Skip to main content

MRPL17 Antibody - BSA Free

Novus Biologicals, part of Bio-Techne | Catalog # NBP2-13611

Novus Biologicals, part of Bio-Techne
Catalog #
Availability
Size / Price
Qty
Loading...
NBP2-13611
NBP2-13611-25ul

Key Product Details

Species Reactivity

Validated:

Human

Predicted:

Mouse (94%), Rat (95%). Backed by our 100% Guarantee.

Applications

Immunohistochemistry, Immunohistochemistry-Paraffin, Western Blot

Label

Unconjugated

Antibody Source

Polyclonal Rabbit IgG

Format

BSA Free

Concentration

Concentrations vary lot to lot. See vial label for concentration. If unlisted please contact technical services.

Product Specifications

Immunogen

This antibody was developed against a recombinant protein corresponding to the amino acids: LSVAAAISHGRVFRRMGLGPESRIHLLRNLLTGLVRHERIEAPWARVDEMRGYAEKLIDYGKLGDTNERAMRMADFWLTEKDLI

Clonality

Polyclonal

Host

Rabbit

Isotype

IgG

Description

Novus Biologicals Rabbit MRPL17 Antibody - BSA Free (NBP2-13611) is a polyclonal antibody validated for use in IHC and WB. All Novus Biologicals antibodies are covered by our 100% guarantee.

Scientific Data Images for MRPL17 Antibody - BSA Free

Western Blot: MRPL17 Antibody [NBP2-13611]

Western Blot: MRPL17 Antibody [NBP2-13611]

Western Blot: MRPL17 Antibody [NBP2-13611] - Lane 1: Marker [kDa] 250, 130, 95, 72, 55, 36, 28, 17, 10. Lane 2: Human cell line RT-4. Lane 3: Human cell line U-251MG sp. Lane 4: Human plasma (IgG/HSA depleted). Lane 5: Human liver tissue. Lane 6: Human tonsil tissue
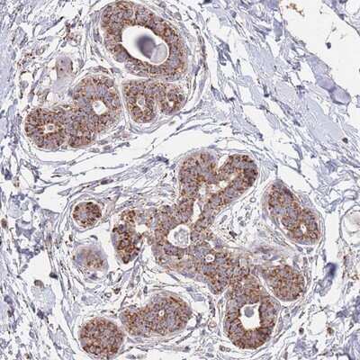
Immunohistochemistry-Paraffin: MRPL17 Antibody [NBP2-13611]

Immunohistochemistry-Paraffin: MRPL17 Antibody [NBP2-13611]

Immunohistochemistry-Paraffin: MRPL17 Antibody [NBP2-13611] - Staining of human breast shows strong cytoplasmic positivity in granular pattern glandular cells.

Applications for MRPL17 Antibody - BSA Free

Application
Recommended Usage

Immunohistochemistry

1:200 - 1:500

Immunohistochemistry-Paraffin

1:200 - 1:500

Western Blot

0.04-0.4 ug/ml
Application Notes
For IHC-Paraffin, HIER pH 6 retrieval is recommended.

Formulation, Preparation, and Storage

Purification

Immunogen affinity purified

Formulation

PBS (pH 7.2) and 40% Glycerol

Format

BSA Free

Preservative

0.02% Sodium Azide

Concentration

Concentrations vary lot to lot. See vial label for concentration. If unlisted please contact technical services.

Shipping

The product is shipped with polar packs. Upon receipt, store it immediately at the temperature recommended below.

Stability & Storage

Store at 4C short term. Aliquot and store at -20C long term. Avoid freeze-thaw cycles.

Background: MRPL17

Mammalian mitochondrial ribosomal proteins are encoded by nuclear genes and help in protein synthesis within the mitochondrion. Mitochondrial ribosomes (mitoribosomes) consist of a small 28S subunit and a large 39S subunit. They have an estimated 75% protein to rRNA composition compared to prokaryotic ribosomes, where this ratio is reversed. Another difference between mammalian mitoribosomes and prokaryotic ribosomes is that the latter contain a 5S rRNA. Among different species, the proteins comprising the mitoribosome differ greatly in sequence, and sometimes in biochemical properties, which prevents easy recognition by sequence homology. This gene encodes a 39S subunit protein. [provided by RefSeq]

Alternate Names

L17mt, LIP2, LYST-interacting protein 2, LYST-interacting protein LIP2, mitochondrial ribosomal protein L17, MRP-L17, MRP-L26, RPL17L, RPML26,39S ribosomal protein L17, mitochondrial

Gene Symbol

MRPL17

Additional MRPL17 Products

Product Documents for MRPL17 Antibody - BSA Free

Certificate of Analysis

To download a Certificate of Analysis, please enter a lot number in the search box below.

Product Specific Notices for MRPL17 Antibody - BSA Free

This product is for research use only and is not approved for use in humans or in clinical diagnosis. Primary Antibodies are guaranteed for 1 year from date of receipt.

Loading...
Loading...
Loading...
Loading...