Skip to main content

Key Product Details

Species Reactivity

Validated:

Mouse, Rat

Cited:

Human

Applications

Validated:

Immunohistochemistry, Western Blot

Cited:

Immunohistochemistry, Western Blot

Label

Unconjugated

Antibody Source

Polyclonal Sheep IgG

Product Specifications

Immunogen

Mouse myeloma cell line NS0-derived recombinant mouse Draxin
Gly26-Ile343
Accession # Q6PAL1

Specificity

Detects mouse and rat Draxin in direct ELISAs and Western blots. In direct ELISAs, approximately 50% cross-reactivity with recombinant human Draxin is observed.

Clonality

Polyclonal

Host

Sheep

Isotype

IgG

Scientific Data Images for Mouse/Rat Draxin Antibody

Detection of Rat Draxin antibody by Western Blot.

Detection of Rat Draxin by Western Blot.

Western blot shows lysates of rat embryonic hippocampal glial cells. PVDF Membrane was probed with 1 µg/mL of Mouse/Rat Draxin Antigen Affinity-purified Polyclonal Antibody (Catalog # AF6149) followed by HRP-conjugated Anti-Sheep IgG Secondary Antibody (Catalog # HAF016). A specific band was detected for Draxin at approximately 58 kDa (as indicated). This experiment was conducted under reducing conditions and using Immunoblot Buffer Group 8.
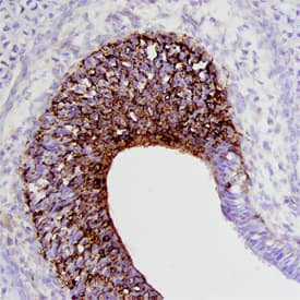
Draxin antibody in Mouse Embryo by Immunohistochemistry (IHC-Fr).

Draxin in Mouse Embryo.

Draxin was detected in immersion fixed frozen sections of mouse embryo (E13) using Mouse Draxin Antigen Affinity-purified Polyclonal Antibody (Catalog # AF6149) at 5 µg/mL overnight at 4 °C. Tissue was stained using the Anti-Sheep HRP-DAB Cell & Tissue Staining Kit (brown; Catalog # CTS019) and counterstained with hematoxylin (blue). Specific staining was localized to neuronal cells in the midbrain. View our protocol for Chromogenic IHC Staining of Frozen Tissue Sections.
Detection of Mouse Draxin/C1orf187 by Immunohistochemistry

Detection of Mouse Draxin/C1orf187 by Immunohistochemistry

Draxin is expressed in midline zipper glia (MZG) and their progenitors, and associates with MZG membranes, leptomeninges, and the pial surface of the interhemispheric fissure (IHF).Schema of interhemispheric midline at E12 (A), E15 (D dorsal; G ventral) and E17 (I). In situ hybridisation for Draxin mRNA (white or green), with immunohistochemistry for astroglial marker, GLAST (red), and leptomeninges and IHF marker, Laminin (LAM; magenta) in E12 (B), E15 (E), and E17 (J) wildtype CD1 mid-horizontal telencephalic midline tissue sections. Yellow arrowheads indicate Draxin-positive/GLAST-positive glia. Open red arrowheads indicate lack of Draxin mRNA within the IHF (yellow outlined). Immunohistochemistry for DRAXIN (white or green), GLAST (red or magenta), and LAM (magenta) in E12 (C), E15 (F), and E17 (K) wildtype CD1 mid-horizontal telencephalic midline tissue sections. (H) DRAXIN (white or green), axonal marker GAP43 (red), and LAM (magenta) in E15 ventral telencephalic midline tissue sections. Yellow arrowheads indicate regions of DRAXIN protein on GLAST-positive glial fibres (C, F, K) or DRAXIN protein on GAP43-positive axons (H’). White arrowheads indicate DRAXIN protein within the IHF and on the basement membrane of the IHF. BM: basement membrane; CCx: cingulate cortex; IGG: indusium griseum glia; LM: leptomeninges; MZGp: midline zipper glia progenitors; Se: septum; Th: telencephalic hinge; 3V: third ventricle. Image collected and cropped by CiteAb from the following open publication (https://pubmed.ncbi.nlm.nih.gov/33945466), licensed under a CC-BY license. Not internally tested by R&D Systems.

Applications for Mouse/Rat Draxin Antibody

Application
Recommended Usage

Immunohistochemistry

5-15 µg/mL
Sample: Immersion fixed frozen sections of mouse embryo (E13)

Western Blot

1 µg/mL
Sample: Rat embryonic hippocampal glial cells

Formulation, Preparation, and Storage

Purification

Antigen Affinity-purified

Reconstitution

Reconstitute at 0.2 mg/mL in sterile PBS. For liquid material, refer to CoA for concentration.

Reconstitution Buffer Available:
Size / Price
Qty
Loading...

Formulation

Lyophilized from a 0.2 μm filtered solution in PBS with Trehalose. *Small pack size (SP) is supplied either lyophilized or as a 0.2 µm filtered solution in PBS.

Shipping

Lyophilized product is shipped at ambient temperature. Liquid small pack size (-SP) is shipped with polar packs. Upon receipt, store immediately at the temperature recommended below.

Stability & Storage

Use a manual defrost freezer and avoid repeated freeze-thaw cycles.
  • 12 months from date of receipt, -20 to -70 °C as supplied.
  • 1 month, 2 to 8 °C under sterile conditions after reconstitution.
  • 6 months, -20 to -70 °C under sterile conditions after reconstitution.

Background: Draxin

Draxin (Dorsal repulsive axon guidance protein; also neucrin) is a secreted, 58 kDa, presumable glycoprotein member of the Draxin family of molecules. In mammals, it is expressed in neurons (axons), astroglia, and likely cells of the developing somite. Draxin acts as a Wnt antagonist, apparently by binding to LRP6. The net effect is to block neural crest migration, and the organization of axons into functional tracts or bundles (fasciculation). Mature mouse Draxin is 318 amino acids (aa) in length. It contains one potential N-linked glycosylation site, followed by a Cys-rich domain (aa 268-327). Mature mouse Draxin (aa 26-343) shares 80% aa identity with mature human Draxin, and 94% aa identity with mature rat Draxin.

Long Name

Dorsal Repulsive Axon Guidance Protein

Alternate Names

C1orf187, Neucrin

Entrez Gene IDs

374946 (Human); 70433 (Mouse); 691317 (Rat)

Gene Symbol

DRAXIN

UniProt

Additional Draxin Products

Product Documents for Mouse/Rat Draxin Antibody

Certificate of Analysis

To download a Certificate of Analysis, please enter a lot number in the search box below.

Note: Certificate of Analysis not available for kit components.

Product Specific Notices for Mouse/Rat Draxin Antibody

For research use only

Loading...
Loading...
Loading...
Loading...