Skip to main content

MPST Antibody - BSA Free

Novus Biologicals, part of Bio-Techne | Catalog # NBP1-31115

Novus Biologicals, part of Bio-Techne
Catalog #
Availability
Size / Price
Qty
Loading...
NBP1-31115

Key Product Details

Validated by

Knockout/Knockdown, Orthogonal Validation

Species Reactivity

Validated:

Human, Mouse

Predicted:

Xenopus (92%). Backed by our 100% Guarantee.

Applications

Knockout Validated, Immunohistochemistry, Immunohistochemistry-Paraffin, Western Blot

Label

Unconjugated

Antibody Source

Polyclonal Rabbit IgG

Format

BSA Free

Concentration

Concentrations vary lot to lot. See vial label for concentration. If unlisted please contact technical services.

Product Specifications

Immunogen

Carrier-protein conjugated synthetic peptide encompassing a sequence within the C-terminus region of human MPST. The exact sequence is proprietary.

Reactivity Notes

Rhesus Monkey (86%).

Localization

Cytoplasm

Clonality

Polyclonal

Host

Rabbit

Isotype

IgG

Theoretical MW

33 kDa.
Disclaimer note: The observed molecular weight of the protein may vary from the listed predicted molecular weight due to post translational modifications, post translation cleavages, relative charges, and other experimental factors.

Description

Novus Biologicals Knockout (KO) Validated Rabbit MPST Antibody - BSA Free (NBP1-31115) is a polyclonal antibody validated for use in IHC and WB. All Novus Biologicals antibodies are covered by our 100% guarantee.

Scientific Data Images for MPST Antibody - BSA Free

Western Blot: MPST Antibody [NBP1-31115]

Western Blot: MPST Antibody [NBP1-31115]

Western Blot: MPST Antibody [NBP1-31115] - Wild-type (WT) and MPST knockout (KO) 293T cell extracts (30 ug) were separated by 12% SDS-PAGE, and the membrane was blotted with MPST antibody diluted at 1:1000. HRP-conjugated anti-rabbit IgG antibody was used to detect the primary antibody.
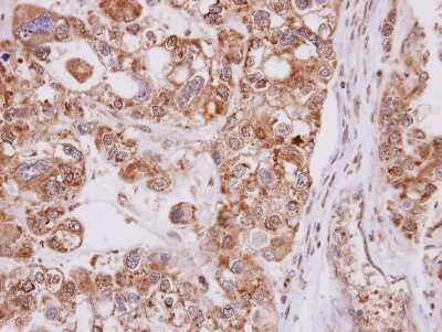
Immunohistochemistry-Paraffin: MPST Antibody [NBP1-31115]

Immunohistochemistry-Paraffin: MPST Antibody [NBP1-31115]

Immunohistochemistry-Paraffin: MPST Antibody [NBP1-31115] - Paraffin-embedded CL1-5 xenograft, using antibody at 1:100 dilution.
Western Blot: MPST Antibody [NBP1-31115]

Western Blot: MPST Antibody [NBP1-31115]

Western Blot: MPST Antibody [NBP1-31115] - Mouse tissue extract (50 ug) was separated by 12% SDS-PAGE, and the membrane was blotted with MPST antibody [C2C3], C-term diluted at 1:500.

Applications for MPST Antibody - BSA Free

Application
Recommended Usage

Immunohistochemistry

1:100-1:1000

Immunohistochemistry-Paraffin

1:100-1:1000

Western Blot

1:500-1:3000

Formulation, Preparation, and Storage

Purification

Antigen Affinity-purified

Formulation

0.1M Tris, 0.1M Glycine, 10% Glycerol

Format

BSA Free

Preservative

0.01% Thimerosal

Concentration

Concentrations vary lot to lot. See vial label for concentration. If unlisted please contact technical services.

Shipping

The product is shipped with polar packs. Upon receipt, store it immediately at the temperature recommended below.

Stability & Storage

Aliquot and store at -20C or -80C. Avoid freeze-thaw cycles.

Background: MPST

This gene encodes a protein which can function as a monomer or as a disulfide-linked homodimer and which catalyzes the transfer of a sulfur ion from 3-mercaptopyruvate to cyanide or other thiol compounds. It may be involved in cyanide degradation and in thiosulfate biosynthesis. The encoded cytoplasmic protein is a member of the rhodanese family but is not rhodanese itself, which is a mitochondrial protein. Alternatively spliced transcript variants encoding the same protein have been identified.

Alternate Names

mercaptopyruvate sulfurtransferase, MGC24539, MSThuman liver rhodanese, TST2EC 2.8.1.2,3-mercaptopyruvate sulfurtransferase

Gene Symbol

MPST

Additional MPST Products

Product Documents for MPST Antibody - BSA Free

Certificate of Analysis

To download a Certificate of Analysis, please enter a lot number in the search box below.

Product Specific Notices for MPST Antibody - BSA Free

This product is for research use only and is not approved for use in humans or in clinical diagnosis. Primary Antibodies are guaranteed for 1 year from date of receipt.

Loading...
Loading...
Loading...
Loading...

⚠ WARNING: This product can expose you to chemicals including mercury, which is known to the State of California to cause reproductive toxicity with developmental effects.  For more information go to www.P65Warnings.ca.gov.