Skip to main content

Mouse Fc gamma RIIIB/CD16b Antibody

R&D Systems, part of Bio-Techne | Catalog # MAB11667

Recombinant Monoclonal Antibody.
R&D Systems, part of Bio-Techne

Key Product Details

Species Reactivity

Mouse

Applications

Multiplex Immunofluorescence, Immunohistochemistry, Western Blot, Immunocytochemistry

Label

Unconjugated

Antibody Source

Recombinant Monoclonal Rabbit IgG Clone # 3163D

Product Specifications

Immunogen

Mouse myeloma cell line, NS0-derived mouse Fc gamma RIII (CD16)
Ala31-Thr215
Accession # P08508

Specificity

Detects recombinant mouse CD16 protein in Direct ELISA.

Clonality

Monoclonal

Host

Rabbit

Isotype

IgG

Scientific Data Images for Mouse Fc gamma RIIIB/CD16b Antibody

Detection of CD16 in Mouse Spleen via seqIF™ staining on COMET™

CD16 was detected in perfusion fixed frozen sections of mouse Spleen using Rabbit Anti-Mouse CD16, Monoclonal Antibody (Catalog #MAB11667) at 15ug/mL at 27 ° Celsius for 4 minutes. Before incubation with the primary antibody, tissue underwent preprocessing by incubating tissue with Multi Staining Buffer (Lunaphore Catalog # BU06) for 5 minutes at room temperature followed by a 20-minute incubation inTris-Buffered Saline + 0.2% Triton at room temperature. Tissue was stained using the Alexa Fluor™ Plus 647 Goat anti-Rabbit IgG Secondary Antibody at 1:200 at 37 ° Celsius for 2 minutes. (Yellow; Lunaphore Catalog # DR647RB) and counterstained with DAPI (blue; Lunaphore Catalog # DR100). Specific staining was localized to the cytoplasm and membrane. Protocol available in COMET™ Panel Builder.

Detection of Mouse Fc gamma RIIIB/CD16b by Western Blot.

Western Blot shows lysates of mouse spleen tissue. PVDF membrane was probed with 2 µg/ml of Rabbit Anti-Mouse Fc gamma RIIIB/CD16b Monoclonal Antibody (Catalog # MAB11667) followed by HRP-conjugated Anti-Rabbit IgG Secondary Antibody (Catalog # HAF008). A specific band was detected for Fc gamma RIIIB/CD16b at approximately 40-60 kDa (as indicated). This experiment was conducted under reducing conditions and using Western Blot Buffer Group 1.

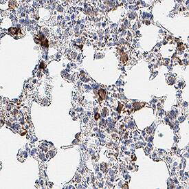
Detection of Fc gamma RIIIB/CD16b in Mouse Liver.

Fc gamma RIIIB/CD16b was detected in immersion fixed paraffin-embedded sections of mouse liver using Rabbit Anti-Mouse Fc gamma RIIIB/CD16b Monoclonal Antibody (Catalog # MAB11667) at 0.1 µg/ml for 1 hour at room temperature followed by incubation with the Anti-Rabbit IgG VisUCyte™ HRP Polymer Antibody (Catalog # VC003) or the HRP-conjugated Anti-Rabbit IgG Secondary Antibody (Catalog # HAF008). Before incubation with the primary antibody, tissue was subjected to heat-induced epitope retrieval using VisUCyte Antigen Retrieval Reagent-Basic (Catalog # VCTS021). Tissue was stained using DAB (brown) and counterstained with hematoxylin (blue). Specific staining was localized to the cell surface of Kupffer cells. View our protocol for IHC Staining with VisUCyte HRP Polymer Detection Reagents.

Applications for Mouse Fc gamma RIIIB/CD16b Antibody

Application
Recommended Usage

Immunocytochemistry

1-10 µg/mL
Sample: Immersion fixed RAW264.7 mouse monocyte/macrophage cell line and NIH-3T3 mouse embryonic fibroblast cell line

Immunohistochemistry

0.1-10 µg/mL
Sample: Immersion fixed paraffin-embedded sections of mouse thymus, mouse liver and mouse lung

Multiplex Immunofluorescence

15 µg/mL
Sample: Perfusion fixed frozen sections of mouse spleen

Western Blot

2 µg/mL
Sample: Mouse spleen tissue

Formulation, Preparation, and Storage

Purification

Protein A or G purified from hybridoma culture supernatant

Reconstitution

Reconstitute lyophilized material at 0.2 mg/ml in sterile PBS. For liquid material, refer to CoA for concentration.

Reconstitution Buffer Available:
Size / Price
Qty
Loading...

Formulation

Lyophilized from a 0.2 μm filtered solution in PBS with Trehalose.

Shipping

The product is shipped at ambient temperature. Upon receipt, store it immediately at the temperature recommended below.

Stability & Storage

Use a manual defrost freezer and avoid repeated freeze-thaw cycles.
  • 12 months from date of receipt, -20 to -70 °C as supplied.
  • 1 month, 2 to 8 °C under sterile conditions after reconstitution.
  • 6 months, -20 to -70 °C under sterile conditions after reconstitution.

Background: Fc gamma RIIIB/CD16b

Receptors for the Fc region of IgG (Fc gamma Rs) are members of the Ig superfamily that function in the activation or inhibition of immune responses such as degranulation, phagocytosis, ADCC (antibody‑dependent cellular toxicity), cytokine release, and B cell proliferation (1-3). The Fc gamma Rs have been divided into three classes based on close relationships in their extracellular domains; these groups are designated Fc gamma RI (also known as CD64), Fc gamma RII (CD32), and Fc gamma RIII (CD16). Each group may be encoded by multiple genes and exist in different isoforms depending on species and cell type. The CD64 proteins are high affinity receptors (~10-8-10-9 M) capable of binding monomeric IgG, whereas the CD16 and CD32 proteins bind IgG with lower affinities (~10-6-10-7 M) only recognizing IgG aggregates surrounding multivalent antigens (1, 4). Fc gamma Rs that deliver an activating signal either have an intrinsic immunoreceptor tyrosine-based activation motif (ITAM) within their cytoplasmic domains or associate with one of the ITAM-bearing adapter subunits, Fc R gamma or zeta (3, 5). The only inhibitory member in human and mouse, Fc gamma RIIb, has an intrinsic cytoplasmic immunoreceptor tyrosine-based inhibitory motif (ITIM). The coordinated functioning of activating and inhibitory receptors is necessary for successful initiation, amplification, and termination of immune responses (5).

Mouse CD16 is encoded by a single gene. The protein product is a type I transmembrane protein having two extracellular Ig-like domains. It is expressed on a variety of myeloid and lymphoid cells (4) and associates with Fc R gamma to deliver an activating signal upon ligand binding (5). Mouse CD32 is closely related to mouse CD16 throughout its extracellular domain (95% amino acid sequence identity), but has a divergent cytoplasmic domain and functions as an inhibitory receptor. Together these proteins constitute an activating/inhibiting receptor pair to regulate immune responses (5).

References

  1. van de Winkel, J. and P. Capes (1993) Immunol. Today 14:215. 
  2. Raghaven, M. and P. Bjorkman (1996) Annu. Rev. Cell Dev. Biol. 12:181. 
  3. Ravetch, J. and S. Bolland (2001) Annu. Rev. Immunol. 19:275.
  4. Takai, T. (2002) Nature Rev. Immunol. 2:580.
  5. Ravetch, J. and L. Lanier (2000) Science 290:84.

Long Name

Fc gamma Receptor III

Alternate Names

CD16b, FCG3, FCGR3B, FcgRIIIB, FcR-10, FCRIIIB, IGFR3

Entrez Gene IDs

2215 (Human); 14131 (Mouse)

Gene Symbol

FCGR3B

UniProt

Additional Fc gamma RIIIB/CD16b Products

Product Documents for Mouse Fc gamma RIIIB/CD16b Antibody

Certificate of Analysis

To download a Certificate of Analysis, please enter a lot number in the search box below.

Note: Certificate of Analysis not available for kit components.

Product Specific Notices for Mouse Fc gamma RIIIB/CD16b Antibody

For research use only

Loading...
Loading...
Loading...
Loading...