Skip to main content

Key Product Details

Species Reactivity

Validated:

Mouse

Cited:

Human, Mouse

Applications

Validated:

Immunohistochemistry, Western Blot

Cited:

Western Blot, Flow Cytometry

Label

Unconjugated

Antibody Source

Polyclonal Sheep IgG

Product Specifications

Immunogen

Mouse myeloma cell line NS0-derived recombinant mouse RGM-B
Gly49-Ser414
Accession # Q7TQ33

Specificity

Detects mouse RGM-B in direct ELISAs and Western blots. In direct ELISAs and Western blots, less than 5% cross-reactivity with recombinant mouse (rm) RGM-A and rmRGM-C is observed.

Clonality

Polyclonal

Host

Sheep

Isotype

IgG

Scientific Data Images for Mouse RGM-B Antibody

RGM-B antibody in Mouse Brain by Immunohistochemistry (IHC-Fr).

RGM-B in Mouse Brain.

RGM-B was detected in perfusion fixed frozen sections of mouse brain (trigeminal ganglia) using 1.7 µg/mL Sheep Anti-Mouse RGM-B Antigen Affinity-purified Polyclonal Antibody (Catalog # AF3597) overnight at 4 °C. Tissue was stained with the Anti-Sheep HRP-DAB Cell & Tissue Staining Kit (brown; Catalog # CTS019) and counterstained with hematoxylin (blue). View our protocol for Chromogenic IHC Staining of Frozen Tissue Sections.
Detection of RGM-B by Immunohistochemistry

Detection of RGM-B by Immunohistochemistry

Subregion-specific expression of RGMs and Neogenin in the hippocampus.In situ hybridization (A–C, J–L) and immunohistochemistry (D–I, M–O) on coronal mouse brain sections at E16.5 (A–I) and P5 (J–O). Sections in D–I and M–O are counterstained in blue with fluorescent Nissl. (A–F) RGMa mRNA and protein are expressed in the ventricular zone (VZ), dentate gyrus (DG) and cornu ammonis (CA) region. Strong expression of RGMb mRNA and protein is detected in the pial surface lining the hippocampal fissure (HF). Neogenin transcripts and protein are widely expressed in the developing hippocampus (Hip). (G–I) Immunostaining with isotype matched controls. (J–L) In situ hybridization at P5 shows strong but differential expression patterns of RGMa, RGMb and Neogenin in the CA pyramidal cell layers (Pyr). In addition, strong expression of Neogenin is detected in the granular layer (GC) of the DG. (M–O) Immunohistochemistry reveals expression of RGMa and weak expression of RGMb in the stratum lacunosum moleculare (SLM) and fimbria (FIM). Neogenin strongly labels different hippocampal layers. CX, cortex; Hb, habenula; HC, hippocampal commissure; PO, polymorph layer; SO, stratum oriens; SR, stratum radiatum; Th, thalamus. Scale bar A–C: 400 µm, D–F: 300 µm, G–I: 300 µm, J–L: 500 µm and M–O: 400 µm. Image collected and cropped by CiteAb from the following open publication (https://pubmed.ncbi.nlm.nih.gov/23457482), licensed under a CC-BY license. Not internally tested by R&D Systems.
Detection of RGM-B by Immunohistochemistry

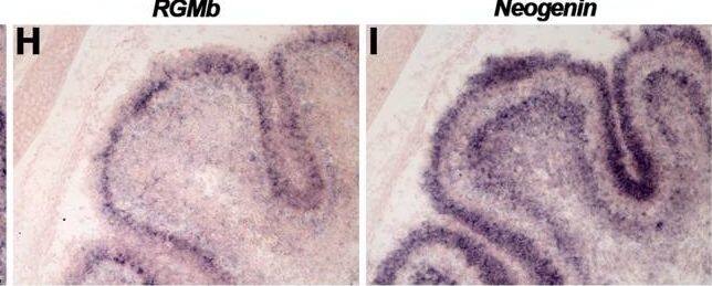
Detection of RGM-B by Immunohistochemistry

Differential expression of RGMs and Neogenin in the cerebellum.In situ hybridization (A–C, G–I, M–O) and immunohistochemistry (D–F, J–L, P–R) on coronal mouse brain sections at E16.5 (A–F), P5 (G–L) and in the adult (M–R). (A–I, M–O) In situ hybridization and immunohistochemistry reveals strong and broad expression of RGMa, RGMb and Neogenin in the cerebellum (CB). (J–L) Immunostaining shows expression of RGMa and Neogenin in all cerebellar layers at P5. RGMb is expressed in the internal granular layer (IGL), Purkinje cell layer (PCL) and external granular layer (EGL). (P–R) In the adult, RGMa, RGMb and Neogenin protein are expressed in Purkinje cells (PCs) and axons in the granular cell layer (GCL), PCL and molecular layer (ML). Neogenin strongly labels PC dendrites in the ML. DCN, deep cerebellar nuclei; WM, white matter; VZ, ventricular zone. Scale bar A–C: 300 µm, D–F: 250 µm, G–I: 150 µm, J–L: 150 µm, M–O: 100 µm and P–R: 50 µm. Image collected and cropped by CiteAb from the following open publication (https://pubmed.ncbi.nlm.nih.gov/23457482), licensed under a CC-BY license. Not internally tested by R&D Systems.

Applications for Mouse RGM-B Antibody

Application
Recommended Usage

Immunohistochemistry

5-15 µg/mL
Sample: Perfusion fixed frozen sections of mouse brain (trigeminal ganglia)

Western Blot

0.1 µg/mL
Sample: Recombinant Mouse RGM-B (Catalog # 3597-RG)

Formulation, Preparation, and Storage

Purification

Antigen Affinity-purified

Reconstitution

Reconstitute at 0.2 mg/mL in sterile PBS. For liquid material, refer to CoA for concentration.

Reconstitution Buffer Available:
Size / Price
Qty
Loading...

Formulation

Lyophilized from a 0.2 μm filtered solution in PBS with Trehalose. See Certificate of Analysis for details.
*Small pack size (-SP) is supplied either lyophilized or as a 0.2 µm filtered solution in PBS.

Shipping

Lyophilized product is shipped at ambient temperature. Liquid small pack size (-SP) is shipped with polar packs. Upon receipt, store immediately at the temperature recommended below.

Stability & Storage

Use a manual defrost freezer and avoid repeated freeze-thaw cycles.
  • 12 months from date of receipt, -20 to -70 °C as supplied.
  • 1 month, 2 to 8 °C under sterile conditions after reconstitution.
  • 6 months, -20 to -70 °C under sterile conditions after reconstitution.

Background: RGM-B

RGM-B, also known as DRAGON, is a 40 kDa member of the repulsive guidance molecule (RGM) family of GPI-linked neuronal and muscle membrane proteins (1, 2). It is synthesized as a preproprotein that consists of a 48 amino acid (aa) signal sequence, a 367 aa mature region, and a 21 aa C-terminal prosegment (3). RGM-B contains two potential N-linked glycosylation sites and an abbreviated von Willebrand factor domain. Potential proteolytic cleavage within the VWF domain is supported by R&D Systems’ in house data (4). Within the region following the VWF domain, mouse RGM-B shares 49% and 43% aa sequence identity with RGM-A and RGM-C, respectively. It shares 90%, 79%, 92%, and 93% aa sequence identity with bovine, chicken, human, and rhesus macaque RGM-B, respectively. RGM-B is expressed in the developing and adult nervous system, particularly in the dorsal root ganglia and mantle layer of the spinal cord (3-5). In mouse, it shows a complementary, non-overlapping distribution with RGM-A (2-5). RGM-B is also expressed in fetal and adult enteric ganglia and in postnatal intestinal epithelium (6). RGM-B expression has been detected in neuronal cell bodies and proximal axonal segments (4) but is also present on the cell surface, where it interacts homophilically and mediates neuronal adhesion (3). RGM-B additionally functions as a BMP coreceptor. It directly binds BMP-2 and -4 but not other TGF-beta family proteins (7). RGM-B associates with BMP type I (ALK-2, -3, -6) and type II (Activin RIIA, Activin RIIB) receptors and enhances BMP signaling (7).

References

  1. Monnier, P.P. et al. (2002) Nature 419:392.
  2. Schmidtmer, J. and D. Engelkamp (2004) Gene Exp. Patterns 4:105.
  3. Samad, T.A. et al. (2004) J. Neurosci. 24:2027.
  4. Niederkofler, V. et al. (2004) J. Neurosci. 24:808.
  5. Oldekamp, J. et al. (2004) Gene Exp. Patterns 4:283.
  6. Metzger, M. et al. (2005) Dev. Dyn. 234:169.
  7. Samad, T.A. et al. (2005) J. Biol. Chem. 280:14122.

Long Name

Repulsive Guidance Molecule B

Alternate Names

Dragon, RGMB

Entrez Gene IDs

285704 (Human); 68799 (Mouse)

Gene Symbol

RGMB

UniProt

Additional RGM-B Products

Product Documents for Mouse RGM-B Antibody

Certificate of Analysis

To download a Certificate of Analysis, please enter a lot number in the search box below.

Note: Certificate of Analysis not available for kit components.

Product Specific Notices for Mouse RGM-B Antibody

For research use only

Loading...
Loading...
Loading...
Loading...