Skip to main content

Key Product Details

Species Reactivity

Validated:

Mouse

Cited:

Human

Applications

Validated:

Immunohistochemistry, Western Blot, Neutralization

Cited:

Western Blot

Label

Unconjugated

Antibody Source

Polyclonal Goat IgG

Product Specifications

Immunogen

Mouse myeloma cell line NS0-derived recombinant mouse Limitin/IFN-zeta
Leu22-Arg182
Accession # Q9R1T0

Specificity

Detects Limitin/IFN-zeta in direct ELISAs and Western blots. In direct ELISAs and Western blots, less than 1% cross-reactivity with recombinant mouse IFN-gamma is observed.

Clonality

Polyclonal

Host

Goat

Isotype

IgG

Endotoxin Level

<0.10 EU per 1 μg of the antibody by the LAL method.

Scientific Data Images for Mouse Limitin/IFN- zeta Antibody

Limitin Inhibition of EMCV-induced Cytopathy and Neutralization by Mouse Limitin Antibody.

Limitin Inhibition of EMCV-induced Cytopathy and Neutralization by Mouse Limitin Antibody.

Recombinant Mouse Limitin (1535-LM) reduces the Encephalomyocarditis Virus (EMCV)-induced cytopathy in the L-929 mouse fibroblast cell line in a dose-dependent manner (orange line), as measured by Resazurin (AR002). Inhibition of EMCV activity elicited by Recombinant Mouse Limitin (30 pg/mL) is neutralized (green line) by increasing concentrations of Goat Anti-Mouse Limitin Antigen Affinity-purified Polyclonal Antibody (Catalog # AF597). The ND50 is typically 1.5-7.5 ng/mL.

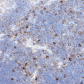
Detection of Limitin/IFN- zeta in Mouse Thymus.

Limitin/IFN- zeta was detected in immersion fixed paraffin-embedded sections of mouse thymus using Goat Anti-Mouse Limitin/IFN- zeta Antigen Affinity-purified Polyclonal Antibody (Catalog # AF597) at 1 µg/ml for 1 hour at room temperature followed by incubation with the Anti-Goat IgG VisUCyte™ HRP Polymer Antibody (Catalog # VC004) or the HRP-conjugated Anti-Goat IgG Secondary Antibody (Catalog # HAF109). Before incubation with the primary antibody, tissue was subjected to heat-induced epitope retrieval using VisUCyte Antigen Retrieval Reagent-Basic (Catalog # VCTS021). Tissue was stained using DAB (brown) and counterstained with hematoxylin (blue). Specific staining was localized to the membrane of lymphocytes. View our protocol for Chromogenic IHC Staining of Paraffin-embedded Tissue Sections.

Applications for Mouse Limitin/IFN- zeta Antibody

Application
Recommended Usage

Immunohistochemistry

5-15 µg/mL
Sample: Immersion fixed paraffin-embedded sections of mouse thymus

Western Blot

0.1 µg/mL
Sample: Recombinant Mouse Limitin/IFN-zeta (Catalog # 1535-LM)

Neutralization

Measured by its ability to neutralize Limitin inhibition of EMCV-induced cytopathy in the L-929 mouse fibroblast cell line. Vogel, S. and M. Hogan (1995) in Current Protocols in Immunology. Ciocio, R. (ed); John Wiley & Sons, Inc. p. 6. 9. 1. The Neutralization Dose (ND50) is typically 1.5-7.5 ng/mL in the presence of 30 pg/mL Recombinant Mouse Limitin.

Formulation, Preparation, and Storage

Purification

Antigen Affinity-purified

Reconstitution

Reconstitute at 0.2 mg/mL in sterile PBS. For liquid material, refer to CoA for concentration.

Reconstitution Buffer Available:
Size / Price
Qty
Loading...

Formulation

Lyophilized from a 0.2 μm filtered solution in PBS with Trehalose. See Certificate of Analysis for details.
*Small pack size (-SP) is supplied either lyophilized or as a 0.2 µm filtered solution in PBS.

Shipping

Lyophilized product is shipped at ambient temperature. Liquid small pack size (-SP) is shipped with polar packs. Upon receipt, store immediately at the temperature recommended below.

Stability & Storage

Use a manual defrost freezer and avoid repeated freeze-thaw cycles.
  • 12 months from date of receipt, -20 to -70 °C as supplied.
  • 1 month, 2 to 8 °C under sterile conditions after reconstitution.
  • 6 months, -20 to -70 °C under sterile conditions after reconstitution.

Background: Limitin/IFN-zeta

Limitin, also known as IFN-zeta, is a 20 kDa glycoprotein that is secreted by T cells and bronchial and salivary duct epithelial cells. It inhibits B-lineage cell development but has little effect on myelopoiesis or erythropoiesis. Limitin binds to IFN-alpha / beta receptors and has potent antiviral activity. Mouse Limitin shares 32%, 26%, and 30% amino acid sequence identity with mouse IFN-alpha, mouse IFN-beta, and human IFN-omega, respectively.

Long Name

Interferon zeta

Alternate Names

IFN-z, IFNzeta

Entrez Gene IDs

319146 (Mouse)

Gene Symbol

IFNZ

UniProt

Additional Limitin/IFN-zeta Products

Product Documents for Mouse Limitin/IFN- zeta Antibody

Certificate of Analysis

To download a Certificate of Analysis, please enter a lot number in the search box below.

Note: Certificate of Analysis not available for kit components.

Product Specific Notices for Mouse Limitin/IFN- zeta Antibody

For research use only

Loading...
Loading...
Loading...
Loading...