Skip to main content

MRPS31 Antibody - BSA Free

Novus Biologicals, part of Bio-Techne | Catalog # NBP2-30923

Novus Biologicals, part of Bio-Techne
Catalog #
Availability
Size / Price
Qty
Loading...
NBP2-30923
NBP2-30923-25ul

Key Product Details

Species Reactivity

Human

Applications

Immunocytochemistry/ Immunofluorescence, Immunohistochemistry, Immunohistochemistry-Paraffin

Label

Unconjugated

Antibody Source

Polyclonal Rabbit IgG

Format

BSA Free

Concentration

Concentrations vary lot to lot. See vial label for concentration. If unlisted please contact technical services.

Product Specifications

Immunogen

This antibody was developed against a recombinant protein corresponding to amino acids: DLLGIIKGMKVELSTVNVRTTKPPKRRPLKSLEATLGRLRRATEYAPKKRIEPLSPELVAAASAVADSLPFDKQTTKS

Clonality

Polyclonal

Host

Rabbit

Isotype

IgG

Description

Novus Biologicals Rabbit MRPS31 Antibody - BSA Free (NBP2-30923) is a polyclonal antibody validated for use in IHC and ICC/IF. All Novus Biologicals antibodies are covered by our 100% guarantee.

Scientific Data Images for MRPS31 Antibody - BSA Free

Immunocytochemistry/ Immunofluorescence: MRPS31 Antibody [NBP2-30923]

Immunocytochemistry/ Immunofluorescence: MRPS31 Antibody [NBP2-30923]

Immunocytochemistry/Immunofluorescence: MRPS31 Antibody [NBP2-30923] - Staining of human cell line HEK 293 shows positivity in mitochondria. Antibody staining is shown in green.
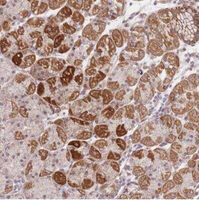
Immunohistochemistry-Paraffin: MRPS31 Antibody [NBP2-30923]

Immunohistochemistry-Paraffin: MRPS31 Antibody [NBP2-30923]

Immunohistochemistry-Paraffin: MRPS31 Antibody [NBP2-30923] - Staining of human stomach, lower shows strong cytoplasmic positivity in glandular cells.

Applications for MRPS31 Antibody - BSA Free

Application
Recommended Usage

Immunocytochemistry/ Immunofluorescence

0.25-2 ug/ml

Immunohistochemistry

1:200 - 1:500

Immunohistochemistry-Paraffin

1:200 - 1:500
Application Notes
For IHC-Paraffin, HIER pH 6 retrieval is recommended. ICC/IF Fixation Permeabilization: Use PFA/Triton X-100.

Formulation, Preparation, and Storage

Purification

Immunogen affinity purified

Formulation

PBS (pH 7.2) and 40% Glycerol

Format

BSA Free

Preservative

0.02% Sodium Azide

Concentration

Concentrations vary lot to lot. See vial label for concentration. If unlisted please contact technical services.

Shipping

The product is shipped with polar packs. Upon receipt, store it immediately at the temperature recommended below.

Stability & Storage

Store at 4C short term. Aliquot and store at -20C long term. Avoid freeze-thaw cycles.

Background: MRPS31

MRPS31, also known as Mitochondrial Ribosomal Protein S31, contains a 45 kDa isoform that is 395 amino acids in length, and is involved in protein synthesis within the mitochondria. MRPS31 is not currently being utilized in disease research. The protein is not associated with any pathways or biological processes, but has been found to interact with USP42, ESR1, ITGB3BP, SLX4, and LYST.

Alternate Names

28S ribosomal protein S31, mitochondrial, IMOGN38Imogen 38, mitochondrial ribosomal protein S31, MRP-S31, S31mt

Gene Symbol

MRPS31

UniProt

Additional MRPS31 Products

Product Documents for MRPS31 Antibody - BSA Free

Certificate of Analysis

To download a Certificate of Analysis, please enter a lot number in the search box below.

Product Specific Notices for MRPS31 Antibody - BSA Free

This product is for research use only and is not approved for use in humans or in clinical diagnosis. Primary Antibodies are guaranteed for 1 year from date of receipt.

Loading...
Loading...
Loading...
Loading...