MRRF Antibody - BSA Free
Novus Biologicals, part of Bio-Techne | Catalog # NBP2-33586
Key Product Details
Validated by
Orthogonal Validation
Species Reactivity
Validated:
Human
Predicted:
Mouse (93%), Rat (95%). Backed by our 100% Guarantee.
Applications
Immunohistochemistry, Immunohistochemistry-Paraffin, Immunocytochemistry/ Immunofluorescence
Label
Unconjugated
Antibody Source
Polyclonal Rabbit IgG
Format
BSA Free
Concentration
Concentrations vary lot to lot. See vial label for concentration. If unlisted please contact technical services.
Product Specifications
Immunogen
This antibody was developed against a recombinant protein corresponding to amino acids: EALKDNFNKTLNIRTSPGSLDKIAVVTADGKLALNQISQISMKSPQLILVNMASFPECTAAAIKAIRESGMNLNPEVEGTLI
Clonality
Polyclonal
Host
Rabbit
Isotype
IgG
Scientific Data Images for MRRF Antibody - BSA Free
Immunocytochemistry/ Immunofluorescence: MRRF Antibody [NBP2-33586]
Immunocytochemistry/Immunofluorescence: MRRF Antibody [NBP2-33586] - Immunofluorescent staining of human cell line HEK 293 shows localization to microtubules & cytokinetic bridge. Antibody staining is shown in green.Immunohistochemistry-Paraffin: MRRF Antibody [NBP2-33586]
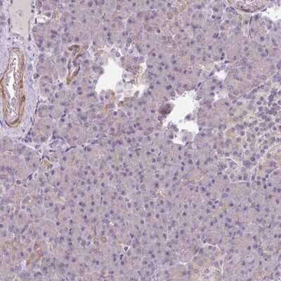
Immunohistochemistry-Paraffin: MRRF Antibody [NBP2-33586] - Staining of human parathyroid gland shows high expression.Applications for MRRF Antibody - BSA Free
Application
Recommended Usage
Immunocytochemistry/ Immunofluorescence
0.25-2 ug/ml
Immunohistochemistry
1:200 - 1:500
Immunohistochemistry-Paraffin
1:200 - 1:500
Application Notes
For IHC-Paraffin, HIER pH 6 retrieval is recommended. Immunocytochemistry/Immunofluorescence Fixation Permeabilization: Use PFA/Triton X-100.
Formulation, Preparation, and Storage
Purification
Affinity purified
Formulation
PBS (pH 7.2) and 40% Glycerol
Format
BSA Free
Preservative
0.02% Sodium Azide
Concentration
Concentrations vary lot to lot. See vial label for concentration. If unlisted please contact technical services.
Shipping
The product is shipped with polar packs. Upon receipt, store it immediately at the temperature recommended below.
Stability & Storage
Store at 4C short term. Aliquot and store at -20C long term. Avoid freeze-thaw cycles.
Background: MRRF
Alternate Names
mitochondrial, mitochondrial ribosome recycling factor, MTRRF
Gene Symbol
MRRF
UniProt
Additional MRRF Products
Product Documents for MRRF Antibody - BSA Free
Product Specific Notices for MRRF Antibody - BSA Free
This product is for research use only and is not approved for use in humans or in clinical diagnosis. Primary Antibodies are guaranteed for 1 year from date of receipt.
Loading...
Loading...
Loading...
Loading...