Skip to main content

mpp8 Antibody - BSA Free

Novus Biologicals, part of Bio-Techne | Catalog # NBP1-92135

Novus Biologicals, part of Bio-Techne
Catalog #
Availability
Size / Price
Qty
Loading...
NBP1-92135
NBP1-92135-25ul

Key Product Details

Validated by

Orthogonal Validation, Independent Antibodies

Species Reactivity

Human

Applications

Immunohistochemistry, Immunohistochemistry-Paraffin, Western Blot, Immunocytochemistry/ Immunofluorescence

Label

Unconjugated

Antibody Source

Polyclonal Rabbit IgG

Format

BSA Free

Concentration

Concentrations vary lot to lot. See vial label for concentration. If unlisted please contact technical services.

Product Specifications

Immunogen

This antibody was developed against Recombinant Protein corresponding to amino acids: GLEHGFEKPLDSAMSAEEDTDVRGRRKKKTPRKAEDTRENRKLENKNAFLEKKTVPKKQRNQDRSKSAAELEKLMPVSAQTPKGRRLSGEERGLWSTDSAEEDKETKRNESKE

Clonality

Polyclonal

Host

Rabbit

Isotype

IgG

Description

Novus Biologicals Rabbit mpp8 Antibody - BSA Free (NBP1-92135) is a polyclonal antibody validated for use in IHC, WB and ICC/IF. All Novus Biologicals antibodies are covered by our 100% guarantee.

Scientific Data Images for mpp8 Antibody - BSA Free

Immunocytochemistry/ Immunofluorescence: mpp8 Antibody [NBP1-92135]

Immunocytochemistry/ Immunofluorescence: mpp8 Antibody [NBP1-92135]

Immunocytochemistry/Immunofluorescence: mpp8 Antibody [NBP1-92135] - Staining of human cell line U-2 OS shows localization to nucleus, nucleoli and plasma membrane.
Immunohistochemistry-Paraffin: mpp8 Antibody [NBP1-92135]

Immunohistochemistry-Paraffin: mpp8 Antibody [NBP1-92135]

Immunohistochemistry-Paraffin: mpp8 Antibody [NBP1-92135] - Staining of human testis shows strong nuclear positivity in cells in seminiferous ducts.
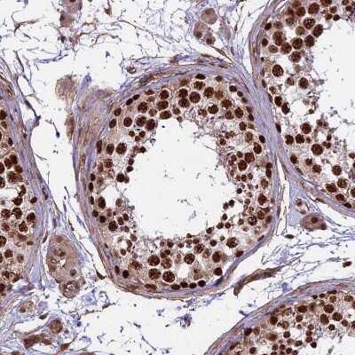
Immunohistochemistry-Paraffin: mpp8 Antibody [NBP1-92135]

Immunohistochemistry-Paraffin: mpp8 Antibody [NBP1-92135]

Immunohistochemistry-Paraffin: mpp8 Antibody [NBP1-92135] - Staining of human testis shows strong nuclear positivity in cells in seminiferous ducts and Leydig cells.

Applications for mpp8 Antibody - BSA Free

Application
Recommended Usage

Immunocytochemistry/ Immunofluorescence

0.25-2 ug/ml

Immunohistochemistry

1:500 - 1:1000

Immunohistochemistry-Paraffin

1:500 - 1:1000

Western Blot

0.04-0.4 ug/ml
Application Notes
For IHC-Paraffin, HIER pH 6 retrieval is recommended. Immunocytochemistry/Immunofluorescence Fixation Permeabilization: Use PFA/Triton X-100.

Formulation, Preparation, and Storage

Purification

Immunogen affinity purified

Formulation

PBS (pH 7.2) and 40% Glycerol

Format

BSA Free

Preservative

0.02% Sodium Azide

Concentration

Concentrations vary lot to lot. See vial label for concentration. If unlisted please contact technical services.

Shipping

The product is shipped with polar packs. Upon receipt, store it immediately at the temperature recommended below.

Stability & Storage

Store at 4C short term. Aliquot and store at -20C long term. Avoid freeze-thaw cycles.

Background: mpp8

Alternate Names

FLJ35237, HSMPP8, M-phase phosphoprotein 8, M-phase phosphoprotein, mpp, M-phase phosphoprotein, mpp8, mpp8, TWA3, Two hybrid-associated protein 3 with RanBPM

Gene Symbol

MPHOSPH8

Additional mpp8 Products

Product Documents for mpp8 Antibody - BSA Free

Certificate of Analysis

To download a Certificate of Analysis, please enter a lot number in the search box below.

Product Specific Notices for mpp8 Antibody - BSA Free

This product is for research use only and is not approved for use in humans or in clinical diagnosis. Primary Antibodies are guaranteed for 1 year from date of receipt.

Loading...
Loading...
Loading...
Loading...