Skip to main content

Key Product Details

Species Reactivity

Mouse

Applications

Immunohistochemistry, Immunocytochemistry

Label

Unconjugated

Antibody Source

Monoclonal Rat IgG2B Clone # 1039504

Product Specifications

Immunogen

Mouse myeloma cell line NS0-derived mouse PDGF R alpha
Leu25-Glu524
Accession # P26618.3

Specificity

Detects mouse PDGF R alpha in direct ELISAs

Clonality

Monoclonal

Host

Rat

Isotype

IgG2B

Scientific Data Images for Mouse PDGF R alpha Antibody

PDGF R alpha in NIH-3T3 Mouse Cell Line.

PDGF R alpha was detected in immersion fixed NIH-3T3 mouse embryonic fibroblast cell line using Rat Anti-Mouse PDGF R alpha Monoclonal Antibody (Catalog # MAB3221) at 8 µg/mL for 3 hours at room temperature. Cells were stained using the NorthernLights™ 557-conjugated Anti-Rat IgG Secondary Antibody (red; NL013) and counterstained with DAPI (blue). Specific staining was localized to cell surface. Staining was performed using our protocol for Fluorescent ICC Staining of Non-adherent Cells.

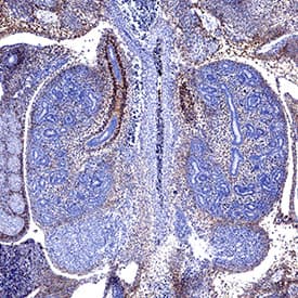
PDGF R alpha in 13 d.p.c. mouse embryos.

PDGF R alpha was detected in immersion fixed paraffin-embedded sections of 13 d.p.c. mouse embryos using Rat Anti-MousePDGF R alpha Monoclonal Antibody (Catalog # MAB3221) at 5 µg/mL for 1 hour at room temperature followed by incubation with the Anti-Rat IgG VisUCyte™ HRP Polymer Antibody (VC005). Before incubation with the primary antibody, tissue was subjected to heat-induced epitope retrieval using Antigen Retrieval Reagent-Basic (CTS013). Tissue was stained using DAB (brown) and counterstained with hematoxylin (blue). Specific staining was localized to embryonic kidney. Staining was performed using our protocol for IHC Staining with VisUCyte HRP Polymer Detection Reagents.

Applications for Mouse PDGF R alpha Antibody

Application
Recommended Usage

Immunocytochemistry

8-25 µg/mL
Sample: Immersion fixed NIH‑3T3 mouse embryonic fibroblast cell line

Immunohistochemistry

5-25 µg/mL
Sample: Immersion fixed paraffin-embedded sections of 13 d.p.c. mouse embryos

Formulation, Preparation, and Storage

Purification

Protein A or G purified from hybridoma culture supernatant

Reconstitution

Reconstitute at 0.5 mg/mL in sterile PBS.

Reconstitution Buffer Available:
Size / Price
Qty
Loading...

Formulation

Lyophilized from a 0.2 μm filtered solution in PBS with Trehalose.

Shipping

The product is shipped at ambient temperature. Upon receipt, store it immediately at the temperature recommended below.

Stability & Storage

Use a manual defrost freezer and avoid repeated freeze-thaw cycles.
  • 12 months from date of receipt, -20 to -70 °C as supplied.
  • 1 month, 2 to 8 °C under sterile conditions after reconstitution.
  • 6 months, -20 to -70 °C under sterile conditions after reconstitution.

Background: PDGF R alpha

PDGF R alpha (platelet-derived growth factor receptor alpha) is a type I transmembrane glycoprotein in the class III subfamily of receptor tyrosine kinases (RTK) (1-3). PDGF R alpha and PDGF R beta can form homo- or hetero-dimeric receptors when engaged by dimers of the PDGF family of growth factors, which include disulfide-linked homodimers of PDGF-A, B, C or D, or the heterodimer PDGF-AB that is mainly found in human platelets. While multiple in vitro ligand-receptor combinations have been identified, in vivo evidence indicates that PDGF R alpha primarily binds PDGF-AA and PDGF-CC, while PDGF R beta primarily binds PDGF-BB and probably PDGF-DD. Like all class III RTKs, the extracellular domain (ECD) of mouse PDGF R alpha (amino acids 25-525) contains five immunoglobulin-like domains, while the intracellular region contains a split tyrosine kinase domain (aa 593‑954). Within the ECD, mouse PDGF R alpha shares 85%, 93%, 84%, 84%, and 81% amino acid sequence identity with human, rat, equine, canine and bovine PDGF R alpha respectively. PDGF R alpha autophosphorylates upon dimerization, activating signaling cascades in PI 3-kinase Ras-MAP kinase, and PLC-gamma pathways (1, 2). Signaling is down‑regulated by SHP-2 phosphatase activity and by receptor endocytosis and lysosomal degradation. PDGF R alpha is expressed at low levels in most mesenchymal cells, but is strongly expressed in oligodendrocyte, lung, skin and intestinal progenitor cells and induced by inflammation or growth in culture (1-3). During development, mesenchymal cells expressing PDGF R alpha respond to local gradients of epithelially produced PDGF-AA or PDGF-CC during formation of the cranial and cardiac neural crest, retina, gonads, lung alveoli, intestinal villi, skin, hair follicles, skeleton, teeth, palate, and interstitial kidney mesenchyme (1, 4). Deletion of PDGF R alpha in mice severely impairs mesenchymal derivatives in both embryo and extraembryonic tissues, and high or low PDGF R alpha signaling in humans may result in spina bifida or cleft palate‑type malformations. Postnatally, PDGF R alpha is implicated in gliomas and fibrotic disorders of lung, heart and skin (scleroderma) (5- 7).

References

  1. Andrae, J. et al. (2008) Genes Dev. 22:1276.
  2. Heldin, C-H. and B. Westermark (1999) Physiol. Rev. 79:1283.
  3. Do, M.S. et al. (1992) Oncogene 7:1567.
  4. Klinghoffer, R.A. et al. (2002) Dev. Cell 2:103.
  5. Martinho, O. (2009) Br. J. Cancer 101:973.
  6. Olson, L.E. and P. Soriano (2009) Dev. Cell 16:303.
  7. Baroni, S.S. et al. (2006) N. Engl. J. Med. 354:2667.

    Long Name

    Platelet-derived Growth Factor Receptor alpha

    Alternate Names

    CD140a, PDGFR alpha, PDGFRA

    Entrez Gene IDs

    5156 (Human); 18595 (Mouse)

    Gene Symbol

    PDGFRA

    UniProt

    Additional PDGF R alpha Products

    Product Documents for Mouse PDGF R alpha Antibody

    Certificate of Analysis

    To download a Certificate of Analysis, please enter a lot number in the search box below.

    Note: Certificate of Analysis not available for kit components.

    Product Specific Notices for Mouse PDGF R alpha Antibody

    For research use only

    Loading...
    Loading...
    Loading...
    Loading...
    Loading...