Skip to main content

MSS4 Antibody - BSA Free

Novus Biologicals, part of Bio-Techne | Catalog # NBP1-87832

Novus Biologicals, part of Bio-Techne
Catalog #
Availability
Size / Price
Qty
Loading...
NBP1-87832
NBP1-87832-25ul

Key Product Details

Species Reactivity

Validated:

Human

Predicted:

Mouse (93%), Rat (92%). Backed by our 100% Guarantee.

Applications

Immunocytochemistry/ Immunofluorescence, Immunohistochemistry, Immunohistochemistry-Paraffin

Label

Unconjugated

Antibody Source

Polyclonal Rabbit IgG

Format

BSA Free

Concentration

Concentrations vary lot to lot. See vial label for concentration. If unlisted please contact technical services.

Product Specifications

Immunogen

This antibody was developed against Recombinant Protein corresponding to amino acids: YFDTETYNALMKTLQRDCRVLESFKIMDYSLLLGIHFLDHSLKEKEEETPQNVPDAKRTGMQKVLYSTAMESIQGPGKSGDGIITENPDTMGGIPAKSH

Clonality

Polyclonal

Host

Rabbit

Isotype

IgG

Description

Novus Biologicals Rabbit MSS4 Antibody - BSA Free (NBP1-87832) is a polyclonal antibody validated for use in IHC and ICC/IF. All Novus Biologicals antibodies are covered by our 100% guarantee.

Scientific Data Images for MSS4 Antibody - BSA Free

Immunocytochemistry/ Immunofluorescence: MSS4 Antibody [NBP1-87832]

Immunocytochemistry/ Immunofluorescence: MSS4 Antibody [NBP1-87832]

Immunocytochemistry/Immunofluorescence: MSS4 Antibody [NBP1-87832] - Staining of human cell line Hep G2 shows localization to nucleus.
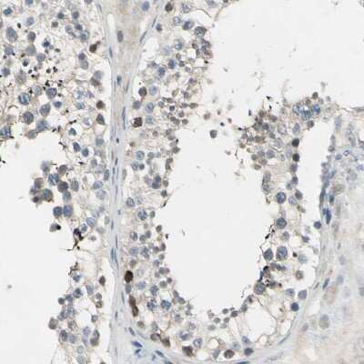
Immunohistochemistry-Paraffin: MSS4 Antibody [NBP1-87832]

Immunohistochemistry-Paraffin: MSS4 Antibody [NBP1-87832]

Immunohistochemistry-Paraffin: MSS4 Antibody [NBP1-87832] - Staining of human testis shows strong cytoplasmic positivity in subset of cells in seminiferous ducts.

Applications for MSS4 Antibody - BSA Free

Application
Recommended Usage

Immunocytochemistry/ Immunofluorescence

0.25-2 ug/ml

Immunohistochemistry

1:50 - 1:200

Immunohistochemistry-Paraffin

1:50 - 1:200
Application Notes
For IHC-Paraffin, HIER pH 6 retrieval is recommended. Immunocytochemistry/Immunofluorescence Fixation Permeabilization: Use PFA/Triton X-100.

Formulation, Preparation, and Storage

Purification

Immunogen affinity purified

Formulation

PBS (pH 7.2) and 40% Glycerol

Format

BSA Free

Preservative

0.02% Sodium Azide

Concentration

Concentrations vary lot to lot. See vial label for concentration. If unlisted please contact technical services.

Shipping

The product is shipped with polar packs. Upon receipt, store it immediately at the temperature recommended below.

Stability & Storage

Store at 4C short term. Aliquot and store at -20C long term. Avoid freeze-thaw cycles.

Background: MSS4

MSS4, also known by its gene name PIP5K1B, has a 543 amino acid long isoform that is 61 kDa and a 549 amino acid isoform that is approximately 62 kDa. MSS4 plays a role in platelet adhesion, actin filament organization and the biosynthesis of PIP2. Current research on MSS4 is being conducted in relation to several diseases and disorders including kidney disease, schizophrenia, neuronitis and Friedreich's ataxia. MSS4 has also been shown to have interactions with CLIC1, BTK, MCRS1 and PIP5KL1 in pathways such as the RAC1 signaling pathway, CD28 signaling, Phosphatidylinositol signaling and the metabolism of lipids and lipoproteins.

Alternate Names

EC 2.7.1, MSS4Protein STM-7, Phosphatidylinositol-4-phosphate 5-kinase type I beta, phosphatidylinositol-4-phosphate 5-kinase type-1 beta, phosphatidylinositol-4-phosphate 5-kinase, type I, beta, PIP5K1-beta, PIP5KIbeta, PtdIns(4)P-5-kinase 1 beta, STM7EC 2.7.1.68, Type I phosphatidylinositol-4-phosphate 5-kinase beta

Gene Symbol

PIP5K1B

Additional MSS4 Products

Product Documents for MSS4 Antibody - BSA Free

Certificate of Analysis

To download a Certificate of Analysis, please enter a lot number in the search box below.

Product Specific Notices for MSS4 Antibody - BSA Free

This product is for research use only and is not approved for use in humans or in clinical diagnosis. Primary Antibodies are guaranteed for 1 year from date of receipt.

Loading...
Loading...
Loading...
Loading...