Skip to main content

MRPL12 Antibody - BSA Free

Novus Biologicals, part of Bio-Techne | Catalog # NBP2-97472

Novus Biologicals, part of Bio-Techne

Key Product Details

Species Reactivity

Human

Applications

Immunocytochemistry/ Immunofluorescence, Immunohistochemistry-Paraffin, Immunoprecipitation, Western Blot

Label

Unconjugated

Antibody Source

Polyclonal Rabbit IgG

Format

BSA Free

Concentration

Please see the vial label for concentration. If unlisted please contact technical services.

Product Specifications

Immunogen

Produced in rabbits immunized with E. coli-derived Human MRPL12 fragment.

Clonality

Polyclonal

Host

Rabbit

Isotype

IgG

Description

This antibody can be stored at 2C to 8C for one month without detectable loss of activity. Antibody products are stable for twelve months from date of receipt when stored at -20C to -80C. Avoid repeated freeze-thaw cycles.

Scientific Data Images for MRPL12 Antibody - BSA Free

Western Blot: MRPL12 Antibody [NBP2-97472]

Western Blot: MRPL12 Antibody [NBP2-97472]

Western Blot: MRPL12 Antibody [NBP2-97472] - Anti-MRPL12 rabbit polyclonal antibody at 1:500 dilution. Lane A: U-251 MG Whole Cell Lysate Lane B: A431 Whole Cell Lysate Lysates/proteins at 30 ug per lane. Secondary Goat Anti-Rabbit IgG (H+L)/HRP at 1/10000 dilution. Developed using the ECL technique. Performed under reducing conditions. Predicted band size: 21 kDa. Observed band size: 21 kDa
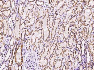
Immunohistochemistry-Paraffin: MRPL12 Antibody [NBP2-97472]

Immunohistochemistry-Paraffin: MRPL12 Antibody [NBP2-97472]

Immunohistochemistry-Paraffin: MRPL12 Antibody [NBP2-97472] - Immunochemical staining of human MRPL12 in human kidney with rabbit polyclonal antibody at 1:200 dilution, formalin-fixed paraffin embedded sections.
Immunohistochemistry-Paraffin: MRPL12 Antibody [NBP2-97472]

Immunohistochemistry-Paraffin: MRPL12 Antibody [NBP2-97472]

Immunohistochemistry-Paraffin: MRPL12 Antibody [NBP2-97472] - Immunochemical staining of human MRPL12 in human colon with rabbit polyclonal antibody at 1:200 dilution, formalin-fixed paraffin embedded sections.

Applications for MRPL12 Antibody - BSA Free

Application
Recommended Usage

Immunocytochemistry/ Immunofluorescence

1:100-1:500

Immunohistochemistry-Paraffin

1:100-1:400

Immunoprecipitation

0.5-2uL/mg of lysate

Western Blot

1:500-1:2000

Formulation, Preparation, and Storage

Purification

Antigen and protein A Affinity-purified

Formulation

PBS

Format

BSA Free

Preservative

0.03% Proclin 300

Concentration

Please see the vial label for concentration. If unlisted please contact technical services.

Shipping

The product is shipped with polar packs. Upon receipt, store it immediately at the temperature recommended below.

Stability & Storage

Store at 4C short term. Aliquot and store at -20C long term. Avoid freeze-thaw cycles.

Background: MRPL12

MRPL12, also known as 39 S ribosomal protein L12, mitochondrial, is a 21.3 kDa, 198 amino acid protein that is involved in mitochondrial protein synthesis by forming homodimers in 39S subunits. Current research is being conducted to identify the effect of the protein on diseases such as prostate cancer and prostatitis. The protein interacts in translation pathways with other proteins such as ICT1, MRPL3, SRRM2, PPP2R2B, and TMEM51.

Alternate Names

5c5-2, FLJ60124, L12mt, MGC8610, mitochondrial ribosomal protein L12, MRP-L12, MRP-L31/34, MRPL7, MRPL7/L12, RPML1239S ribosomal protein L12, mitochondrial

Gene Symbol

MRPL12

Additional MRPL12 Products

Product Documents for MRPL12 Antibody - BSA Free

Certificate of Analysis

To download a Certificate of Analysis, please enter a lot number in the search box below.

Product Specific Notices for MRPL12 Antibody - BSA Free

This product is for research use only and is not approved for use in humans or in clinical diagnosis. Primary Antibodies are guaranteed for 1 year from date of receipt.

Loading...
Loading...
Loading...
Loading...