Skip to main content

Key Product Details

Species Reactivity

Validated:

Mouse

Cited:

Human, Mouse, Rat, Transgenic Mouse

Applications

Validated:

Immunohistochemistry, Western Blot, Flow Cytometry, Simple Western, CyTOF-ready

Cited:

Immunohistochemistry, Immunohistochemistry-Paraffin, Immunohistochemistry-Frozen, Western Blot, Neutralization, Cell Selection, In vivo assay

Label

Unconjugated

Antibody Source

Polyclonal Goat IgG

Product Specifications

Immunogen

Mouse myeloma cell line NS0-derived recombinant mouse VCAM‑1/CD106
Phe25-Glu698
Accession # P29533

Specificity

Detects mouse VCAM‑1/CD106 in direct ELISAs and Western blots.  In direct ELISA and Western blots, approximately 5% cross-reactivity with recombinant human VCAM-1 is observed.

Clonality

Polyclonal

Host

Goat

Isotype

IgG

Endotoxin Level

<0.10 EU per 1 μg of the antibody by the LAL method.

Scientific Data Images for Mouse VCAM-1/CD106 Antibody

Detection of Mouse VCAM-1/CD106 antibody by Western Blot.

Detection of Mouse VCAM‑1/CD106 by Western Blot.

Western blot shows lysates of 3T3-L1 mouse embryonic fibroblast adipose-like cell line and NIH-3T3 mouse embryonic fibroblast cell line. PVDF membrane was probed with 0.25 µg/mL of Goat Anti-Mouse VCAM-1/CD106 Antigen Affinity-purified Polyclonal Antibody (Catalog # AF643) followed by HRP-conjugated Anti-Goat IgG Secondary Antibody (HAF017). A specific band was detected for VCAM-1/CD106 at approximately 95 kDa (as indicated). This experiment was conducted under reducing conditions and using Immunoblot Buffer Group 1.
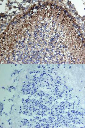
VCAM-1/CD106 antibody in Mouse Embryo by Immunohistochemistry (IHC-Fr).

VCAM‑1/CD106 in Mouse Embryo.

VCAM-1/CD106 was detected in immersion fixed frozen sections of mouse embryo using Goat Anti-Mouse VCAM-1/CD106 Antigen Affinity-purified Polyclonal Antibody (Catalog # AF643) at 15 µg/mL overnight at 4 °C. Tissue was stained using the Anti-Goat HRP-DAB Cell & Tissue Staining Kit (brown; CTS008) and counterstained with hematoxylin (blue). Lower panel shows a lack of labeling if primary antibodies are omitted and tissue is stained only with secondary antibody followed by incubation with detection reagents. View our protocol for Chromogenic IHC Staining of Frozen Tissue Sections.
Detection of VCAM-1/CD106 antibody in Mouse Bone Marrow Cells antibody by Flow Cytometry.

Detection of VCAM‑1/CD106 in Mouse Bone Marrow Cells by Flow Cytometry.

Mouse bone marrow cells were stained with Goat Anti-Mouse VCAM-1/CD106 Antigen Affinity-purified Polyclonal Antibody (Catalog # AF643, filled histogram) or control antibody (AB-108-C, open histogram), followed by Phycoerythrin-conjugated Anti-Goat IgG Secondary Antibody (F0107).

Applications for Mouse VCAM-1/CD106 Antibody

Application
Recommended Usage

CyTOF-ready

Ready to be labeled using established conjugation methods. No BSA or other carrier proteins that could interfere with conjugation.

Flow Cytometry

0.25 µg/106 cells
Sample: Mouse bone marrow cells and bEND.3 cells

Immunohistochemistry

5-15 µg/mL
Sample: Perfusion fixed frozen sections of rat brain (cerebellum) and immersion fixed frozen sections of mouse embryo

Simple Western

1 µg/mL
Sample: C2C12 mouse myoblast cell line and 3T3‑L1 mouse embryonic fibroblast adipose-like cell line

Western Blot

0.25 µg/mL
Sample: 3T3‑L1 mouse embryonic fibroblast adipose-like cell line and C2C12 mouse myoblast cell line

Reviewed Applications

Read 5 reviews rated 3.6 using AF643 in the following applications:

Formulation, Preparation, and Storage

Purification

Antigen Affinity-purified

Reconstitution

Reconstitute at 0.2 mg/mL in sterile PBS. For liquid material, refer to CoA for concentration.

Reconstitution Buffer Available:
Size / Price
Qty
Loading...

Formulation

Lyophilized from a 0.2 μm filtered solution in PBS with Trehalose. *Small pack size (SP) is supplied either lyophilized or as a 0.2 µm filtered solution in PBS.

Shipping

Lyophilized product is shipped at ambient temperature. Liquid small pack size (-SP) is shipped with polar packs. Upon receipt, store immediately at the temperature recommended below.

Stability & Storage

Use a manual defrost freezer and avoid repeated freeze-thaw cycles.
  • 12 months from date of receipt, -20 to -70 °C as supplied.
  • 1 month, 2 to 8 °C under sterile conditions after reconstitution.
  • 6 months, -20 to -70 °C under sterile conditions after reconstitution.

Background: VCAM-1/CD106

VCAM-1 (CD106), a member of the immunoglobulin superfamily, is a cell surface protein expressed by activated endothelial cells and certain leukocytes (such as macrophages). VCAM-1 expression is induced by IL-1 beta, IL-4, TNF-alpha and IFN-gamma. VCAM-1 binds to leukocyte integrins VLA-4 and alpha4 beta7. The human and mouse VCAM-1 proteins share approximately 76% amino acid similarity.

During the inflammatory adhesion mechanism, activated integrins halt rolling leukocytes and attach them firmly to the vascular endothelium. They do this by binding to their ligands, for example VCAM-1, on endothelium. The VCAM-1: VLA-4/ alpha4 beta7 interaction is also thought to be involved in the extravasation of white blood cells through the blood vessel wall to sites of inflammation.

ELISA techniques have shown that detectable levels of soluble VCAM-1 are present in the biological fluids of apparently normal individuals. Furthermore, a number of studies have reported that levels of VCAM-1 may be elevated or lowered in subjects with a variety of pathological conditions.

Long Name

Vascular Cell Adhesion Molecule 1

Alternate Names

CD106, VCAM1

Entrez Gene IDs

7412 (Human); 22329 (Mouse)

Gene Symbol

VCAM1

UniProt

Additional VCAM-1/CD106 Products

Product Documents for Mouse VCAM-1/CD106 Antibody

Certificate of Analysis

To download a Certificate of Analysis, please enter a lot number in the search box below.

Note: Certificate of Analysis not available for kit components.

Product Specific Notices for Mouse VCAM-1/CD106 Antibody

For research use only

Loading...
Loading...
Loading...
Loading...
Loading...