Skip to main content

Key Product Details

Species Reactivity

Validated:

Mouse, Rat

Cited:

Human, Mouse

Applications

Validated:

Immunohistochemistry, Western Blot

Cited:

Immunohistochemistry, ELISA Detection

Label

Unconjugated

Antibody Source

Polyclonal Goat IgG

Product Specifications

Immunogen

Chinese hamster ovary cell line CHO-derived recombinant mouse Butyrylcholinesterase/BCHE
His28-Leu603
Accession # AAH99977

Specificity

Detects mouse and rat Butyrylcholinesterase/BCHE in direct ELISAs and Western blots. 

Clonality

Polyclonal

Host

Goat

Isotype

IgG

Scientific Data Images for Mouse/Rat Butyrylcholinesterase/BCHE Antibody

Detection of Mouse Butyrylcholinesterase/BCHE antibody by Western Blot.

Detection of Mouse Butyrylcholinesterase/BCHE by Western Blot.

Western blot shows lysates of mouse heart tissue and mouse liver tissue. PVDF membrane was probed with 1 µg/mL of Goat Anti-Mouse/Rat Butyrylcholinesterase/BCHE Polyclonal Antibody (Catalog # AF9024) followed by HRP-conjugated Anti-Goat IgG Secondary Antibody (Catalog # HAF017). A specific band was detected for Butyrylcholinesterase/BCHE at approximately 75 kDa (as indicated). This experiment was conducted under reducing conditions and using Immunoblot Buffer Group 1.
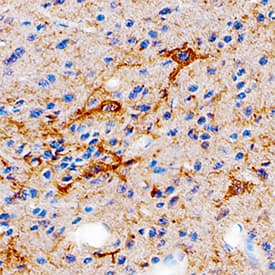
Butyrylcholinesterase/BCHE antibody in Mouse Brain by Immunohistochemistry (IHC-Fr).

Butyrylcholinesterase/BCHE in Mouse Brain.

Butyrylcholinesterase/BCHE was detected in perfusion fixed frozen sections of mouse brain using Goat Anti-Mouse/Rat Butyrylcholinesterase/BCHE Antigen Affinity-purified Polyclonal Antibody (Catalog # AF9024) at 5 µg/mL overnight at 4 °C. Tissue was stained using the Anti-Goat HRP-DAB Cell & Tissue Staining Kit (brown; Catalog # CTS008) and counterstained with hematoxylin (blue). Specific staining was localized to glial cells. View our protocol for Chromogenic IHC Staining of Frozen Tissue Sections.

Applications for Mouse/Rat Butyrylcholinesterase/BCHE Antibody

Application
Recommended Usage

Immunohistochemistry

5-15 µg/mL
Sample: Perfusion fixed frozen sections of mouse brain

Western Blot

1 µg/mL
Sample: Mouse heart tissue and mouse liver tissue

Formulation, Preparation, and Storage

Purification

Antigen Affinity-purified

Reconstitution

Reconstitute at 0.5 mg/mL in sterile PBS. For liquid material, refer to CoA for concentration.

Reconstitution Buffer Available:
Size / Price
Qty
Loading...

Formulation

Lyophilized from a 0.2 μm filtered solution in PBS with Trehalose. *Small pack size (SP) is supplied either lyophilized or as a 0.2 µm filtered solution in PBS.

Shipping

Lyophilized product is shipped at ambient temperature. Liquid small pack size (-SP) is shipped with polar packs. Upon receipt, store immediately at the temperature recommended below.

Stability & Storage

Use a manual defrost freezer and avoid repeated freeze-thaw cycles.
  • 12 months from date of receipt, -20 to -70 °C as supplied.
  • 1 month, 2 to 8 °C under sterile conditions after reconstitution.
  • 6 months, -20 to -70 °C under sterile conditions after reconstitution.

Background: Butyrylcholinesterase/BCHE

Butyrylcholinesterase (BCHE) is a major acetylcholine hydrolyzing enzyme in the circulation (1). Although it is present in significant amounts (~3 mg/L) in human plasma, no endogenous physiological substrate has been described for this enzyme. It can degrade a large number of ester-containing compounds in addition to acylcholines. Thus, it is likely to play significant pharmacological and toxicological roles. It is thought to be involved in the pathological process of Alzheimer's disease (AD) by depleting acetylcholine. In contrast to ACHE, it attenuates amyloid fibril formation in vitro (2). BCHE inhibitors have been used to delay symptoms of AD patients by virtue of their ability to enhance acetylcholine availability (3). Its involvement in a cholinergic anti-inflammatory pathway connect BCHE and ACHE with a possible marker of low-grade systemic inflammation observed in Type-2 diabetes, obesity, hypertension, coronary heart disease, and AD (4). BCHE can exist in monomeric and multimeric forms (1).

References

  1. Darvesh, S. et al. (2003) Nat. Rev. Neuroscience 4:131.
  2. Diamant, S. et al. (2006) Proc. Natl. Acad. Sci. USA 103:8628.
  3. Campbell, V. A. and Gowran, A. (2007) Br. J. Pharm. 152:655.
  4. Das, U. N. (2007) Med Sci Monit. 13:RA214.

Alternate Names

Acylcholine acylhydrolase, BCHE, Butyrylcholine esterase, CHE1, Pseudocholinesterase

Entrez Gene IDs

590 (Human); 12038 (Mouse)

Gene Symbol

BCHE

UniProt

Additional Butyrylcholinesterase/BCHE Products

Product Documents for Mouse/Rat Butyrylcholinesterase/BCHE Antibody

Certificate of Analysis

To download a Certificate of Analysis, please enter a lot number in the search box below.

Note: Certificate of Analysis not available for kit components.

Product Specific Notices for Mouse/Rat Butyrylcholinesterase/BCHE Antibody

For research use only

Loading...
Loading...
Loading...
Loading...