow Cytometry

1:50-1:100

Immunocytochemistry/ Immunofluorescence

1:50-1:200

Immunohistochemistry-Paraffin

1:50-1:200

Western Blot

1:1000-1:2000

Formulation, Preparation, and Storage

Purification

Protein A purified

Formulation

TBS (pH7.4), 0.05% BSA, 40% Glycerol

Preservative

0.05% Sodium Azide

Concentration

1 mg/ml

Shipping

The product is shipped with polar packs. Upon receipt, store it immediately at the temperature recommended below.

Stability & Storage

Store at 4C short term. Aliquot and store at -20C long term. Avoid freeze-thaw cycles.

Background: MT-CO2

Alternate Names

COII, COX2, COXII, Cytochrome C Oxidase II, Cytochrome C Oxidase Polypeptide II, Cytochrome C Oxidase Subunit II, EC 1.9.3.1, Mitochondrially Encoded Cytochrome C Oxidase II, MTCO2

Gene Symbol

COX2

Additional MT-CO2 Products

Product Documents for MT-CO2 Antibody (SC06-88)

Certificate of Analysis

To download a Certificate of Analysis, please enter a lot number in the search box below.

Product Specific Notices for MT-CO2 Antibody (SC06-88)

This product is for research use only and is not approved for use in humans or in clinical diagnosis. Primary Antibodies are guaranteed for 1 year from date of receipt.

Loading...
Loading...
Loading...
Loading...
Loading...