Skip to main content

Key Product Details

Species Reactivity

Mouse, Rat

Applications

Immunohistochemistry, Western Blot

Label

Biotin

Antibody Source

Polyclonal Goat IgG

Product Specifications

Immunogen

E. coli-derived recombinant rat Growth Hormone
Leu27-Phe216
Accession # P01244

Specificity

Detects rat Growth Hormone in Western blots. In this format, approximately 10% cross-reactivity with recombinant human Growth Hormone is observed.

Clonality

Polyclonal

Host

Goat

Isotype

IgG

Scientific Data Images for Mouse/Rat Growth Hormone Biotinylated Antibody

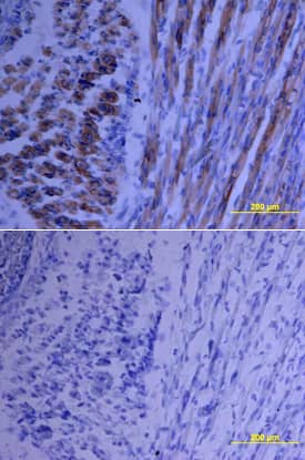
Growth Hormone antibody in Rat Pituitary by Immunohistochemistry (IHC-Fr).

Growth Hormone in Rat Pituitary.

Growth Hormone was detected in perfusion fixed frozen sections of rat pituitary using Goat Anti-Rat Growth Hormone Biotinylated Antigen Affinity-purified Polyclonal Antibody (Catalog # BAF1566) at 15 µg/mL overnight at 4 °C. Tissue was stained using the Anti-Goat HRP-DAB Cell & Tissue Staining Kit (brown; Catalog # CTS008) and counterstained with hematoxylin (blue). Lower panel shows a lack of labeling if primary antibodies are omitted and tissue is stained only with secondary antibody followed by incubation with detection reagents. View our protocol for Chromogenic IHC Staining of Frozen Tissue Sections.
Growth Hormone antibody in Mouse Embryo by Immunohistochemistry (IHC-Fr).

Growth Hormone in Mouse Embryo.

Growth Hormone was detected in immersion fixed frozen sections of mouse embryo using Goat Anti-Rat Growth Hormone Biotinylated Antigen Affinity-purified Polyclonal Antibody (Catalog # BAF1566) at 15 µg/mL overnight at 4 °C. Tissue was stained using the Anti-Goat HRP-DAB Cell & Tissue Staining Kit (brown; Catalog # CTS008) and counterstained with hematoxylin (blue). Lower panel shows a lack of labeling if primary antibodies are omitted and tissue is stained only with secondary antibody followed by incubation with detection reagents. View our protocol for Chromogenic IHC Staining of Frozen Tissue Sections.

Applications for Mouse/Rat Growth Hormone Biotinylated Antibody

Application
Recommended Usage

Immunohistochemistry

5-15 µg/mL
Sample: Immersion fixed frozen sections of mouse embryo (E13-15) and perfusion fixed frozen sections of rat pituitary

Western Blot

0.1 µg/mL
Sample: Recombinant Rat Growth Hormone

Formulation, Preparation, and Storage

Purification

Antigen Affinity-purified

Reconstitution

Reconstitute at 0.2 mg/mL in sterile PBS.

Reconstitution Buffer Available:
Size / Price
Qty
Loading...

Formulation

Lyophilized from a 0.2 μm filtered solution in PBS with BSA as a carrier protein.

Shipping

The product is shipped at ambient temperature. Upon receipt, store it immediately at the temperature recommended below.

Stability & Storage

Use a manual defrost freezer and avoid repeated freeze-thaw cycles.
  • 12 months from date of receipt, -20 to -70 °C as supplied.
  • 1 month, 2 to 8 °C under sterile conditions after reconstitution.
  • 6 months, -20 to -70 °C under sterile conditions after reconstitution.

Background: Growth Hormone

Growth Hormone, also named somatotropin, belongs to the somatotropin/prolactin superfamily. It is synthesized in the anterior pituitary gland. Growth Hormone regulates body growth by stimulating the secretion of IGF-I by liver and other tissues.

Alternate Names

GH-N, GH1, GHB5, GHN, IGHD1A, IGHD2, Somatotropin

Entrez Gene IDs

2688 (Human)

Gene Symbol

GH1

UniProt

Additional Growth Hormone Products

Product Documents for Mouse/Rat Growth Hormone Biotinylated Antibody

Certificate of Analysis

To download a Certificate of Analysis, please enter a lot number in the search box below.

Note: Certificate of Analysis not available for kit components.

Product Specific Notices for Mouse/Rat Growth Hormone Biotinylated Antibody

For research use only

Loading...
Loading...
Loading...
Loading...