Skip to main content

Key Product Details

Species Reactivity

Validated:

Mouse

Cited:

Human, Mouse

Applications

Validated:

Immunohistochemistry, Western Blot

Cited:

Immunohistochemistry, Western Blot

Label

Unconjugated

Antibody Source

Polyclonal Sheep IgG

Product Specifications

Immunogen

Mouse myeloma cell line NS0-derived recombinant mouse CTHRC1
Ser33-Lys245
Accession # Q3UAP6

Specificity

Detects mouse CTHRC1 in direct ELISAs and Western blots.

Clonality

Polyclonal

Host

Sheep

Isotype

IgG

Scientific Data Images for Mouse CTHRC1 Antibody

Detection of Mouse CTHRC1 antibody by Western Blot.

Detection of Mouse CTHRC1 by Western Blot.

Western blot shows lysates of NIH-3T3 mouse embryonic fibroblast cell line. PVDF membrane was probed with 1 µg/mL of Mouse CTHRC1 Antigen Affinity-purified Polyclonal Antibody (Catalog # AF5960) followed by HRP-conjugated Anti-Sheep IgG Secondary Antibody (Catalog # HAF016). A specific band was detected for CTHRC1 at approximately 30 kDa (as indicated). This experiment was conducted under reducing conditions and using Immunoblot Buffer Group 8.

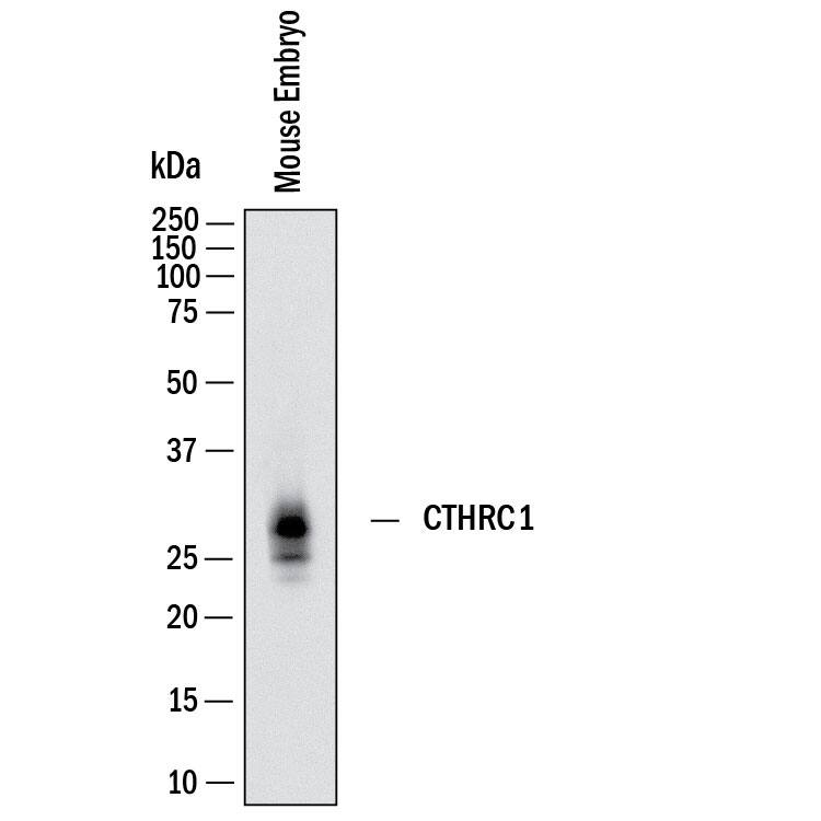
Detection of Mouse CTHRC1 by Western Blot.

Western Blot shows lysates of mouse embryo. PVDF membrane was probed with 1 µg/ml of Sheep Anti-Mouse CTHRC1 Antigen Affinity-purified Polyclonal Antibody (Catalog # AF5960) followed by HRP-conjugated Anti-Sheep IgG Secondary Antibody (Catalog # HAF016). A specific band was detected for CTHRC1 at approximately 30 kDa (as indicated). This experiment was conducted under reducing conditions and using Western Blot Buffer Group 1.
CTHRC1 antibody in Mouse Embryo by Immunohistochemistry (IHC-Fr).

CTHRC1 in Mouse Embryo.

CTHRC1 was detected in immersion fixed frozen sections of mouse embryo (E13.5) using Mouse CTHRC1 Antigen Affinity-purified Polyclonal Antibody (Catalog # AF5960) at 15 µg/mL overnight at 4 °C. Tissue was stained using the Anti-Sheep HRP-DAB Cell & Tissue Staining Kit (brown; Catalog # CTS019) and counterstained with hematoxylin (blue). Specific staining was localized to cytoplasm. View our protocol for Chromogenic IHC Staining of Frozen Tissue Sections.

Applications for Mouse CTHRC1 Antibody

Application
Recommended Usage

Immunohistochemistry

5-15 µg/mL
Sample: Immersion fixed frozen sections of mouse embryo (E13.5)

Western Blot

1 µg/mL
Sample: NIH‑3T3 mouse embryonic fibroblast cell line, mouse embryo tissue

Formulation, Preparation, and Storage

Purification

Antigen Affinity-purified

Reconstitution

Reconstitute at 0.2 mg/mL in sterile PBS. For liquid material, refer to CoA for concentration.

Reconstitution Buffer Available:
Size / Price
Qty
Loading...

Formulation

Lyophilized from a 0.2 μm filtered solution in PBS with Trehalose. See Certificate of Analysis for details.
*Small pack size (-SP) is supplied either lyophilized or as a 0.2 µm filtered solution in PBS.

Shipping

Lyophilized product is shipped at ambient temperature. Liquid small pack size (-SP) is shipped with polar packs. Upon receipt, store immediately at the temperature recommended below.

Stability & Storage

Use a manual defrost freezer and avoid repeated freeze-thaw cycles.
  • 12 months from date of receipt, -20 to -70 °C as supplied.
  • 1 month, 2 to 8 °C under sterile conditions after reconstitution.
  • 6 months, -20 to -70 °C under sterile conditions after reconstitution.

Background: CTHRC1

CTHRC1 (Collagen triple helix repeat-containing protein 1) is a 28-30 kDa, secreted glycoprotein that bears similarity to the C1q/TNF alpha-related family of proteins. It is expressed by disparate cell types, including renal epithelium, neurons, osteoblasts, and smooth muscle cells. Functionally, it is recognized to be induced by BMP-2 and to block TGF beta-induced collagen type I and III synthesis. Mouse CTHRC1 is 245 amino acids in length. It contains a 32 amino acid (aa) signal sequence, a 16 aa prosegment (aa 33-48), and a 197 aa mature region that shows one collagen-like domain (aa 59-92). Proteolytic processing may generate multiple CTHRC1 isoforms. There is the potential for an intracellular full-length 33 kDa, 245 aa form, plus extracellular isoforms that are 28 kDa (aa 33-245), 26 kDa (aa 49-245), 20 kDa (aa 98‑245) and 18 kDa and 16 kDa in size, the last two representing variants of the 20 kDa form with C-terminal processing. CTHRC1 may undergo dimerization, trimerization and oligomerization. One mouse splice variant shows a deletion of aa 53-126. Full-length mouse CTHRC1 shares 99% and 93% aa sequence identity with rat and human CTHRC1, respectively.

Long Name

Collagen Triple Helix Repeat Containing 1

Alternate Names

NMTC1

Entrez Gene IDs

115908 (Human); 68588 (Mouse); 282836 (Rat)

Gene Symbol

CTHRC1

UniProt

Additional CTHRC1 Products

Product Documents for Mouse CTHRC1 Antibody

Certificate of Analysis

To download a Certificate of Analysis, please enter a lot number in the search box below.

Note: Certificate of Analysis not available for kit components.

Product Specific Notices for Mouse CTHRC1 Antibody

For research use only

Loading...
Loading...
Loading...
Loading...