Skip to main content

MRCK Antibody - BSA Free

Novus Biologicals, part of Bio-Techne | Catalog # NBP2-55964

Novus Biologicals, part of Bio-Techne
Catalog #
Availability
Size / Price
Qty
Loading...
NBP2-55964
NBP2-55964-25ul

Key Product Details

Species Reactivity

Validated:

Human

Predicted:

Mouse (90%), Rat (90%). Backed by our 100% Guarantee.

Applications

Immunocytochemistry/ Immunofluorescence, Immunohistochemistry, Immunohistochemistry-Paraffin

Label

Unconjugated

Antibody Source

Polyclonal Rabbit IgG

Format

BSA Free

Concentration

Concentrations vary lot to lot. See vial label for concentration. If unlisted please contact technical services.

Product Specifications

Immunogen

This antibody was developed against a recombinant protein corresponding to the following amino acid sequence: TRRESQSEREEFESEFKQQYEREKVLLTEENKKLTSELDKLTTLYENLSIHNQQLEEEVKD

Clonality

Polyclonal

Host

Rabbit

Isotype

IgG

Description

Novus Biologicals Rabbit MRCK Antibody - BSA Free (NBP2-55964) is a polyclonal antibody validated for use in IHC and ICC/IF. All Novus Biologicals antibodies are covered by our 100% guarantee.

Scientific Data Images for MRCK Antibody - BSA Free

Immunocytochemistry/ Immunofluorescence: MRCK Antibody [NBP2-55964]

Immunocytochemistry/ Immunofluorescence: MRCK Antibody [NBP2-55964]

Immunocytochemistry/Immunofluorescence: MRCK Antibody [NBP2-55964] - Staining of human cell line SiHa shows localization to intermediate filaments. Antibody staining is shown in green.
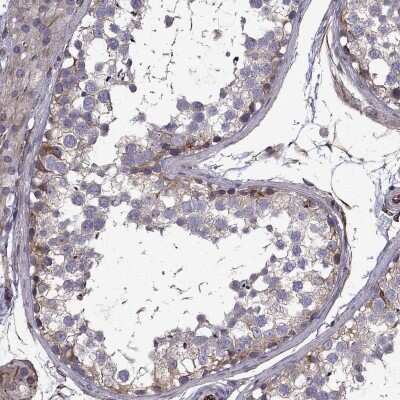
Immunohistochemistry-Paraffin: MRCK Antibody [NBP2-55964]

Immunohistochemistry-Paraffin: MRCK Antibody [NBP2-55964]

Immunohistochemistry-Paraffin: MRCK Antibody [NBP2-55964] - Staining of human testis shows moderate cytoplasmic positivity in cells in seminiferous ducts.

Applications for MRCK Antibody - BSA Free

Application
Recommended Usage

Immunocytochemistry/ Immunofluorescence

0.25-2 ug/ml

Immunohistochemistry

1:1000 - 1:2500

Immunohistochemistry-Paraffin

1:1000 - 1:2500
Application Notes
ICC/IF Fixation Permeabilization: Use PFA/Triton X-100.

Formulation, Preparation, and Storage

Purification

Affinity purified

Formulation

PBS (pH 7.2) and 40% Glycerol

Format

BSA Free

Preservative

0.02% Sodium Azide

Concentration

Concentrations vary lot to lot. See vial label for concentration. If unlisted please contact technical services.

Shipping

The product is shipped with polar packs. Upon receipt, store it immediately at the temperature recommended below.

Stability & Storage

Store at 4C short term. Aliquot and store at -20C long term. Avoid freeze-thaw cycles.

Background: MRCK

MRCK is encoded by this gene is a member of the Serine/Threonine protein kinase family. This kinase contains multiple functional domains. Its kinase domain is highly similar to that of the myotonic dystrophy protein kinase (DMPK). This kinase also contains a Rac interactive binding (CRIB) domain, and has been shown to bind CDC42. It may function as a CDC42 downstream effector mediating CDC42 induced peripheral actin formation, and promoting cytoskeletal reorganization. Multiple alternatively spliced transcript variants have been described, and the full-length nature of two of them has been reported.

Alternate Names

CDC42 binding protein kinase alpha (DMPK-like), CDC42 binidng protein kinase beta, CDC42-binding protein kinase alpha, CDC42-binding protein kinase alpha (DMPK-like), DMPK-like alpha, EC 2.7.11, EC 2.7.11.1, KIAA0451DKFZp686L1738, MRCK, MRCK alpha, MRCKADKFZp686P1738, Myotonic dystrophy kinase-related CDC42-binding kinase alpha, myotonic dystrophy kinase-related CDC42-binding protein kinase alpha, Myotonic dystrophy protein kinase-like alpha, PK428FLJ23347, serine/threonine-protein kinase MRCK alpha, ser-thr protein kinase PK428, ser-thr protein kinase related to the myotonic dystrophy protein kinase

Gene Symbol

CDC42BPA

Additional MRCK Products

Product Documents for MRCK Antibody - BSA Free

Certificate of Analysis

To download a Certificate of Analysis, please enter a lot number in the search box below.

Product Specific Notices for MRCK Antibody - BSA Free

This product is for research use only and is not approved for use in humans or in clinical diagnosis. Primary Antibodies are guaranteed for 1 year from date of receipt.

Loading...
Loading...
Loading...
Loading...