Skip to main content

MST3 Antibody - BSA Free

Novus Biologicals, part of Bio-Techne | Catalog # NBP3-35153

Novus Biologicals, part of Bio-Techne
Catalog #
Availability
Size / Price
Qty
Loading...
NBP3-35153-100ul
NBP3-35153-20ul

Key Product Details

Species Reactivity

Human, Mouse, Rat

Applications

Immunohistochemistry, Immunohistochemistry-Paraffin, Western Blot, ELISA, Immunocytochemistry/ Immunofluorescence

Label

Unconjugated

Antibody Source

Polyclonal Rabbit IgG

Format

BSA Free

Concentration

Please see the vial label for concentration. If unlisted please contact technical services.

Product Specifications

Immunogen

Recombinant fusion protein containing a sequence corresponding to amino acids 312-431 of human MST3 (NP_001027467.2).

Sequence:
TDGQASGGSDSGDWIFTIREKDPKNLENGALQPSDLDRNKMKDIPKRPFSQCLSTIISPLFAELKEKSQACGGNLGSIEELRGAIYLAEEACPGISDTMVAQLVQRLQRYSLSGGGTSSH

Clonality

Polyclonal

Host

Rabbit

Isotype

IgG

Theoretical MW

49 kDa.
Disclaimer note: The observed molecular weight of the protein may vary from the listed predicted molecular weight due to post translational modifications, post translation cleavages, relative charges, and other experimental factors.

Description

Novus Biologicals Rabbit MST3 Antibody - BSA Free (NBP3-35153) is a polyclonal antibody validated for use in IHC, WB, ELISA and ICC/IF. All Novus Biologicals antibodies are covered by our 100% guarantee.

Scientific Data Images for MST3 Antibody - BSA Free

MST3 Antibody

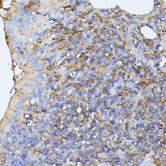
Immunohistochemistry: MST3 Antibody [NBP3-35153] -

Immunohistochemistry: MST3 Antibody [NBP3-35153] - Immunohistochemistry analysis of paraffin-embedded Mouse spleen using MST3 Rabbit pAb at dilution of 1:100 (40x lens). Microwave antigen retrieval performed with 0.01M PBS Buffer (pH 7.2) prior to IHC staining.
MST3 Antibody

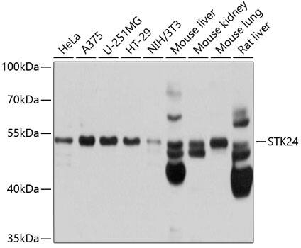
Western Blot: MST3 Antibody [NBP3-35153] -

Western Blot: MST3 Antibody [NBP3-35153] - Western blot analysis of various lysates using MST3 Rabbit pAb at 1:1000 dilution.
Secondary antibody: HRP-conjugated Goat anti-Rabbit IgG (H+L) at 1:10000 dilution.
Lysates/proteins: 25ug per lane.
Blocking buffer: 3% nonfat dry milk in TBST.
Detection: ECL Basic Kit.
Exposure time: 1s.
MST3 Antibody

Immunocytochemistry/ Immunofluorescence: MST3 Antibody [NBP3-35153] -

Immunocytochemistry/ Immunofluorescence: MST3 Antibody [NBP3-35153] - Immunofluorescence analysis of HeLa cells using MST3 Rabbit pAb at dilution of 1:200 (40x lens). Secondary antibody: Cy3-conjugated Goat anti-Rabbit IgG (H+L) at 1:500 dilution. Blue: DAPI for nuclear staining.

Applications for MST3 Antibody - BSA Free

Application
Recommended Usage

Immunocytochemistry/ Immunofluorescence

1:50 - 1:200

Immunohistochemistry-Paraffin

1:50 - 1:200

Western Blot

1:1000 - 1:2000

Formulation, Preparation, and Storage

Purification

Affinity purified

Formulation

PBS (pH 7.3), 50% glycerol

Format

BSA Free

Preservative

0.02% Sodium Azide

Concentration

Please see the vial label for concentration. If unlisted please contact technical services.

Shipping

The product is shipped with polar packs. Upon receipt, store it immediately at the temperature recommended below.

Stability & Storage

Store at -20C. Avoid freeze-thaw cycles.

Background: MST3

The growth of axons is fundamental to the development and repair of brain circuitry. It has been shown that Mst3, a neuron-specific homolog of the yeast kinase Ste20, is critical for axon outgrowth. Mst3 is activated in response to trophic factors, and suppressing its expression or its function blocks axon outgrowth (1). Mst3 has been recently demonstrated to undergo a caspase-mediated cleavage during apoptosis. The proteolytic cleavage of the C-terminus of Mst3 caused nuclear translocation of its kinase domain. Mst3 contains both nuclear localization sequence (NLS) and NES signals, which may cooperate to control the subcellular distribution of Mst3 (2). In situ hybridization of rat brain sections indicated that MST3b is widely expressed in different brain regions, with especially high expression in hippocampus and cerebral cortex. When expressed in human embryonic kidney 293 (HEK293) cells, MST3b effectively phosphorylated myelin basic protein, as well as undergoing autophosphorylation (3)

Alternate Names

EC 2.7.11, EC 2.7.11.1, Mammalian STE20-like protein kinase 3, MST-3, MST3serine/threonine kinase 24 (Ste20, yeast homolog), serine/threonine kinase 24, serine/threonine-protein kinase 24, STE20, STE20-like kinase 3, STE20-like kinase MST3, sterile 20-like kinase 3, STK3yeast)

Gene Symbol

STK24

Additional MST3 Products

Product Documents for MST3 Antibody - BSA Free

Certificate of Analysis

To download a Certificate of Analysis, please enter a lot number in the search box below.

Product Specific Notices for MST3 Antibody - BSA Free

This product is for research use only and is not approved for use in humans or in clinical diagnosis. Primary Antibodies are guaranteed for 1 year from date of receipt.

Loading...
Loading...
Loading...
Loading...