Skip to main content

MSH2 Antibody (CL13724) - Azide and BSA Free

Novus Biologicals, part of Bio-Techne | Catalog # NBP3-43852

Novus Biologicals, part of Bio-Techne
Catalog #
Availability
Size / Price
Qty
Loading...
NBP3-43852

Key Product Details

Validated by

Orthogonal Validation

Species Reactivity

Human

Applications

Immunohistochemistry-Paraffin, Western Blot, Immunocytochemistry/ Immunofluorescence

Label

Unconjugated

Antibody Source

Monoclonal Mouse IgG2B Clone # CL13724

Format

Azide and BSA Free

Concentration

LYOPH mg/ml

Product Specifications

Immunogen

This antibody was generated using a synthetic peptide of P43246, with the exact immunogen sequence remaining proprietary.

Clonality

Monoclonal

Host

Mouse

Isotype

IgG2B

Description

Novus Biologicals Mouse MSH2 Antibody (CL13724) - Azide and BSA Free (NBP3-24573) is a monoclonal antibody validated for use in IHC, WB and ICC/IF. All Novus Biologicals antibodies are covered by our 100% guarantee.

Scientific Data Images for MSH2 Antibody (CL13724) - Azide and BSA Free

MSH2 Antibody (CL13724) - Azide and BSA Free Immunocytochemistry/ Immunofluorescence: MSH2 Antibody [NBP3-43852]

Immunocytochemistry/ Immunofluorescence: MSH2 Antibody [NBP3-43852]

Staining in NTERA-2 cell line with Anti-MSH2 monoclonal antibody) .
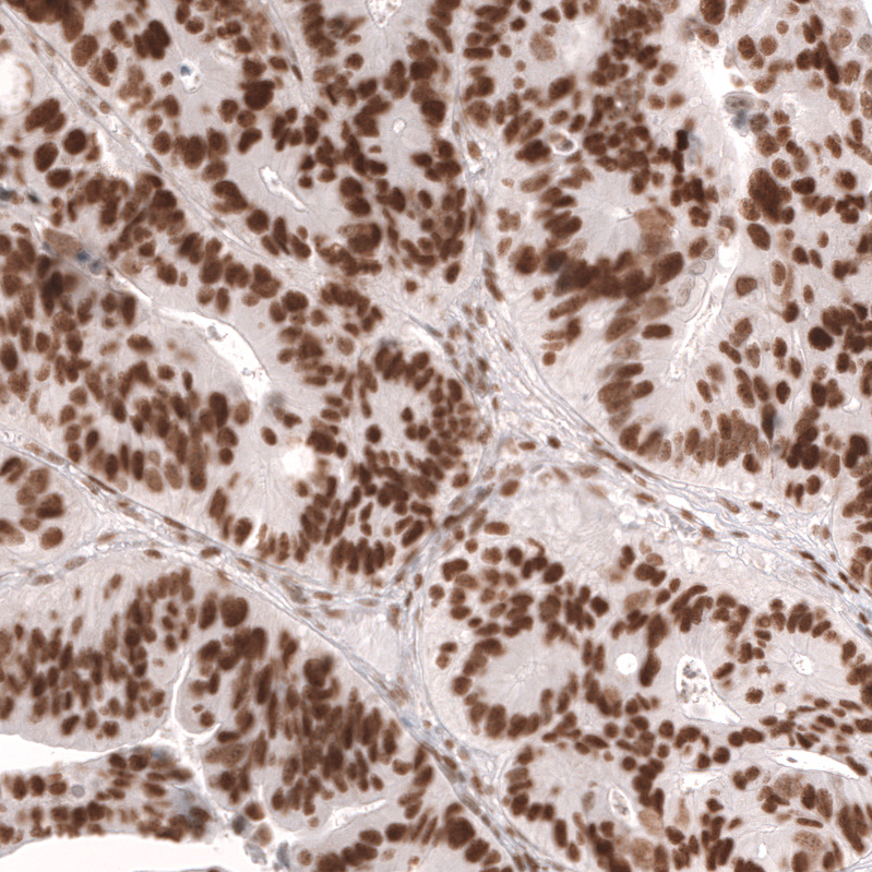
MSH2 Antibody (CL13724) - Azide and BSA Free Immunohistochemistry-Paraffin: MSH2 Antibody [NBP3-43852]

Immunohistochemistry-Paraffin: MSH2 Antibody [NBP3-43852]

Staining of human breast cancer (ductal carcinoma) shows strong nuclear positivity in tumor cells.
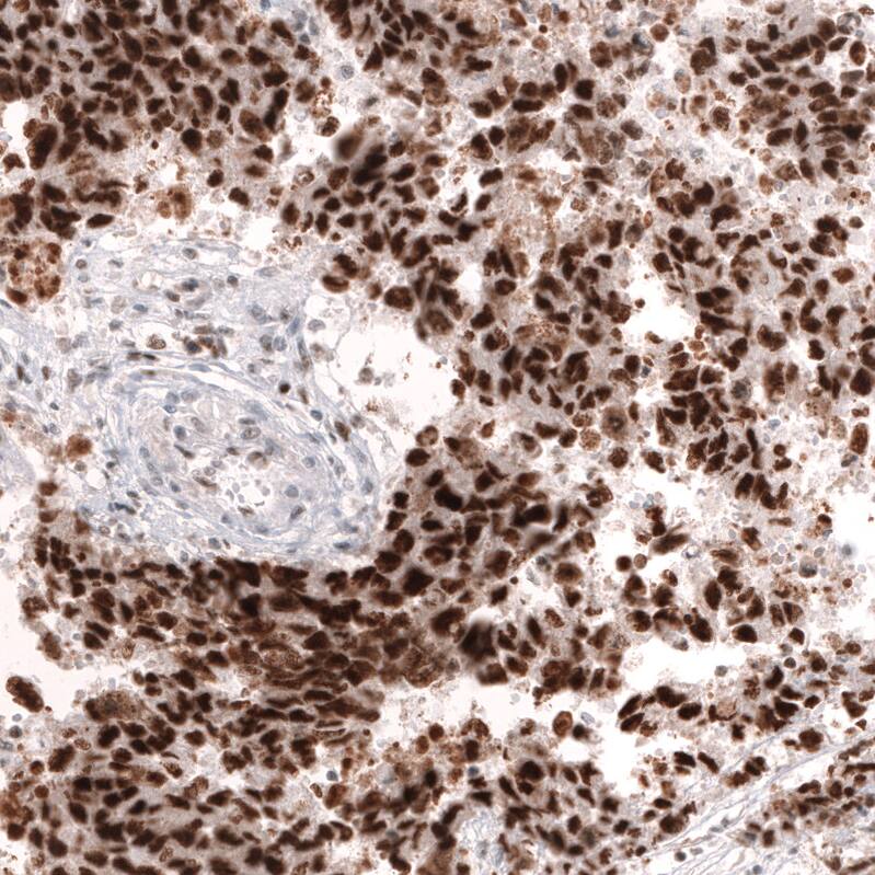
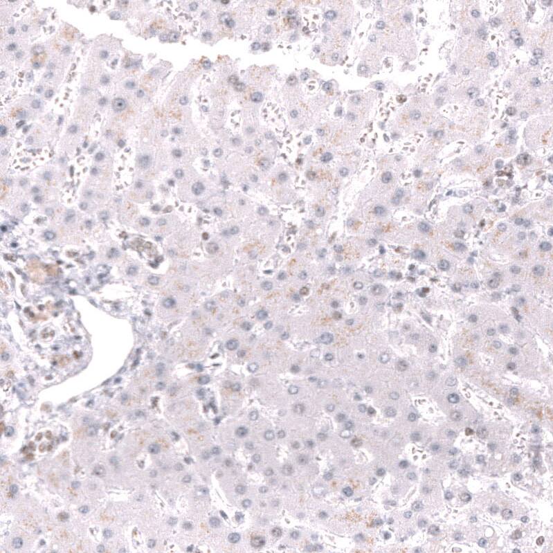
MSH2 Antibody (CL13724) - Azide and BSA Free Immunohistochemistry-Paraffin: MSH2 Antibody [NBP3-43852]

Immunohistochemistry-Paraffin: MSH2 Antibody [NBP3-43852]

Analysis in human lymph node and liver tissues using NBP3-43852 antibody. Corresponding MSH2 RNA-seq data are presented for the same tissues.

Applications for MSH2 Antibody (CL13724) - Azide and BSA Free

Application
Recommended Usage

Immunocytochemistry/ Immunofluorescence

2-10 ug/ml

Immunohistochemistry-Paraffin

1:200 - 1:500

Western Blot

1 ug/ml
Application Notes
For IHC-Paraffin, we recommend using Heat-Induced Epitope Retrieval (HIER) with a pH level of 6. This optimized retrieval method ensures the best results for your experiments, For Immunocytochemistry/ Immunofluorescence/IF, we recommend using a combination of PFA and Triton X-100. This will give you the optimal results for your experiments.

Formulation, Preparation, and Storage

Purification

Protein A purified

Reconstitution

Centrifuge the vial of lyophilized antibody at 12,000 x g for 20 seconds. Reconstitute by adding sterile, distilled water to achieve a final antibody concentration of 1mg/ml.

Formulation

Lyophilized from a 0.2 um filtered solution in PBS with Trehalose

Format

Azide and BSA Free

Preservative

No Preservative

Concentration

LYOPH mg/ml

Shipping

The product is shipped at ambient temperature. Upon receipt, store it immediately at the temperature recommended below.

Stability & Storage

Store at 4C short term. Aliquot and store at -20C long term. Avoid freeze-thaw cycles.

Background: MSH2

MSH2 was identified as a locus frequently mutated in hereditary nonpolyposis colon cancer (HNPCC). When cloned, it was discovered to be a human homolog of the E. coli mismatch repair gene mutS, consistent with the characteristic alterations in microsatellite sequences (RER+ phenotype) found in HNPCC.

Long Name

MutationS Homolog 2

Alternate Names

COCA1, FCC1, HNPCC1, LCFS2

Gene Symbol

MSH2

Additional MSH2 Products

Product Documents for MSH2 Antibody (CL13724) - Azide and BSA Free

Certificate of Analysis

To download a Certificate of Analysis, please enter a lot number in the search box below.

Product Specific Notices for MSH2 Antibody (CL13724) - Azide and BSA Free

This product is for research use only and is not approved for use in humans or in clinical diagnosis. Primary Antibodies are guaranteed for 1 year from date of receipt.

Loading...
Loading...
Loading...
Loading...
Loading...