Skip to main content

MRG15 Antibody - BSA Free

Novus Biologicals, part of Bio-Techne | Catalog # NBP1-84937

Novus Biologicals, part of Bio-Techne
Catalog #
Availability
Size / Price
Qty
Loading...
NBP1-84937
NBP1-84937-25ul

Key Product Details

Species Reactivity

Validated:

Human, Rat

Predicted:

Mouse (100%). Backed by our 100% Guarantee.

Applications

Immunohistochemistry, Immunohistochemistry-Paraffin, Western Blot

Label

Unconjugated

Antibody Source

Polyclonal Rabbit IgG

Format

BSA Free

Concentration

Concentrations vary lot to lot. See vial label for concentration. If unlisted please contact technical services.

Product Specifications

Immunogen

This antibody was developed against Recombinant Protein corresponding to amino acids: DPKPKFQEGERVLCFHGPLLYEAKCVKVAIKDKQVKYFIHYSGWNKNWDEWVPESRVLKYVDTNLQKQRELQ

Clonality

Polyclonal

Host

Rabbit

Isotype

IgG

Description

Novus Biologicals Rabbit MRG15 Antibody - BSA Free (NBP1-84937) is a polyclonal antibody validated for use in IHC and WB. All Novus Biologicals antibodies are covered by our 100% guarantee.

Scientific Data Images for MRG15 Antibody - BSA Free

Western Blot: MRG15 Antibody [NBP1-84937]

Western Blot: MRG15 Antibody [NBP1-84937]

Western Blot: MRG15 Antibody [NBP1-84937] - Lane 1: Mouse liver tissue lysate Lane 2: Rat liver tissue lysate
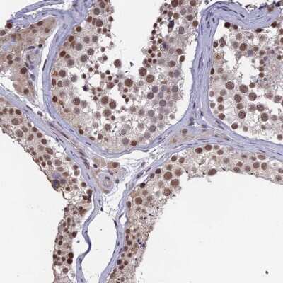
Immunohistochemistry-Paraffin: MRG15 Antibody [NBP1-84937]

Immunohistochemistry-Paraffin: MRG15 Antibody [NBP1-84937]

Immunohistochemistry-Paraffin: MRG15 Antibody [NBP1-84937] - Staining of human testis shows nuclear positivity in seminiferous ducts.
Western Blot: MRG15 Antibody [NBP1-84937]

Western Blot: MRG15 Antibody [NBP1-84937]

Western Blot: MRG15 Antibody [NBP1-84937] - Lane 1: Marker [kDa] 250, 130, 95, 72, 55, 36, 28, 17, 10. Lane 2: Human cell line RT-4. Lane 3: Human cell line U-251MG sp. Lane 4: Human plasma (IgG/HSA depleted). Lane 5: Human liver tissue

Applications for MRG15 Antibody - BSA Free

Application
Recommended Usage

Immunohistochemistry

1:50 - 1:200

Immunohistochemistry-Paraffin

1:50 - 1:200

Western Blot

0.04-0.4 ug/ml
Application Notes
For IHC-Paraffin, HIER pH 6 retrieval is recommended. Immunocytochemistry/Immunofluorescence Fixation Permeabilization: Use PFA/Triton X-100.

Formulation, Preparation, and Storage

Purification

Immunogen affinity purified

Formulation

PBS (pH 7.2) and 40% Glycerol

Format

BSA Free

Preservative

0.02% Sodium Azide

Concentration

Concentrations vary lot to lot. See vial label for concentration. If unlisted please contact technical services.

Shipping

The product is shipped with polar packs. Upon receipt, store it immediately at the temperature recommended below.

Stability & Storage

Store at 4C short term. Aliquot and store at -20C long term. Avoid freeze-thaw cycles.

Background: MRG15

MRG15 is a component of the NuA4 histone acetyltransferase (HAT) complex which is involved in transcriptional activation of select genes principally by acetylation of nucleosomal histones H4 and H2A. This modification may both alter nucleosome - DNA interactions and

Alternate Names

Eaf3, Esa1p-associated factor 3 homolog, HsT17725, MEAF3, MGC10631, MORF-related gene on chromosome 15, MORFRG15, mortality factor 4 like 1, mortality factor 4-like protein 1, MRG15MORF-related gene 15 protein, Protein MSL3-1, S863-6, Transcription factor-like protein MRG15

Gene Symbol

MORF4L1

Additional MRG15 Products

Product Documents for MRG15 Antibody - BSA Free

Certificate of Analysis

To download a Certificate of Analysis, please enter a lot number in the search box below.

Product Specific Notices for MRG15 Antibody - BSA Free

This product is for research use only and is not approved for use in humans or in clinical diagnosis. Primary Antibodies are guaranteed for 1 year from date of receipt.

Loading...
Loading...
Loading...
Loading...