Skip to main content

MRLC2 Antibody - BSA Free

Novus Biologicals, part of Bio-Techne | Catalog # NBP2-54719

Novus Biologicals, part of Bio-Techne
Catalog #
Availability
Size / Price
Qty
Loading...
NBP2-54719

Key Product Details

Species Reactivity

Human, Mouse, Rat

Applications

Immunocytochemistry/ Immunofluorescence, Immunohistochemistry, Immunohistochemistry-Paraffin, Western Blot

Label

Unconjugated

Antibody Source

Polyclonal Rabbit IgG

Format

BSA Free

Concentration

Concentrations vary lot to lot. See vial label for concentration. If unlisted please contact technical services.

Product Specifications

Immunogen

This antibody was developed against a Recombinant Protein corresponding to amino acids: YREAPIDKKGNFNYIEFTRILKHGAKDKDD

Clonality

Polyclonal

Host

Rabbit

Isotype

IgG

Description

Novus Biologicals Rabbit MRLC2 Antibody - BSA Free (NBP2-54719) is a polyclonal antibody validated for use in IHC, WB and ICC/IF. All Novus Biologicals antibodies are covered by our 100% guarantee.

Scientific Data Images for MRLC2 Antibody - BSA Free

Western Blot: MRLC2 Antibody [NBP2-54719]

Western Blot: MRLC2 Antibody [NBP2-54719]

Western Blot: MRCL3 Antibody [NBP2-54719] - Lane 1: NIH-3T3 cell lysate (Mouse embryonic fibroblast cells) Lane 2: NBT-II cell lysate (Rat Wistar bladder tumour cells)
Immunocytochemistry/ Immunofluorescence: MRLC2 Antibody [NBP2-54719]

Immunocytochemistry/ Immunofluorescence: MRLC2 Antibody [NBP2-54719]

Immunocytochemistry/Immunofluorescence: MRLC2 Antibody [NBP2-54719] - MRCL3 Antibody [NBP2-54719] - Staining of human cell line U-2 OS shows localization to nucleus & nucleoli fibrillar center.
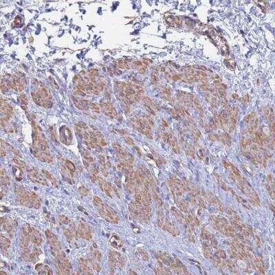
Immunohistochemistry-Paraffin: MRLC2 Antibody [NBP2-54719]

Immunohistochemistry-Paraffin: MRLC2 Antibody [NBP2-54719]

Immunohistochemistry-Paraffin: MRCL3 Antibody [NBP2-54719] - Staining of human smooth muscle shows moderate cytoplasmic positivity in smooth muscle cells.

Applications for MRLC2 Antibody - BSA Free

Application
Recommended Usage

Immunocytochemistry/ Immunofluorescence

0.25-2 ug/ml

Immunohistochemistry

1:200 - 1:500

Immunohistochemistry-Paraffin

1:200 - 1:500

Western Blot

0.04-0.4 ug/ml
Application Notes
For IHC-Paraffin, HIER pH 6 retrieval is recommended. ICC/IF,Fixation Permeabilization: Use PFA/Triton X-100.

Formulation, Preparation, and Storage

Purification

Immunogen affinity purified

Formulation

PBS (pH 7.2) and 40% Glycerol

Format

BSA Free

Preservative

0.02% Sodium Azide

Concentration

Concentrations vary lot to lot. See vial label for concentration. If unlisted please contact technical services.

Shipping

The product is shipped with polar packs. Upon receipt, store it immediately at the temperature recommended below.

Stability & Storage

Store at 4C short term. Aliquot and store at -20C long term. Avoid freeze-thaw cycles.

Background: MRLC2

The activity of nonmuscle myosin II (see MYH9; MIM 160775) is regulated by phosphorylation of a regulatory light chain,such as MRLC2. This phosphorylation results in higher MgATPase activity and the assembly of myosin II filaments(Iwasaki et al., 2001 (PubMed 11942626)).(supplied by OMIM)

Alternate Names

MLC-2, MLC20, MLC-2A, MLC-B, MRLC2SHUJUN-1, MYLC2B, myosin regulatory light chain 12B, myosin regulatory light chain 2, Myosin regulatory light chain 20 kDa, Myosin regulatory light chain 2-B, smooth muscle isoform, Myosin regulatory light chain MRLC2, myosin, light chain 12B, regulatory

Gene Symbol

MYL12B

Additional MRLC2 Products

Product Documents for MRLC2 Antibody - BSA Free

Certificate of Analysis

To download a Certificate of Analysis, please enter a lot number in the search box below.

Product Specific Notices for MRLC2 Antibody - BSA Free

This product is for research use only and is not approved for use in humans or in clinical diagnosis. Primary Antibodies are guaranteed for 1 year from date of receipt.

Loading...
Loading...
Loading...
Loading...