Skip to main content

MSPR/Ron Antibody (SD2006)

Novus Biologicals, part of Bio-Techne | Catalog # NBP2-67814

Recombinant Monoclonal Antibody.
Novus Biologicals, part of Bio-Techne
Catalog #
Availability
Size / Price
Qty
Loading...
NBP2-67814

Key Product Details

Species Reactivity

Human

Applications

Flow Cytometry, Immunocytochemistry/ Immunofluorescence, Immunohistochemistry, Immunohistochemistry-Paraffin, Immunoprecipitation, Western Blot

Label

Unconjugated

Antibody Source

Recombinant Monoclonal Rabbit IgG Clone # SD2006 expressed in HEK293

Concentration

1 mg/ml

Product Specifications

Immunogen

Synthetic peptide within Human MSPR/Ron aa 11-60 / 1,400. (SwissProt: Q04912 Human)

Localization

Membrane.

Clonality

Monoclonal

Host

Rabbit

Isotype

IgG

Description

Novus Biologicals Rabbit MSPR/Ron Antibody (SD2006) (NBP2-67814) is a recombinant monoclonal antibody validated for use in IHC, WB, Flow, ICC/IF and IP. All Novus Biologicals antibodies are covered by our 100% guarantee.

Scientific Data Images for MSPR/Ron Antibody (SD2006)

Western Blot: MSPR/Ron Antibody (SD2006) [NBP2-67814]

Western Blot: MSPR/Ron Antibody (SD2006) [NBP2-67814]

Western Blot: MSPR/Ron Antibody (SD2006) [NBP2-67814] - Analysis of RON on AGS cell lysates. Proteins were transferred to a PVDF membrane and blocked with 5% BSA in PBS for 1 hour at room temperature. The primary antibody (1/500) was used in 5% BSA at room temperature for 2 hours. Goat Anti-Rabbit IgG - HRP Secondary Antibody at 1:5,000 dilution was used for 1 hour at room temperature.
Immunocytochemistry/ Immunofluorescence: MSPR/Ron Antibody (SD2006) [NBP2-67814]

Immunocytochemistry/ Immunofluorescence: MSPR/Ron Antibody (SD2006) [NBP2-67814]

Immunocytochemistry/Immunofluorescence: MSPR/Ron Antibody (SD2006) [NBP2-67814] - Staining RON in AGS cells (green). The nuclear counter stain is DAPI (blue). Cells were fixed in paraformaldehyde, permeabilised with 0.25% Triton X100/PBS.
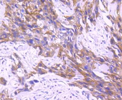
Immunohistochemistry-Paraffin: MSPR/Ron Antibody (SD2006) [NBP2-67814]

Immunohistochemistry-Paraffin: MSPR/Ron Antibody (SD2006) [NBP2-67814]

Immunohistochemistry-Paraffin: MSPR/Ron Antibody (SD2006) [NBP2-67814] - Analysis of paraffin-embedded human lung cancer tissue using anti-RON antibody. Counter stained with hematoxylin.

Applications for MSPR/Ron Antibody (SD2006)

Application
Recommended Usage

Flow Cytometry

1:50-1:100

Immunocytochemistry/ Immunofluorescence

1:50-1:200

Immunohistochemistry-Paraffin

1:50-1:200

Western Blot

1:500-1:1000

Formulation, Preparation, and Storage

Purification

Protein A purified

Formulation

TBS (pH7.4), 0.05% BSA, 40% Glycerol

Preservative

0.05% Sodium Azide

Concentration

1 mg/ml

Shipping

The product is shipped with polar packs. Upon receipt, store it immediately at the temperature recommended below.

Stability & Storage

Store at 4C short term. Aliquot and store at -20C long term. Avoid freeze-thaw cycles.

Background: MSPR/Ron

Ron, the tyrosine kinase receptor for the Macrophage-stimulating protein, is involved in cell dissociation, motility, and matrix invasion (1). Ron, a cDNA homologous to the hepatocyte growth factor (HGF) receptor gene (MET), encodes a putative tyrosine kinase. It has been shown that the Ron gene is expressed in several epithelial tissues as well as in granulocytes and monocytes. The major RON transcript is translated into a glycosylated single chain precursor, cleaved into a 185 kDa heterodimer (p185Ron) of 35 (alpha) and 150 kDa (beta) disulfide-linked chains, before exposure at the cell surface (2).

Long Name

Macrophage Stimulating Protein Receptor

Alternate Names

CD136, MSP R, MST1R, Ron

Gene Symbol

MST1R

Additional MSPR/Ron Products

Product Documents for MSPR/Ron Antibody (SD2006)

Certificate of Analysis

To download a Certificate of Analysis, please enter a lot number in the search box below.

Product Specific Notices for MSPR/Ron Antibody (SD2006)

This product is for research use only and is not approved for use in humans or in clinical diagnosis. Primary Antibodies are guaranteed for 1 year from date of receipt.

Loading...
Loading...
Loading...
Loading...
Loading...