Skip to main content

Key Product Details

Species Reactivity

Validated:

Mouse

Cited:

Mouse

Applications

Validated:

Immunohistochemistry, Western Blot

Cited:

Immunohistochemistry, Western Blot

Label

Unconjugated

Antibody Source

Monoclonal Rat IgG2B Clone # 880036

Product Specifications

Immunogen

Mouse myeloma cell line NS0-derived recombinant mouse Kallikrein 5
23-293

Specificity

Detects mouse Kallikrein 5 in ELISA.

Clonality

Monoclonal

Host

Rat

Isotype

IgG2B

Scientific Data Images for Mouse Kallikrein 5 Antibody

Detection of Mouse Kallikrein 5 antibody by Western Blot.

Detection of Mouse Kallikrein 5 by Western Blot.

Western blot shows lysates of NMuMG mouse mammary gland epithelial cell line. PVDF membrane was probed with 2 µg/mL of Rat Anti-Mouse Kallikrein 5 Monoclonal Antibody (Catalog # MAB7236) followed by HRP-conjugated Anti-Rat IgG Secondary Antibody (Catalog # HAF005). A specific band was detected for Kallikrein 5 at approximately 30 kDa (as indicated). This experiment was conducted under reducing conditions and using Immunoblot Buffer Group 1.
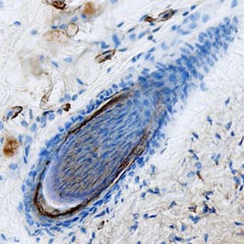
Kallikrein 5 antibody in Hair Follicle of Mouse Skin by Immunohistochemistry (IHC-Fr).

Kallikrein 5 in Hair Follicle of Mouse Skin.

Kallikrein 5 was detected in immersion fixed frozen sections of mouse skin using Rat Anti-Mouse Kallikrein 5 Monoclonal Antibody (Catalog # MAB7236) at 25 µg/mL overnight at 4 °C. Tissue was stained using the Anti-Rat HRP-DAB Cell & Tissue Staining Kit (brown; Catalog # CTS017) and counterstained with hematoxylin (blue). Specific staining was localized to the inner sheath cuticle of hair follicles. View our protocol for Chromogenic IHC Staining of Frozen Tissue Sections.

Applications for Mouse Kallikrein 5 Antibody

Application
Recommended Usage

Immunohistochemistry

8-25 µg/mL
Sample: Immersion fixed frozen sections of mouse skin

Western Blot

2 µg/mL
Sample: NMuMG mouse mammary gland epithelial cell line

Formulation, Preparation, and Storage

Purification

Protein A or G purified from hybridoma culture supernatant

Reconstitution

Reconstitute at 0.5 mg/mL in sterile PBS. For liquid material, refer to CoA for concentration.

Reconstitution Buffer Available:
Size / Price
Qty
Loading...

Formulation

Lyophilized from a 0.2 μm filtered solution in PBS with Trehalose. *Small pack size (SP) is supplied either lyophilized or as a 0.2 µm filtered solution in PBS.

Shipping

Lyophilized product is shipped at ambient temperature. Liquid small pack size (-SP) is shipped with polar packs. Upon receipt, store immediately at the temperature recommended below.

Stability & Storage

Use a manual defrost freezer and avoid repeated freeze-thaw cycles.
  • 12 months from date of receipt, -20 to -70 °C as supplied.
  • 1 month, 2 to 8 °C under sterile conditions after reconstitution.
  • 6 months, -20 to -70 °C under sterile conditions after reconstitution.

Background: Kallikrein 5

Tissue Kallikrein 5 (KLK5) is a secreted serine protease with trypsin‑like substrate specificity. KLK5 is highly expressed in the skin, and is also known as stratum corneum tryptic enzyme due to its high expression level in this tissue. KLK5 is thought to play an important role in the process of desquamation (1). KLK5 is a potential biomarker for ovarian and breast cancers (2). It may also be a physiological activator of KLK7 in the stratum corneum (3). Recombinant mouse KLK5 is purified as the proform, and can undergo autoactivation under the appropriate conditions. KLK5 enzymatic activity can be inhibited by the following recombinant human serpins: Serpin‑A1, ‑A5, ‑F2, and ‑G1 (Catalog # http://www.rndsystems.com/product_results.aspx?k=1268-PI">1268-PI, http://www.rndsystems.com/product_results.aspx?k=1266-PI">1266-PI, http://www.rndsystems.com/product_results.aspx?k=1470-PI">1470-PI, and http://www.rndsystems.com/product_results.aspx?k=2488-PI">2488-PI).

References

  1. Brattsand M. and T. Egelrud (1999) J. Biol. Chem. 274:30033.
  2. Yousef G.M. et al. (2003) Cancer Res. 63:3958.
  3. Kim H. et al. (2001) Br. J. Cancer 84:543.

Alternate Names

KLK-L2, KLK5, SCTE

Entrez Gene IDs

25818 (Human); 68668 (Mouse); 690603 (Rat)

Gene Symbol

KLK5

Additional Kallikrein 5 Products

Product Documents for Mouse Kallikrein 5 Antibody

Certificate of Analysis

To download a Certificate of Analysis, please enter a lot number in the search box below.

Note: Certificate of Analysis not available for kit components.

Product Specific Notices for Mouse Kallikrein 5 Antibody

For research use only

Loading...
Loading...
Loading...
Loading...