Skip to main content

Mouse NCAM-1/CD56 Antibody

R&D Systems, part of Bio-Techne | Catalog # MAB7820

Catalog #
Availability
Size / Price
Qty
Loading...
MAB7820
MAB7820-SP

Key Product Details

Species Reactivity

Validated:

Mouse

Cited:

Human, Mouse

Applications

Validated:

Multiplex Immunofluorescence, Immunohistochemistry, Western Blot, Flow Cytometry, COMET, CyTOF-ready

Cited:

Western Blot, Flow Cytometry

Label

Unconjugated

Antibody Source

Monoclonal Rat IgG2A Clone # 809220

Product Specifications

Immunogen

Mouse myeloma cell line NS0-derived recombinant mouse NCAM‑1/CD56
Leu20-Thr711
Accession # P13595

Specificity

Detects mouse NCAM‑1/CD56 in direct ELISAs and Western blots.

Clonality

Monoclonal

Host

Rat

Isotype

IgG2A

Scientific Data Images for Mouse NCAM-1/CD56 Antibody

Detection of CD56/NCAM1 in Mouse Cerebellum via seqIF™ staining on COMET™​

CD56/NCAM1 was detected in immersion fixed paraffin-embedded sections of mouse Cerebellum using Rat Anti-Mouse CD56, Monoclonal Antibody (Catalog # MAB7820) at 15ug/mL at 37° Celsius for 4 minutes. Before incubation with the primary antibody, tissue underwent an all-in-one dewaxing and antigen retrieval preprocessing using PreTreatment Module (PT Module) and Dewax and HIER Buffer H (pH 9; Epredia Catalog # TA-999-DHBH).Tissue was stained using the Alexa Fluor™ 647 Goat anti-Rat IgG Secondary Antibody at 1:200 at 37 ° Celsius for 2 minutes. (Yellow; Lunaphore Catalog # DR647RT) and counterstained with DAPI (blue; Lunaphore Catalog # DR100). Specific staining was localized to the neuropil. Protocol available in COMET™ Panel Builder.
Detection of Mouse NCAM-1/CD56 antibody by Western Blot.

Detection of Mouse NCAM‑1/CD56 by Western Blot.

Western blot shows lysates of Neuro-2A mouse neuroblastoma cell line. PVDF membrane was probed with 0.1 µg/mL of Rat Anti-Mouse NCAM-1/CD56 Monoclonal Antibody (Catalog # MAB7820) followed by HRP-conjugated Anti-Rat IgG Secondary Antibody (Catalog # HAF005). A specific band was detected for NCAM-1/CD56 at approximately 120 kDa (as indicated). This experiment was conducted under reducing conditions and using Immunoblot Buffer Group 1.
Detection of NCAM-1/CD56 antibody in Neuro-2A Mouse Cell Line antibody by Flow Cytometry.

Detection of NCAM‑1/CD56 in Neuro‑2A Mouse Cell Line by Flow Cytometry.

Neuro-2A mouse neuroblastoma cell line was stained with Rat Anti-Mouse NCAM-1/CD56 Monoclonal Antibody (Catalog # MAB7820, filled histogram) or isotype control antibody (Catalog # MAB006, open histogram), followed by Allophycocyanin-conjugated Anti-Rat IgG Secondary Antibody (Catalog # F0113). View our protocol for Staining Membrane-associated Proteins.

Applications for Mouse NCAM-1/CD56 Antibody

Application
Recommended Usage

COMET

CyTOF-ready

Ready to be labeled using established conjugation methods. No BSA or other carrier proteins that could interfere with conjugation.

Flow Cytometry

0.25 µg/106 cells
Sample: Neuro‑2A mouse neuroblastoma cell line

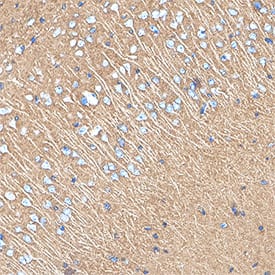
Immunohistochemistry

3-25 µg/mL
Sample: Immersion fixed paraffin-embedded sections of mouse cerebellum and mouse cortex

Multiplex Immunofluorescence

15 µg/mL
Sample: Immersion fixed paraffin-embedded sections of mouse cerebellum

Western Blot

0.1 µg/mL
Sample: Neuro‑2A mouse neuroblastoma cell line

Formulation, Preparation, and Storage

Purification

Protein A or G purified from hybridoma culture supernatant

Reconstitution

Sterile PBS to a final concentration of 0.5 mg/mL. For liquid material, refer to CoA for concentration.

Reconstitution Buffer Available:
Size / Price
Qty
Loading...

Formulation

Lyophilized from a 0.2 μm filtered solution in PBS with Trehalose. See Certificate of Analysis for details.
*Small pack size (-SP) is supplied either lyophilized or as a 0.2 µm filtered solution in PBS.

Shipping

Lyophilized product is shipped at ambient temperature. Liquid small pack size (-SP) is shipped with polar packs. Upon receipt, store immediately at the temperature recommended below.

Stability & Storage

Use a manual defrost freezer and avoid repeated freeze-thaw cycles.
  • 12 months from date of receipt, -20 to -70 °C as supplied.
  • 1 month, 2 to 8 °C under sterile conditions after reconstitution.
  • 6 months, -20 to -70 °C under sterile conditions after reconstitution.

Background: NCAM-1/CD56

NCAM-1 (Neural adhesion molecule-1; also CD56) is a 120-190 kDa glycoprotein member of the Ig Superfamily. It is expressed on multiple cell types, both in the embryo and adult. Here, it serves as both an adhesion molecule and a receptor for multiple ligands, including as FGFR, PDGF, GDNF and agrin. On the cell surface, it is a cis-oriented homodimer that can form homodimers in-trans with other cis-homodimers. In the embryo, NCAM-1 is polysialylated (PolySia), and shows a MW of 200-220 kDa in SDS-PAGE. This polysialylation reduces the ability of NCAM-1 to dimerize. Mature mouse NCAM-1 is a 1096 amino acid (aa) type I transmembrane (TM) protein (aa 20-1115). It possesses a 692 aa extracellular region (aa 20-711) and a 386 aa cytoplasmic domain. The extracellular region contains five consecutive C2-type Ig-like domains (aa 20-492) followed by two FN type-III domains (aa 497-692). Multiple splice variants exist. There is a 140 kDa TM variant that shows a deletion of aa 810-1076, and a 120 kDa variant that is GPI-linked and shows a 24 aa substitution for aa 702-1115. A third potential variant contains a five aa substitution for aa 601-1115. Over aa 20-711, mouse NCAM-1 shares 99% and 95% aa identity with rat and human NCAM-1, respectively.

Long Name

Neural Cell Adhesion Molecule

Alternate Names

CD56, NCAM1

Entrez Gene IDs

4684 (Human); 17967 (Mouse); 24586 (Rat)

Gene Symbol

NCAM1

UniProt

Additional NCAM-1/CD56 Products

Product Documents for Mouse NCAM-1/CD56 Antibody

Certificate of Analysis

To download a Certificate of Analysis, please enter a lot number in the search box below.

Note: Certificate of Analysis not available for kit components.

Product Specific Notices for Mouse NCAM-1/CD56 Antibody

For research use only

Loading...
Loading...
Loading...
Loading...
Loading...
Loading...