Skip to main content

MRP4/ABCC4 Antibody - BSA Free

Novus Biologicals, part of Bio-Techne | Catalog # NBP1-84782

Novus Biologicals, part of Bio-Techne
Catalog #
Availability
Size / Price
Qty
Loading...
NBP1-84782
NBP1-84782-25ul

Key Product Details

Validated by

Orthogonal Validation

Species Reactivity

Human

Applications

Immunohistochemistry, Immunohistochemistry-Paraffin

Label

Unconjugated

Antibody Source

Polyclonal Rabbit IgG

Format

BSA Free

Concentration

Concentrations vary lot to lot. See vial label for concentration. If unlisted please contact technical services.

Product Specifications

Immunogen

This antibody was developed against Recombinant Protein corresponding to amino acids: NFSVGQRQLVCLARAILRKNQILIIDEATANVDPRTDELIQKKIREKFAHCTVLTIAHRLNTIIDSDKIMVLDSGRLKEYDEPYVLLQNKESLFYKMVQQLGKAEAAALTETAKQVYFKRNYPHIGHTDHMVTNTSNGQPST

Reactivity Notes

Immunogen displays the following percentage of sequence identity for non-tested species: Mouse (89%), Rat (87%)

Clonality

Polyclonal

Host

Rabbit

Isotype

IgG

Description

Novus Biologicals Rabbit MRP4/ABCC4 Antibody - BSA Free (NBP1-84782) is a polyclonal antibody validated for use in IHC. All Novus Biologicals antibodies are covered by our 100% guarantee.

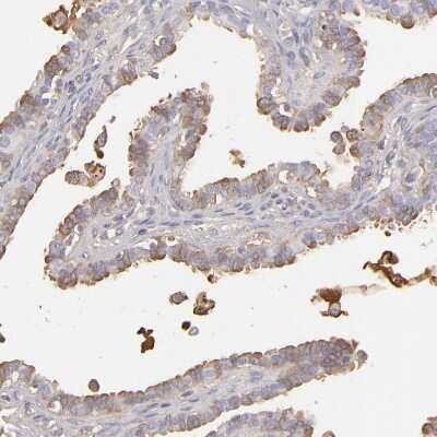
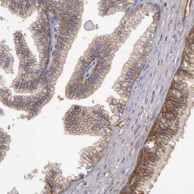
Scientific Data Images for MRP4/ABCC4 Antibody - BSA Free

Immunohistochemistry-Paraffin: MRP4/ABCC4 Antibody [NBP1-84782]

Immunohistochemistry-Paraffin: MRP4/ABCC4 Antibody [NBP1-84782]

Immunohistochemistry-Paraffin: MRP4/ABCC4 Antibody [NBP1-84782] - Staining of human liver shows no positivity in hepatocytes as expected.
Immunohistochemistry-Paraffin: MRP4/ABCC4 Antibody [NBP1-84782]

Immunohistochemistry-Paraffin: MRP4/ABCC4 Antibody [NBP1-84782]

Immunohistochemistry-Paraffin: MRP4/ABCC4 Antibody [NBP1-84782] - Analysis in human prostate and liver tissues. Corresponding MRP4/ABCC4 RNA-seq data are presented for the same tissues.
Immunohistochemistry-Paraffin: MRP4/ABCC4 Antibody [NBP1-84782]

Immunohistochemistry-Paraffin: MRP4/ABCC4 Antibody [NBP1-84782]

Immunohistochemistry-Paraffin: MRP4/ABCC4 Antibody [NBP1-84782] - Staining of human fallopian tube shows strong membranous positivity in glandular cells.

Applications for MRP4/ABCC4 Antibody - BSA Free

Application
Recommended Usage

Immunohistochemistry

1:200 - 1:500

Immunohistochemistry-Paraffin

1:200 - 1:500
Application Notes
For IHC-Paraffin, HIER pH 6 retrieval is recommended.

Formulation, Preparation, and Storage

Purification

Affinity purified

Formulation

PBS (pH 7.2) and 40% Glycerol

Format

BSA Free

Preservative

0.02% Sodium Azide

Concentration

Concentrations vary lot to lot. See vial label for concentration. If unlisted please contact technical services.

Shipping

The product is shipped with polar packs. Upon receipt, store it immediately at the temperature recommended below.

Stability & Storage

Store at 4C short term. Aliquot and store at -20C long term. Avoid freeze-thaw cycles.

Background: MRP4/ABCC4

MRP4 may be an organic anion pump relevant to cellular detoxification

Long Name

Multidrug Resistance-associated Protein 4

Alternate Names

ABCC4, MOATB

Gene Symbol

ABCC4

Additional MRP4/ABCC4 Products

Product Documents for MRP4/ABCC4 Antibody - BSA Free

Certificate of Analysis

To download a Certificate of Analysis, please enter a lot number in the search box below.

Product Specific Notices for MRP4/ABCC4 Antibody - BSA Free

This product is for research use only and is not approved for use in humans or in clinical diagnosis. Primary Antibodies are guaranteed for 1 year from date of receipt.

Loading...
Loading...
Loading...
Loading...