Skip to main content

Key Product Details

Species Reactivity

Validated:

Mouse

Cited:

Mouse

Applications

Validated:

Immunohistochemistry, Western Blot, Neutralization, Intracellular Staining by Flow Cytometry, CyTOF-ready

Cited:

Immunohistochemistry, Western Blot, Neutralization, Flow Cytometry, Bioassay, ELISA Development, In vivo assay, Functional Assay

Label

Unconjugated

Antibody Source

Monoclonal Rat IgG2A Clone # 37895

Product Specifications

Immunogen

E. coli-derived recombinant mouse IFN-gamma

Specificity

Detects mouse IFN-gamma in Western blots. In Western blots, this antibody does not cross-react with recombinant human (rh) IFN‑ gamma, rrIFN‑ gamma, rpIFN‑ gamma, rrmIFN‑ gamma, rfeIFN‑ gamma, or rcaIFN‑ gamma.

Clonality

Monoclonal

Host

Rat

Isotype

IgG2A

Endotoxin Level

<0.10 EU per 1 μg of the antibody by the LAL method.

Scientific Data Images for Mouse IFN-gamma Antibody

Detection of IFN-? antibody in Mouse Splenoctyes antibody by Flow Cytometry.

Detection of IFN‑ gamma in Mouse Splenoctyes by Flow Cytometry.

Mouse splenocytes either (A) stimulated to induce Th1 cells or (B) unstimulated were stained with Rat Anti-Mouse IFN-gamma Monoclonal Antibody (Catalog # MAB485) followed by Phycoerythrin-conjugated Anti-Rat IgG Secondary Antibody (F0105B) and Rat Anti-Mouse CD4 APC-conjugated Monoclonal Antibody (FAB554A). Quadrant markers were set based on control antibody staining (MAB006). To facilitate intracellular staining, cells were fixed with Flow Cytometry Fixation Buffer (FC004) and permeabilized with Flow Cytometry Permeabilization/Wash Buffer I (FC005). View our protocol for Staining Intracellular Molecules.

Detection of IFN‑ gamma in Mouse Splenoctyes by Flow Cytometry.

Mouse splenocytes either (A) stimulated for 4 hours with Cell Activation Cocktail 500x (5476) or (B) unstimulated were stained with Rat Anti-Mouse IFN-gamma Monoclonal Antibody (Catalog # MAB485) followed by Phycoerythrin-conjugated Anti-Rat IgG Secondary Antibody (F0105B) and Rat Anti-Mouse CD4 APC-conjugated Monoclonal Antibody (FAB554A). Quadrant markers were set based on control antibody staining (MAB006). To facilitate intracellular staining, cells were fixed with Flow Cytometry Fixation Buffer (FC004) and permeabilized with Flow Cytometry Permeabilization/Wash Buffer I (FC005). Staining was performed using our Staining Intracellular Molecules protocol.
IFN‑ gamma Inhibition of EMCV-induced Cytopathy and Neutralization by Mouse IFN‑ gamma Antibody.

IFN‑ gamma Inhibition of EMCV-induced Cytopathy and Neutralization by Mouse IFN‑ gamma Antibody.

Recombinant Mouse IFN-gamma 485-MI) reduces the Encephalomyocarditis Virus (EMCV)-induced cytopathy in the L-929 mouse fibroblast cell line in a dose-dependent manner (orange line), as measured by crystal violet staining. Inhibition of EMCV activity elicited by Recombinant Mouse IFN-gamma (2.5 ng/mL) is neutralized (green line) by increasing concentrations of Rat Anti-Mouse IFN-gamma Monoclonal Antibody (Catalog # MAB485). The ND50 is typically 0.075-0.3 µg/mL.

Applications for Mouse IFN-gamma Antibody

Application
Recommended Usage

CyTOF-ready

Ready to be labeled using established conjugation methods. No BSA or other carrier proteins that could interfere with conjugation.

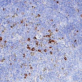
Immunohistochemistry

5-15 µg/mL
Sample: Immersion fixed paraffin-embedded sections of Mouse Spleen

Intracellular Staining by Flow Cytometry

0.25 µg/106 cells
Sample: Mouse splenocytes stimulated to induce Th1 cells or for 4 hours with Cell Activation Cocktail 500x (5476) were fixed with Flow Cytometry Fixation Buffer (Catalog # FC004) and permeabilized with Flow Cytometry Permeabilization/Wash Buffer I (Catalog # FC005)

Western Blot

1 µg/mL
Sample: Recombinant Mouse IFN-gamma (Catalog # 485-MI)

Neutralization

Measured by its ability to neutralize IFN-gamma inhibition of EMCV-induced cytopathy in the L-929 mouse fibroblast cell line. Vogel, S. and M. Hogan (1995) in Current Protocols in Immunology. Ciocio, R. (ed); John Wiley & Sons, Inc. p. 6. 9. 1. The Neutralization Dose (ND50) is typically 0.075-0.3 µg/mL in the presence of 2.5 ng/mL Recombinant Mouse IFN-gamma.

Formulation, Preparation, and Storage

Purification

Protein A or G purified from hybridoma culture supernatant

Reconstitution

Reconstitute at 0.5 mg/mL in sterile PBS. For liquid material, refer to CoA for concentration.

Reconstitution Buffer Available:
Size / Price
Qty
Loading...

Formulation

Lyophilized from a 0.2 μm filtered solution in PBS with Trehalose. *Small pack size (SP) is supplied either lyophilized or as a 0.2 µm filtered solution in PBS.

Shipping

Lyophilized product is shipped at ambient temperature. Liquid small pack size (-SP) is shipped with polar packs. Upon receipt, store immediately at the temperature recommended below.

Stability & Storage

Use a manual defrost freezer and avoid repeated freeze-thaw cycles.
  • 12 months from date of receipt, -20 to -70 °C as supplied.
  • 1 month, 2 to 8 °C under sterile conditions after reconstitution.
  • 6 months, -20 to -70 °C under sterile conditions after reconstitution.

Background: IFN-gamma

Interferon-gamma (IFN-gamma, IFNG), also known as type II or Immune Interferon, exerts a wide range of immunoregulatory activities and is considered to be the prototype proinflammatory cytokine. Mature human IFN-gamma exists as a non-covalently linked homodimer of 20-25 kDa molecular weight variably glycosylated subunits. It shares 86% amino acid (aa) sequence identity with rat IFN-gamma, 38-44% with bovine, canine, cotton rat, equine, feline, human, porcine and rhesus IFN‑ gamma. IFN-gamma dimers bind to IFN-gamma RI (alpha subunits) which then interact with IFN-gamma RII (beta subunits) to form the functional receptor complex of two alpha and two beta subunits. Inclusion of IFN-gamma RII increases the binding affinity for ligand and the efficiency of signal transduction. IFN-gamma is produced by a variety of immune cells under inflammatory conditions, notably by T cells and NK cells. It plays a key function in host defense by promoting the development and activation of Th1 cells, chemoattraction and activation of monocytes and macrophages, up‑regulation of antigen presentation molecules, and immunoglobulin class switching in B cells. It also exhibits antiviral, antiproliferative, and apoptotic effects. In addition, IFN-gamma functions as an anti-inflammatory mediator by promoting the development of regulatory T cells and inhibiting Th17 cell differentiation. The pleiotropic effects of IFN-gamma contribute to the development of multiple aspects of atherosclerosis.

Long Name

Interferon gamma

Alternate Names

IFG, IFI, IFNG, IFNgamma

Entrez Gene IDs

3458 (Human); 15978 (Mouse); 25712 (Rat); 396991 (Porcine); 281237 (Bovine); 403801 (Canine); 493965 (Feline)

Gene Symbol

IFNG

Additional IFN-gamma Products

Product Documents for Mouse IFN-gamma Antibody

Certificate of Analysis

To download a Certificate of Analysis, please enter a lot number in the search box below.

Note: Certificate of Analysis not available for kit components.

Product Specific Notices for Mouse IFN-gamma Antibody

For research use only

Loading...
Loading...
Loading...
Loading...
Loading...