Skip to main content

Key Product Details

Species Reactivity

Validated:

Mouse

Cited:

Mouse

Applications

Validated:

Immunohistochemistry, Western Blot

Cited:

Western Blot, Immunoprecipitation

Label

Unconjugated

Antibody Source

Polyclonal Goat IgG

Product Specifications

Immunogen

Mouse myeloma cell line NS0-derived recombinant mouse LAG-3
Gly24-Leu442
Accession # Q61790

Specificity

Detects mouse LAG-3 in direct ELISAs and Western blots. In direct ELISAs and Western blots, less than 1% cross‑reactivity with recombinant human LAG-3 is observed.

Clonality

Polyclonal

Host

Goat

Isotype

IgG

Scientific Data Images for Mouse LAG-3 Antibody

Detection of Mouse LAG-3 antibody by Western Blot.

Detection of Mouse LAG-3 by Western Blot.

Western blot shows lysates of mouse liver tissue, mouse heart tissue, EL4.IL-2 mouse lymphoblast cell line, and CTLL-2 mouse cytotoxic T cell line. PVDF membrane was probed with 0.25 µg/mL of Goat Anti-Mouse LAG-3 Antigen Affinity-purified Polyclonal Antibody (Catalog # AF3328) followed by HRP-conjugated Anti-Goat IgG Secondary Antibody (Catalog # HAF019). Specific bands were detected for LAG-3 at approximately 54 kDa and 75 kDa in mouse liver and mouse heart tissue and 70-80 kDa in EL4.IL-2 and CTLL-2 cell lines (as indicated). This experiment was conducted under reducing conditions and using Immunoblot Buffer Group 1.

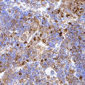
LAG-3 in Mouse Spleen.

LAG-3 was detected in immersion fixed paraffin-embedded sections of mouse spleen using Goat Anti-Mouse LAG-3 Antigen Affinity-purified Polyclonal Antibody (Catalog # AF3328) at 15 µg/mL for 1 hour at room temperature followed by incubation with the Anti-Goat IgG VisUCyte™ HRP Polymer Antibody (VC004). Before incubation with the primary antibody, tissue was subjected to heat-induced epitope retrieval using Antigen Retrieval Reagent-Basic (CTS013). Tissue was stained using DAB (brown) and counterstained with hematoxylin (blue). Specific staining was localized to lymphocytes. Staining was performed using our protocol for IHC Staining with VisUCyte HRP Polymer Detection Reagents.

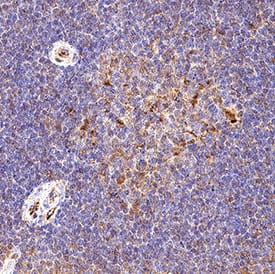
LAG-3 in Human Spleen.

LAG-3 was detected in immersion fixed paraffin-embedded sections of human spleen using Goat Anti-Mouse LAG-3 Antigen Affinity-purified Polyclonal Antibody (Catalog # AF3328) at 3 µg/mL for 1 hour at room temperature followed by incubation with the Anti-Goat IgG VisUCyte™ HRP Polymer Antibody (VC004). Before incubation with the primary antibody, tissue was subjected to heat-induced epitope retrieval using Antigen Retrieval Reagent-Basic (CTS013). Tissue was stained using DAB (brown) and counterstained with hematoxylin (blue). Specific staining was localized to lymphocytes. Staining was performed using our protocol for IHC Staining with VisUCyte HRP Polymer Detection Reagents.

Applications for Mouse LAG-3 Antibody

Application
Recommended Usage

Immunohistochemistry

3-15 µg/mL
Sample: Immersion fixed paraffin-embedded sections of mouse spleen and human spleen

Western Blot

0.25 µg/mL
Sample: Mouse liver tissue, mouse heart tissue, EL4.IL‑2 mouse lymphoblast cell line, and CTLL‑2 mouse cytotoxic T cell line

Reviewed Applications

Read 1 review rated 5 using AF3328 in the following applications:

Formulation, Preparation, and Storage

Purification

Antigen Affinity-purified

Reconstitution

Reconstitute at 0.2 mg/mL in sterile PBS. For liquid material, refer to CoA for concentration.

Reconstitution Buffer Available:
Size / Price
Qty
Loading...

Formulation

Lyophilized from a 0.2 μm filtered solution in PBS with Trehalose. *Small pack size (SP) is supplied either lyophilized or as a 0.2 µm filtered solution in PBS.

Shipping

Lyophilized product is shipped at ambient temperature. Liquid small pack size (-SP) is shipped with polar packs. Upon receipt, store immediately at the temperature recommended below.

Stability & Storage

Use a manual defrost freezer and avoid repeated freeze-thaw cycles.
  • 12 months from date of receipt, -20 to -70 °C as supplied.
  • 1 month, 2 to 8 °C under sterile conditions after reconstitution.
  • 6 months, -20 to -70 °C under sterile conditions after reconstitution.

Background: LAG-3

LAG-3 (Lymphocyte activation gene-3; CD223 in the human) is a member of the immunoglobulin superfamily (IgSF). The mature LAG-3 protein is a 496 amino acid (aa) membrane protein with a 421 aa extracellular region which contains four IgSF domains, a 21 aa transmembrane region and a 54 aa cytoplasmic region. LAG-3 shares < 20% amino acid sequence homology with CD4, but has similar structure and binds to MHC class II with higher affinity.  The mouse LAG-3 extracellular region shares 69% aa sequence identity with human LAG-3.

Long Name

Lymphocyte-activation Gene 3

Alternate Names

CD223, LAG3

Entrez Gene IDs

3902 (Human); 16768 (Mouse); 297596 (Rat); 102122272 (Cynomolgus Monkey)

Gene Symbol

LAG3

UniProt

Additional LAG-3 Products

Product Documents for Mouse LAG-3 Antibody

Certificate of Analysis

To download a Certificate of Analysis, please enter a lot number in the search box below.

Note: Certificate of Analysis not available for kit components.

Product Specific Notices for Mouse LAG-3 Antibody

For research use only

Loading...
Loading...
Loading...
Loading...
Loading...