Mouse Trypsin 3/PRSS3 Antibody
R&D Systems, part of Bio-Techne | Catalog # MAB3565
Conjugate
Catalog #
Key Product Details
Species Reactivity
Mouse
Applications
Immunohistochemistry
Label
Unconjugated
Antibody Source
Monoclonal Rat IgG1 Clone # 419911
Product Specifications
Immunogen
Mouse myeloma cell line NS0-derived recombinant mouse Trypsin 3/PRSS3
Phe16-Asn246
Accession # NP_035775
Phe16-Asn246
Accession # NP_035775
Specificity
Detects mouse Trypsin 3/PRSS3 in direct ELISAs.
Clonality
Monoclonal
Host
Rat
Isotype
IgG1
Scientific Data Images for Mouse Trypsin 3/PRSS3 Antibody
Trypsin 3/PRSS3 in Mouse Pancreas.
Trypsin 3/PRSS3 was detected in perfusion fixed frozen sections of mouse pancreas using 25 µg/mL Rat Anti-Mouse Trypsin 3/PRSS3 Monoclonal Antibody (Catalog # MAB3565) overnight at 4 °C. Tissue was stained with the Anti-Rat HRP-DAB Cell & Tissue Staining Kit (brown; Catalog # CTS017) and counterstained with hematoxylin (blue). View our protocol for Chromogenic IHC Staining of Frozen Tissue Sections.Trypsin 3/PRSS3 in Mouse Kidney.
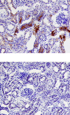
Trypsin 3/PRSS3 was detected in perfusion fixed frozen sections of mouse kidney using 25 µg/mL Rat Anti-Mouse Trypsin 3/ PRSS3 Monoclonal Antibody (Catalog # MAB3565) overnight at 4 °C. Tissue was stained with the Anti-Rat HRP-DAB Cell & Tissue Staining Kit (brown; Catalog # CTS017) and counterstained with hematoxylin (blue). Lower panel shows a lack of labeling if primary antibodies are omitted and tissue is stained only with secondary antibody followed by incubation with detection reagents. View our protocol for Chromogenic IHC Staining of Frozen Tissue Sections.Applications for Mouse Trypsin 3/PRSS3 Antibody
Application
Recommended Usage
Immunohistochemistry
8-25 µg/mL
Sample: Perfusion fixed frozen sections of mouse kidney and pancreas
Sample: Perfusion fixed frozen sections of mouse kidney and pancreas
Formulation, Preparation, and Storage
Purification
Protein A or G purified from hybridoma culture supernatant
Reconstitution
Reconstitute at 0.5 mg/mL in sterile PBS. For liquid material, refer to CoA for concentration.
Formulation
Lyophilized from a 0.2 μm filtered solution in PBS with Trehalose. *Small pack size (SP) is supplied either lyophilized or as a 0.2 µm filtered solution in PBS.
Shipping
Lyophilized product is shipped at ambient temperature. Liquid small pack size (-SP) is shipped with polar packs. Upon receipt, store immediately at the temperature recommended below.
Stability & Storage
Use a manual defrost freezer and avoid repeated freeze-thaw cycles.
- 12 months from date of receipt, -20 to -70 °C as supplied.
- 1 month, 2 to 8 °C under sterile conditions after reconstitution.
- 6 months, -20 to -70 °C under sterile conditions after reconstitution.
Background: Trypsin 3/PRSS3
Mouse Trypsin 3, encoded by the PRSS3 gene, is also known as mesotrypsin. It consists of a signal peptide (residues 1 to 15), a pro region (residues 16 to 23), and a mature chain (residues 24 to 246) (1). The purified recombinant mouse Trypsin 3 corresponds to the pro form, which can be activated by enterokinase.
References
- Halfon, S. et al. (2004) in Handbook of Proteolytic Enzymes (ed. Barrett, A.J. et al.) pp. 1483, Academic Press, San Diego.
Alternate Names
Mesotrypsin, MTG, PRSS3, PRSS4, Trypsin 4, Trypsinogen 15
Gene Symbol
PRSS3
UniProt
Additional Trypsin 3/PRSS3 Products
Product Documents for Mouse Trypsin 3/PRSS3 Antibody
Product Specific Notices for Mouse Trypsin 3/PRSS3 Antibody
For research use only
Loading...
Loading...
Loading...
Loading...