Skip to main content

Key Product Details

Species Reactivity

Validated:

Mouse

Cited:

Mouse

Applications

Validated:

Immunohistochemistry, Immunocytochemistry

Cited:

Immunohistochemistry

Label

Unconjugated

Antibody Source

Monoclonal Rat IgG2A Clone # 1050502

Product Specifications

Immunogen

E. coli-derived mouse CXCL10/IP-10/CRG-2 protein
Ile22-Pro98
Accession # Q548V9

Specificity

Detects mouse CXCL10/IP-10/CRG-2 in direct and capture Elisas.

Clonality

Monoclonal

Host

Rat

Isotype

IgG2A

Scientific Data Images for Mouse CXCL10/IP-10/CRG-2 Antibody

Detection of CXCL10/IP-10/CRG-2 in mouse mIMCD3 cell line.

CXCL10/IP-10/CRG-2 was detected in immersion fixed mIMCD3 (positive) or C2C12 (negative) mouse cell line using Rat Anti-Mouse CXCL10/IP-10/CRG-2 Monoclonal Antibody (Catalog # MAB4661) at 3 µg/mL for 3 hours at room temperature. Cells were stained using the NorthernLights™ 557-conjugated Anti-Rat IgG Secondary Antibody (red; NL013) and counterstained with DAPI (blue). Specific staining was localized to cytoplasm. Staining was performed using our protocol for Fluorescent ICC Staining of Adherent Cells.

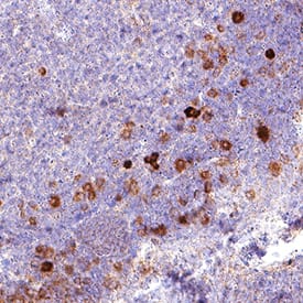
Detection of CXCL10/IP-10/CRG-2 in Mouse Thymus

CXCL10/IP-10/CRG-2 was detected in immersion fixed paraffin-embedded sections of Mouse Thymus using Rat Anti-Mouse CXCL10/IP-10/CRG-2 Monoclonal Antibody (Catalog # MAB4661) at 15 µg/mL for 1 hour at room temperature followed by incubation with the Anti-Rat IgG VisUCyte™ HRP Polymer Antibody (VCTS005). Before incubation with the primary antibody, tissue was subjected to heat-induced epitope retrieval using VisUCyte Antigen Retrieval Reagent-Basic (VCTS022). Tissue was stained using DAB (brown) and counterstained with hematoxylin (blue). Specific staining was localized to lymphocytes. View our protocol for Chromogenic IHC Staining of Paraffin-embedded Tissue Sections.

Applications for Mouse CXCL10/IP-10/CRG-2 Antibody

Application
Recommended Usage

Immunocytochemistry

3-25 µg/mL
Sample: Immersion fixed mIMCD3 mouse cell line

Immunohistochemistry

3-25 µg/mL
Sample: Immersion fixed paraffin-embedded sections of Mouse Thymus

Formulation, Preparation, and Storage

Purification

Protein A or G purified from hybridoma culture supernatant

Reconstitution

Reconstitute at 0.5 mg/mL in sterile PBS. For liquid material, refer to CoA for concentration.

Reconstitution Buffer Available:
Size / Price
Qty
Loading...

Formulation

Lyophilized from a 0.2 μm filtered solution in PBS with Trehalose. *Small pack size (SP) is supplied either lyophilized or as a 0.2 µm filtered solution in PBS.

Shipping

Lyophilized product is shipped at ambient temperature. Liquid small pack size (-SP) is shipped with polar packs. Upon receipt, store immediately at the temperature recommended below.

Stability & Storage

Use a manual defrost freezer and avoid repeated freeze-thaw cycles.
  • 12 months from date of receipt, -20 to -70 °C as supplied.
  • 1 month, 2 to 8 °C under sterile conditions after reconstitution.
  • 6 months, -20 to -70 °C under sterile conditions after reconstitution.

Background: CXCL10/IP-10/CRG-2

The gene for CRG-2, a mouse homolog of human IP-10, was originally identified as an immediate early gene induced in response to macrophage activation. It has since been shown that CRG-2 mRNA is induced by alpha / beta / gamma -interferons and by lipopolysaccharide in macrophages, astrocytes and microglia. Human IP-10 was also shown to be expressed in activated T-lymphocytes, splenocytes, keratinocytes, osteoblasts, astrocytes, and smooth muscle cells. Mouse CRG-2 cDNA encodes a 98 amino acid (aa) residue precursor protein with a 21 aa residue signal peptide that is cleaved to form the 77 aa residue secreted mature protein. Mature CRG-2 shares approximately 67% amino acid sequence identity with human IP-10. The amino acid sequence of CRG-2 identified the protein as a member of the chemokine alpha subfamily that lacks the ELR domain. CRG-2 has been shown to be a chemoattractant for activated T-lymphocytes. Recently, human IP-10 has also been reported to be a potent inhibitor of angiogenesis and to display a potent thymus-dependent anti-tumor effect. A chemokine receptor specific for IP-10 and MIG (CXCR3) has been cloned and shown to be highly expressed in IL-2-activated T-lymphocytes.

References

  1. Loetscher, M. et al. (1996) J. Exp. Med. 184:963.
  2. Vanguri, P. (1996) J. Neuroimmunol. 56:35.
  3. Sgadari, C. et al. (1996) Blood, 87:3877.

Alternate Names

CRG-2, CRG2, IP-10

Entrez Gene IDs

3627 (Human); 15945 (Mouse)

Gene Symbol

CXCL10

UniProt

Additional CXCL10/IP-10/CRG-2 Products

Product Documents for Mouse CXCL10/IP-10/CRG-2 Antibody

Certificate of Analysis

To download a Certificate of Analysis, please enter a lot number in the search box below.

Note: Certificate of Analysis not available for kit components.

Product Specific Notices for Mouse CXCL10/IP-10/CRG-2 Antibody

For research use only

Loading...
Loading...
Loading...
Loading...