Skip to main content

Key Product Details

Species Reactivity

Validated:

Mouse

Cited:

Human, Mouse, Rat, Transgenic Mouse

Applications

Validated:

Immunohistochemistry, Western Blot, Blockade of Receptor-ligand Interaction, Immunocytochemistry

Cited:

Immunohistochemistry, Immunohistochemistry-Paraffin, Immunohistochemistry-Frozen, Western Blot, Neutralization, Flow Cytometry, Immunocytochemistry, Immunoprecipitation, ELISA Development, ELISA Development (Capture)

Label

Unconjugated

Antibody Source

Polyclonal Goat IgG

Product Specifications

Immunogen

S. frugiperda insect ovarian cell line Sf 21-derived recombinant mouse HGF R/c-MET
Glu25-Asn929
Accession # P16056

Specificity

Detects mouse HGF R/c-MET in direct ELISAs and Western blots. In direct ELISAs, approximately 10% cross-reactivity with recombinant human (rh) HGF R and less than 1% cross-reactivity with rhMSP R is observed.

Clonality

Polyclonal

Host

Goat

Isotype

IgG

Endotoxin Level

<0.10 EU per 1 μg of the antibody by the LAL method.

Scientific Data Images for Mouse HGFR/c-MET Antibody

HGF R/c-MET antibody in HT-29 and U937 Human Cell Lines by Immunocytochemistry (ICC).

HGF R/c‑MET in HT‑29 and U937 Human Cell Lines.

HGF R/c-MET was detected in immersion fixed HT-29 human colon adenocarcinoma cell line (positive control, left panel) and U937 human histiocytic lymphoma cell line (negative control, right panel) using Goat Anti-Mouse HGF R/c-MET Antigen Affinity-purified Polyclonal Antibody (Catalog # AF527) at 5 µg/mL for 3 hours at room temperature. Cells were stained using the NorthernLights™ 557-conjugated Anti-Goat IgG Secondary Antibody (red; Catalog # NL001) and counterstained with DAPI (blue). Specific staining was localized to plasma membrane. View our protocol for Fluorescent ICC Staining of Cells on Coverslips.
HGF R/c-MET antibody in Mouse Embryo by Immunohistochemistry (IHC-Fr).

HGF R/c‑MET in Mouse Embryo.

HGF R/c-MET was detected in immersion fixed frozen sections of mouse embryo (15 d.p.c.) using Goat Anti-Mouse HGF R/c-MET Antigen Affinity-purified Polyclonal Antibody (Catalog # AF527) at 15 µg/mL overnight at 4 °C. Tissue was stained using the Anti-Goat HRP-DAB Cell & Tissue Staining Kit (brown; Catalog # CTS008) and counterstained with hematoxylin (blue). Specific staining was localized to cytoplasm in muscle cells. View our protocol for Chromogenic IHC Staining of Frozen Tissue Sections.
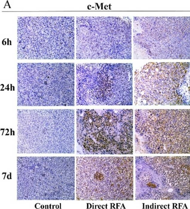
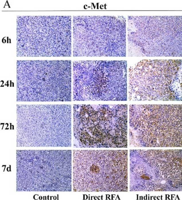
Detection of Mouse HGFR/c-MET by Immunohistochemistry

Detection of Mouse HGFR/c-MET by Immunohistochemistry

Assessment of pathologic findings obtained at 6 h, 24 h, 72 h and 7 days after treatment in different groups and the semi-quantitative analysis of c-Met (A-B), IL-6 (C-D) and HIF-alpha (E-F). The expression of c-Met increased after RFA and reached the peak at 72 h (> 50% positive rate) in both direct RFA and indirect RFA groups. The expression of IL-6 increased after RFA in the indirect RFA group and it was significantly higher than the direct RFA group from 6 h to 72 h after treatment. The expression of HIF-alpha was higher in the indirect RFA group than the direct RFA group from 6 h to 24 h after RFA. The bar graph showed the percentage of positive cells among the direct RFA group (blue), indirect RFA group (red) and control group (grey) at different time points after RFA. **P < 0.001. The representative microphotographs were under 200 × magnification (A, C, E) Image collected and cropped by CiteAb from the following open publication (https://pubmed.ncbi.nlm.nih.gov/35710408), licensed under a CC-BY license. Not internally tested by R&D Systems.

Applications for Mouse HGFR/c-MET Antibody

Application
Recommended Usage

Blockade of Receptor-ligand Interaction

In a functional ELISA, 0.3-1 µg/mL of this antibody will block 50% of the binding of 5 ng/mL of Recombinant Human HGF (Catalog # 256-GF) to immobilized Recombinant Mouse HGF R/c-MET Fc Chimera (Catalog # 527‑ME) coated at 1 µg/mL (100 µL/well). At 20 μg/mL, this antibody will block >90% of the binding.

Immunocytochemistry

5-15 µg/mL
Sample: Immersion fixed HT-29 human colon adenocarcinoma cell line

Immunohistochemistry

5-15 µg/mL
Sample: Immersion fixed frozen sections of mouse embryo (15 d.p.c.)

Western Blot

0.1 µg/mL
Sample: Recombinant Mouse HGF R/c-MET Fc Chimera (Catalog # 527-ME)

Reviewed Applications

Read 5 reviews rated 4.4 using AF527 in the following applications:

Formulation, Preparation, and Storage

Purification

Antigen Affinity-purified

Reconstitution

Reconstitute at 0.2 mg/mL in sterile PBS. For liquid material, refer to CoA for concentration.

Reconstitution Buffer Available:
Size / Price
Qty
Loading...

Formulation

Lyophilized from a 0.2 μm filtered solution in PBS with Trehalose. *Small pack size (SP) is supplied either lyophilized or as a 0.2 µm filtered solution in PBS.

Shipping

Lyophilized product is shipped at ambient temperature. Liquid small pack size (-SP) is shipped with polar packs. Upon receipt, store immediately at the temperature recommended below.

Stability & Storage

Use a manual defrost freezer and avoid repeated freeze-thaw cycles.
  • 12 months from date of receipt, -20 to -70 °C as supplied.
  • 1 month, 2 to 8 °C under sterile conditions after reconstitution.
  • 6 months, -20 to -70 °C under sterile conditions after reconstitution.

Background: HGFR/c-MET

HGF R, also known as Met (from N-methyl-N’-nitro-N-nitrosoguanidine induced), is a glycosylated receptor tyrosine kinase that plays a central role in epithelial morphogenesis and cancer development. HGF R is synthesized as a single chain precursor which undergoes cotranslational proteolytic cleavage. This generates a mature HGF R that is a disulfide-linked dimer composed of a 50 kDa extracellular  alpha chain and a 145 kDa transmembrane beta chain (1, 2). The extracellular domain (ECD) contains a seven bladed beta-propeller sema domain, a cysteine-rich PSI/MRS, and four Ig-like E-set domains, while the cytoplasmic region includes the tyrosine kinase domain (3, 4). An alternately spliced form of mouse HGF R lacks a cytoplasmic juxtamembrane region important for regulation of signal transduction (5, 6). The sema domain, which is formed by both the alpha and beta chains of HGF R, mediates both ligand binding and receptor dimerization (3, 7). Ligand-induced tyrosine phosphorylation in the cytoplasmic region activates the kinase domain and provides docking sites for multiple SH2-containing molecules (8, 9). HGF stimulation induces HGF R downregulation via internalization and proteasome-dependent degradation (10). In the absence of ligand, HGF R forms non-covalent complexes with a variety of membrane proteins including CD44v6, CD151, EGF R, Fas, integrin  alpha6/ beta4, plexins B1, 2, 3, and MSP R/Ron (11-18). Ligation of one complex component triggers activation of the other, followed by cooperative signaling effects (11-18). Formation of some of these heteromeric complexes is a requirement for epithelial cell morphogenesis and tumor cell invasion (11, 15, 16). Paracrine induction of epithelial cell scattering and branching tubulogenesis results from the stimulation of HGF R on undifferentiated epithelium by HGF released from neighboring mesenchymal cells (19). Genetic polymorphisms, chromosomal translocation,
over-expression, and additional splicing and proteolytic cleavage of HGF R have been described in a wide range of cancers (1). Within the ECD, mouse HGF R shares 87%, 87%, and 94% amino acid sequence identity with canine, human, and rat HGF R, respectively.

References

  1. Birchmeier, C. et al. (2003) Nat. Rev. Mol. Cell Biol. 4:915.
  2. Corso, S. et al. (2005) Trends Mol. Med. 11:284.
  3. Gherardi, E. et al. (2003) Proc. Natl. Acad. Sci. USA 100:12039.
  4. Chan, A.M. et al. (1988) Oncogene 2:593.
  5. Lee, C.-C. and K.M. Yamada (1994) J. Biol. Chem. 269:19457.
  6. Lee, C.-C., et al. (1995) J. Biol. Chem. 270:507.
  7. Kong-Beltran, M. et al. (2004) Cancer Cell 6:75.
  8. Naldini, L. et al. (1991) Mol. Cell. Biol. 11:1793.
  9. Ponzetto, C. et al. (1994) Cell 77:261.
  10. Jeffers, M. et al. (1997) Mol. Cell. Biol. 17:799.
  11. Orian-Rousseau, V. et al. (2002) Genes Dev. 16:3074.
  12. Klosek, S.K. et al. (2005) Biochem. Biophys. Res. Commun. 336:408.
  13. Jo, M. et al. (2000) J. Biol. Chem. 275:8806.
  14. Wang, X. et al. (2002) Mol. Cell 9:411.
  15. Trusolino, L. et al. (2001) Cell 107:643.
  16. Giordano, S. et al. (2002) Nat. Cell Biol. 4:720.
  17. Conrotto, P. et al. (2004) Oncogene 23:5131.
  18. Follenzi, A. et al. (2000) Oncogene 19:3041.
  19. Sonnenberg, E. et al. (1993) J. Cell Biol. 123:223.

Long Name

Hepatocyte Growth Factor Receptor

Alternate Names

c-MET, cMET, HGF R, MET

Entrez Gene IDs

4233 (Human); 17295 (Mouse); 102123512 (Cynomolgus Monkey)

Gene Symbol

MET

UniProt

Additional HGFR/c-MET Products

Product Documents for Mouse HGFR/c-MET Antibody

Certificate of Analysis

To download a Certificate of Analysis, please enter a lot number in the search box below.

Note: Certificate of Analysis not available for kit components.

Product Specific Notices for Mouse HGFR/c-MET Antibody

For research use only

Loading...
Loading...
Loading...
Loading...