Skip to main content

MRGX2 Antibody - BSA Free

Novus Biologicals, part of Bio-Techne | Catalog # NBP2-33744

Novus Biologicals, part of Bio-Techne
Catalog #
Availability
Size / Price
Qty
Loading...
NBP2-33744
NBP2-33744-25ul

Key Product Details

Species Reactivity

Human

Applications

Immunohistochemistry, Immunohistochemistry-Paraffin

Label

Unconjugated

Antibody Source

Polyclonal Rabbit IgG

Format

BSA Free

Concentration

Concentrations vary lot to lot. See vial label for concentration. If unlisted please contact technical services.

Product Specifications

Immunogen

This antibody was developed against a recombinant protein corresponding to amino acids: ALQRALQDIAEVDHSEGCFRQGTPEMSRSS

Clonality

Polyclonal

Host

Rabbit

Isotype

IgG

Description

Novus Biologicals Rabbit MRGX2 Antibody - BSA Free (NBP2-33744) is a polyclonal antibody validated for use in IHC. All Novus Biologicals antibodies are covered by our 100% guarantee.

Scientific Data Images for MRGX2 Antibody - BSA Free

Immunohistochemistry-Paraffin: MRGX2 Antibody [NBP2-33744]

Immunohistochemistry-Paraffin: MRGX2 Antibody [NBP2-33744]

Immunohistochemistry-Paraffin: MRGX2 Antibody [NBP2-33744] - Staining of human lymph node shows strong cytoplasmic/membranous positivity in a small subset of non-germinal center cells, possibly mast cells.
Immunohistochemistry-Paraffin: MRGX2 Antibody [NBP2-33744]

Immunohistochemistry-Paraffin: MRGX2 Antibody [NBP2-33744]

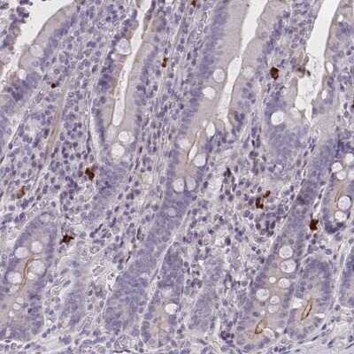
Immunohistochemistry-Paraffin: MRGX2 Antibody [NBP2-33744] - Staining of human duodenum shows strong cytoplasmic positivity in a subset of immune cells.
Immunohistochemistry-Paraffin: MRGX2 Antibody [NBP2-33744]

Immunohistochemistry-Paraffin: MRGX2 Antibody [NBP2-33744]

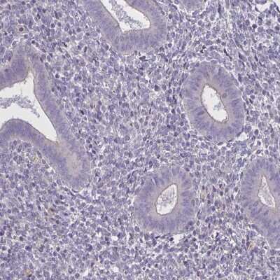
Immunohistochemistry-Paraffin: MRGX2 Antibody [NBP2-33744] - Staining of human endometrium shows no positivity in glandular cells as expected.

Applications for MRGX2 Antibody - BSA Free

Application
Recommended Usage

Immunohistochemistry

1:200 - 1:500

Immunohistochemistry-Paraffin

1:200 - 1:500
Application Notes
For IHC-Paraffin, HIER pH 6 retrieval is recommended.

Formulation, Preparation, and Storage

Purification

Immunogen affinity purified

Formulation

PBS (pH 7.2) and 40% Glycerol

Format

BSA Free

Preservative

0.02% Sodium Azide

Concentration

Concentrations vary lot to lot. See vial label for concentration. If unlisted please contact technical services.

Shipping

The product is shipped with polar packs. Upon receipt, store it immediately at the temperature recommended below.

Stability & Storage

Store at 4C short term. Aliquot and store at -20C long term. Avoid freeze-thaw cycles.

Background: MRGX2

MRGX2 (MAS-related GPR, member X2) is G-protein coupled 7-transmembrane protein that is selectively expressed in small-diameter sensory neurons of dorsal root ganglia. Human MRGX shares 41-52% amino acid identity with three other primate MRGX proteins, but has no ortholog in rodents. Binding of ligands such as cortistatin, proadrenaomedullin peptides (PAMP-12 and -20) and basic peptides (substance P, neuropeptide Y) to MRGX2 can activate Gq or Gi regulated pathways. MRGX2 is thought to influence nociception and promote adrenal gland catecholamine secretion and IgE-independent mast cell degranulation.

Long Name

Mas-related G Protein-coupled Receptor Member X2

Alternate Names

MRGPRX2

Gene Symbol

MRGPRX2

UniProt

Additional MRGX2 Products

Product Documents for MRGX2 Antibody - BSA Free

Certificate of Analysis

To download a Certificate of Analysis, please enter a lot number in the search box below.

Product Specific Notices for MRGX2 Antibody - BSA Free

This product is for research use only and is not approved for use in humans or in clinical diagnosis. Primary Antibodies are guaranteed for 1 year from date of receipt.

Loading...
Loading...
Loading...
Loading...