Skip to main content

MST4 Antibody - BSA Free

Novus Biologicals, part of Bio-Techne | Catalog # NBP3-35679

Novus Biologicals, part of Bio-Techne
Catalog #
Availability
Size / Price
Qty
Loading...
NBP3-35679-100ul
NBP3-35679-20ul

Key Product Details

Species Reactivity

Human, Mouse, Rat

Applications

Immunohistochemistry, Immunohistochemistry-Paraffin, Western Blot, ELISA

Label

Unconjugated

Antibody Source

Polyclonal Rabbit IgG

Format

BSA Free

Concentration

Please see the vial label for concentration. If unlisted please contact technical services.

Product Specifications

Immunogen

Recombinant fusion protein containing a sequence corresponding to amino acids 340-416 of human MST4 (NP_057626.2).

Sequence:
NGAEQDLVQTLSCLSMIITPAFAELKQQDENNASRNQAIEELEKSIAVAEAACPGITDKMVKKLIEKFQKCSADESP

Clonality

Polyclonal

Host

Rabbit

Isotype

IgG

Theoretical MW

47 kDa.
Disclaimer note: The observed molecular weight of the protein may vary from the listed predicted molecular weight due to post translational modifications, post translation cleavages, relative charges, and other experimental factors.

Description

Novus Biologicals Rabbit MST4 Antibody - BSA Free (NBP3-35679) is a polyclonal antibody validated for use in IHC, WB and ELISA. All Novus Biologicals antibodies are covered by our 100% guarantee.

Scientific Data Images for MST4 Antibody - BSA Free

MST4 Antibody

Western Blot: MST4 Antibody [NBP3-35679] -

Western Blot: MST4 Antibody [NBP3-35679] - Western blot analysis of lysates from rat thymus, using MST4 Rabbit pAb at 1:1000 dilution.
Secondary antibody: HRP-conjugated Goat anti-Rabbit IgG (H+L) at 1:10000 dilution.
Lysates/proteins: 25ug per lane.
Blocking buffer: 3% nonfat dry milk in TBST.
Detection: ECL Basic Kit.
Exposure time: 3s.
MST4 Antibody

Immunohistochemistry: MST4 Antibody [NBP3-35679] -

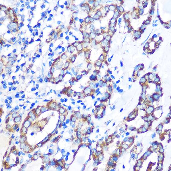
Immunohistochemistry: MST4 Antibody [NBP3-35679] - Immunohistochemistry analysis of paraffin-embedded Human thyroid cancer using MST4 Rabbit pAb at dilution of 1:100 (40x lens). Microwave antigen retrieval performed with 0.01M PBS Buffer (pH 7.2) prior to IHC staining.
MST4 Antibody

Western Blot: MST4 Antibody [NBP3-35679] -

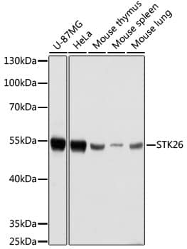
Western Blot: MST4 Antibody [NBP3-35679] - Western blot analysis of various lysates using MST4 Rabbit pAb at 1:1000 dilution.
Secondary antibody: HRP-conjugated Goat anti-Rabbit IgG (H+L) at 1:10000 dilution.
Lysates/proteins: 25ug per lane.
Blocking buffer: 3% nonfat dry milk in TBST.
Detection: ECL Basic Kit.
Exposure time: 10s.

Applications for MST4 Antibody - BSA Free

Application
Recommended Usage

Immunohistochemistry-Paraffin

1:50 - 1:200

Western Blot

1:500 - 1:2000

Formulation, Preparation, and Storage

Purification

Affinity purified

Formulation

PBS (pH 7.3), 50% glycerol

Format

BSA Free

Preservative

0.01% Thimerosal

Concentration

Please see the vial label for concentration. If unlisted please contact technical services.

Shipping

The product is shipped with polar packs. Upon receipt, store it immediately at the temperature recommended below.

Stability & Storage

Store at -20C. Avoid freeze-thaw cycles.

Background: MST4

Novel human Ste20-related kinase Mst4 is highly expressed in placenta, thymus, and peripheral blood leukocytes. Mst4 is biologically active in the activation of MEK/ERK pathway and in mediating cell growth and transformation (1). Wild type and C-terminally truncated forms of Mst4 can both induce apoptosis upon overexpression in mammalian cells that is abrogated by CrmA, suggesting involvement of Mst4 in the apoptotic machinery in mammalian cells (2). Mst4 was found to be expressed in prostate carcinoma tumor samples and cell lines. In addition, expression levels appeared to correlate with tumorigenicity and androgen receptor status of the cells. Mst4 kinase activity was stimulated significantly by epidermal growth factor receptor ligands, which are known to promote growth of prostate cancer cells (3).

Alternate Names

EC 2.7.11, EC 2.7.11.1, Mammalian STE20-like protein kinase 4, mammalian sterile 20-like 4, MASK, Mst3 and SOK1-related kinase, MST-4, serine/threonine protein kinase MASK, serine/threonine protein kinase MST4, Serine/threonine-protein kinase MASK, serine/threonine-protein kinase MST4, STE20-like kinase MST4

Gene Symbol

STK26

Additional MST4 Products

Product Documents for MST4 Antibody - BSA Free

Certificate of Analysis

To download a Certificate of Analysis, please enter a lot number in the search box below.

Product Specific Notices for MST4 Antibody - BSA Free

This product is for research use only and is not approved for use in humans or in clinical diagnosis. Primary Antibodies are guaranteed for 1 year from date of receipt.

Loading...
Loading...
Loading...
Loading...