Skip to main content

MRPL1 Antibody - BSA Free

Novus Biologicals, part of Bio-Techne | Catalog # NBP3-47050

Novus Biologicals, part of Bio-Techne
Catalog #
Availability
Size / Price
Qty
Loading...
NBP3-47050

Key Product Details

Species Reactivity

Human

Applications

Immunohistochemistry, Western Blot, ELISA

Label

Unconjugated

Antibody Source

Polyclonal Rabbit IgG

Format

BSA Free

Concentration

Please see the vial label for concentration. If unlisted please contact technical services.

Product Specifications

Immunogen

mitochondrial ribosomal protein L1. (Uniprot# Q9BYD6)

Clonality

Polyclonal

Host

Rabbit

Isotype

IgG

Theoretical MW

37 kDa.
Disclaimer note: The observed molecular weight of the protein may vary from the listed predicted molecular weight due to post translational modifications, post translation cleavages, relative charges, and other experimental factors.

Description

Novus Biologicals Rabbit MRPL1 Antibody - BSA Free (NBP3-47050) is a polyclonal antibody validated for use in IHC, WB and ELISA. All Novus Biologicals antibodies are covered by our 100% guarantee.

Scientific Data Images for MRPL1 Antibody - BSA Free

MRPL1 Antibody - BSA Free

Western Blot: MRPL1 Antibody - BSA Free [NBP3-47050] -

Western Blot: MRPL1 Antibody - BSA Free [NBP3-47050] - Human liver tissue were subjected to SDS PAGE followed by western blot with (MRPL1 antibody) at dilution of 1:1000
MRPL1 Antibody - BSA Free

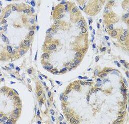
Immunohistochemistry: MRPL1 Antibody - BSA Free [NBP3-47050] -

Immunohistochemistry: MRPL1 Antibody - BSA Free [NBP3-47050] - Immunohistochemistry of paraffin-embedded human stomach tissue slide using (MRPL1 Antibody) at dilution of 1:50

Applications for MRPL1 Antibody - BSA Free

Application
Recommended Usage

Immunohistochemistry

1:20 - 1:200

Western Blot

1:500 - 1:2000

Formulation, Preparation, and Storage

Purification

Immunogen affinity purified

Formulation

PBS, 50% Glycerol, pH (7.3)

Format

BSA Free

Preservative

0.02% Sodium Azide

Concentration

Please see the vial label for concentration. If unlisted please contact technical services.

Shipping

The product is shipped with polar packs. Upon receipt, store it immediately at the temperature recommended below.

Stability & Storage

Store at -20C. Avoid freeze-thaw cycles.

Background: MRPL1

MRPL1, also known as 39 S ribosomal protein L1, mitochondrial, is a 36.9 kDa, 325 amino acid protein that is involved in translation in the mitochondria as a member of the L1 ribosomal protein family. There is no current research being conducted to identify the effect of the protein on diseases. The protein interacts with MRPL3, MRPL20, MRPL11, MRPL12, and ICT1.

Alternate Names

BM022, FLJ96680, L1MT, mitochondrial, mitochondrial ribosomal protein L1, MRP-L1

Gene Symbol

MRPL1

Additional MRPL1 Products

Product Documents for MRPL1 Antibody - BSA Free

Certificate of Analysis

To download a Certificate of Analysis, please enter a lot number in the search box below.

Product Specific Notices for MRPL1 Antibody - BSA Free

This product is for research use only and is not approved for use in humans or in clinical diagnosis. Primary Antibodies are guaranteed for 1 year from date of receipt.

Loading...
Loading...
Loading...
Loading...