Skip to main content

Mouse TGF-beta 2 Antibody

R&D Systems, part of Bio-Techne | Catalog # MAB73461

Key Product Details

Validated by

Biological Validation

Species Reactivity

Validated:

Mouse

Cited:

Human, Mouse

Applications

Validated:

Immunohistochemistry, Western Blot

Cited:

Immunohistochemistry, Western Blot

Label

Unconjugated

Antibody Source

Monoclonal Rat IgG2B Clone # 771244

Product Specifications

Immunogen

Chinese hamster ovary cell line CHO-derived recombinant mouse TGF-beta 2
Ala303-Ser414
Accession # P27090

Specificity

Detects mouse TGF‑ beta2 in ELISAs and Western blots. In direct ELISAs, 100% cross‑reactivity with recombinant human (rh) TGF‑ beta2, 25% cross‑reactivity with rhTGF‑ beta3, and no cross‑reactivity with recombinant mouse TGF‑ beta1 is observed.

Clonality

Monoclonal

Host

Rat

Isotype

IgG2B

Scientific Data Images for Mouse TGF-beta 2 Antibody

Detection of Human and Mouse TGF-beta 2 antibody by Western Blot.

Detection of Human and Mouse TGF‑ beta2 by Western Blot.

Western blot shows lysates of Y-79 human retinoblastoma cell line, HUVEC human umbilical vein endothelial cells, NIH-3T3 mouse embryonic fibroblast cell line, 4T1 mouse breast cancer cell line, and NMuMG mouse mammary gland epithelial cell line. PVDF membrane was probed with 2 µg/mL of Rat Anti-Mouse TGF-beta 2 Monoclonal Antibody (Catalog # MAB73461) followed by HRP-conjugated Anti-Rat IgG Secondary Antibody (Catalog # HAF005). A specific band was detected for TGF-beta 2 at approximately 52 kDa (as indicated). This experiment was conducted under reducing conditions and using Immunoblot Buffer Group 1.
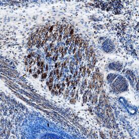
TGF-beta 2 antibody in Mouse Embryo by Immunohistochemistry (IHC-Fr).

TGF‑ beta2 in Mouse Embryo.

TGF-beta 2 was detected in immersion fixed frozen sections of mouse embryo (15 d.p.c.) using Rat Anti-Mouse TGF-beta 2 Monoclonal Antibody (Catalog # MAB73461) at 25 µg/mL overnight at 4 °C. Tissue was stained using the Anti-Rat HRP-DAB Cell & Tissue Staining Kit (brown; Catalog # CTS017) and counterstained with hematoxylin (blue). Specific staining was localized to neuronal processes. View our protocol for Chromogenic IHC Staining of Frozen Tissue Sections.
Detection of Human TGF-beta 2 by Western Blot

Detection of Human TGF-beta 2 by Western Blot

LOXL2 acts with TGF-beta through PI3K/ATK/mTORC1 signalling to control myofibroblast transformation and migration.(a) Western blot analysis of LOXL2, SMAD2, p-SMAD2 and GAPDH in human primary cardiac fibroblasts transfected with control (Ctrl) or LOXL2 siRNA. (b) Quantification of TGF-beta isoforms in the culture media of human primary cardiac fibroblasts transfected with control or LOXL2 siRNA (n=4). P value: Student's t-test. Error bar: s.e.m. (c) Changes of COLA1, alpha-SMA and FN1 mRNA in human primary cardiac fibroblasts transfected with control (Ctrl) or LOXL2 siRNA. (d) Western blot of LOXL2, p-AKT, AKT, p-S6K, S6K and p-4E-BP1 with or without PI3K inhibitors LY294002/PI828 (10 μM each), PI3K alpha inhibitors A66/BYL719 and mTORC1 inhibitor Rapamycine (0.1 μM) in cells infected with Ad_GFP/Ad_LOXL2. (e) TGF-beta 2 protein in the culture media (n=4). P value: Student's t-test. Error bar: s.e.m. (f,g) Western blot (f) and quantification (g) of TGF-beta 2 protein in the mice heart ventricles 6 weeks after sham/TAC operation. n=4 mice per group. P value: Student's t-test. Error bar: s.e.m. (h) A signalling cascade from LOXL2 to PI3K/AKT/mTORC1 to TGF-beta 2 translation. (i) Representative phase-contrast image of human primary cardiac fibroblasts 72 h after transfection with control (Ctrl) or LOXL2 siRNA. Scale bars, 50 μm. (j) Immunostaining of Col1A in IgG1- or alpha-LOXL2-treated mice 10 weeks (10W) after sham or TAC operation. Scale bars, 100 μm. Blue: haematoxylin. Brown: Col1A. (k,l) Gap closure assay of fibroblast migration in control, TGF-beta 2, alpha-LOXL2 (k) groups and quantification of cells migrating into the gap (l). Scale bars, 200 μm. n=5–10, P value: Student's t-test. Error bar: s.e.m. Image collected and cropped by CiteAb from the following publication (https://pubmed.ncbi.nlm.nih.gov/27966531), licensed under a CC-BY license. Not internally tested by R&D Systems.

Applications for Mouse TGF-beta 2 Antibody

Application
Recommended Usage

Immunohistochemistry

8-25 µg/mL
Sample:

Immersion fixed frozen sections of mouse embryo (15 d.p.c.)

Western Blot

2 µg/mL
Sample: Y‑79 human retinoblastoma cell line, HUVEC human umbilical vein endothelial cells, NIH‑3T3 mouse embryonic fibroblast cell line, 4T1 mouse breast cancer cell line, and NMuMG mouse mammary gland epithelial cell line

Formulation, Preparation, and Storage

Purification

Protein A or G purified from hybridoma culture supernatant

Reconstitution

Sterile PBS to a final concentration of 0.5 mg/mL. For liquid material, refer to CoA for concentration.

Reconstitution Buffer Available:
Size / Price
Qty
Loading...

Formulation

Lyophilized from a 0.2 μm filtered solution in PBS with Trehalose. *Small pack size (SP) is supplied either lyophilized or as a 0.2 µm filtered solution in PBS.

Shipping

Lyophilized product is shipped at ambient temperature. Liquid small pack size (-SP) is shipped with polar packs. Upon receipt, store immediately at the temperature recommended below.

Stability & Storage

Use a manual defrost freezer and avoid repeated freeze-thaw cycles.
  • 12 months from date of receipt, -20 to -70 °C as supplied.
  • 1 month, 2 to 8 °C under sterile conditions after reconstitution.
  • 6 months, -20 to -70 °C under sterile conditions after reconstitution.

Background: TGF-beta 2

TGF-beta 2 (transforming growth factor beta 2) is one of three closely related mammalian members of the large TGF-beta  superfamily that share a characteristic cysteine knot structure. TGF-beta 1, -2 and -3 are highly pleiotropic cytokines proposed to act as cellular switches that regulate processes such as immune function, proliferation and epithelial-mesenchymal transition. Each TGF-beta isoform has some non-redundant functions; for TGF-beta 2, mice with targeted deletion show defects in development of cardiac, lung, craniofacial, limb, eye, ear and urogenital systems. Mouse TGF-beta 2 cDNA encodes a 414 amino acid (aa) precursor that contains a 19 aa signal peptide and a 395 aa proprotein. A furin-like convertase processes the proprotein to generate an N-terminal 283 aa latency-associated peptide (LAP) and a C-terminal 112 aa mature TGF-  beta2. Disulfide-linked homodimers of LAP and TGF-beta 2 remain non-covalently associated after secretion, forming the small latent TGF-beta 2 complex. Covalent linkage of LAP to one of three latent TGF-beta binding proteins (LTBPs) creates a large latent complex that may interact with the extracellular matrix. TGF-beta is activated from latency by pathways that include actions of the protease plasmin, matrix metalloproteases, thrombospondin 1 and a subset of integrins. Mature mouse TGF-beta 2 shares 100% aa identity with rat TGF-beta 2, and 97% aa identity with human, porcine, canine, equine and bovine TGF-beta 2. It demonstrates cross-species activity. In most cells, TGF-beta 2 signaling begins with binding to a complex of the accessory receptor betaglycan (also known as TGF-beta  RIII) and a type II ser/thr kinase receptor termed TGF-beta  RII, which then phosphorylates and activates another ser/thr kinase receptor, TGF-beta  RI (also called activin receptor-like kinase (ALK) -5), or alternatively, ALK-1. The whole complex phosphorylates and activates Smad proteins that regulate transcription. In bone -related cells, however, TGF-beta 2 also signals through TGF-beta RIIB (a splice variant of TGF-beta RII), independently of TGF-beta RIII. Use of other signaling pathways that are Smad-independent allows for disparate actions observed in response to TGF-beta in different contexts.

Long Name

Transforming Growth Factor beta 2

Alternate Names

TGFB2, TGFbeta 2

Entrez Gene IDs

7042 (Human); 21808 (Mouse); 397084 (Porcine)

Gene Symbol

TGFB2

UniProt

Additional TGF-beta 2 Products

Product Documents for Mouse TGF-beta 2 Antibody

Certificate of Analysis

To download a Certificate of Analysis, please enter a lot number in the search box below.

Note: Certificate of Analysis not available for kit components.

Product Specific Notices for Mouse TGF-beta 2 Antibody

For research use only

Loading...
Loading...
Loading...
Loading...
Loading...