Skip to main content

Key Product Details

Species Reactivity

Validated:

Mouse

Cited:

Mouse

Applications

Validated:

Immunohistochemistry, Western Blot, Flow Cytometry, Immunoprecipitation, CyTOF-ready

Cited:

Immunohistochemistry, Immunohistochemistry-Paraffin, Western Blot, Immunocytochemistry

Label

Unconjugated

Antibody Source

Polyclonal Sheep IgG

Product Specifications

Immunogen

Mouse myeloma cell line NS0-derived recombinant mouse CD39/ENTPD1
Thr38-Ile478
Accession # Q921Q6

Specificity

Detects mouse CD39/ENTPD1 in direct ELISAs and Western blots. In direct ELISAs, approximately 5% cross-reactivity with recombinant human CD39 is observed.

Clonality

Polyclonal

Host

Sheep

Isotype

IgG

Scientific Data Images for Mouse CD39/ENTPD1 Antibody

Detection of CD39/ENTPD1 antibody in Mouse Splenocytes antibody by Flow Cytometry.

Detection of CD39/ENTPD1 in Mouse Splenocytes by Flow Cytometry.

Mouse splenocytes were stained with Mouse CD39/ENTPD1 Antigen Affinity-purified Polyclonal Antibody (Catalog # AF4398, filled histogram) or control antibody (Catalog # 5-001-A, open histogram), followed by NorthernLights™ 637-conjugated Anti-Sheep IgG Secondary Antibody (Catalog # NL011).
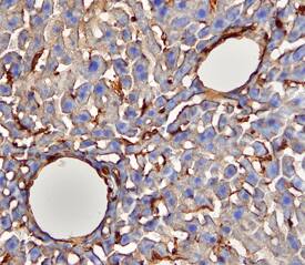
CD39/ENTPD1 antibody in Mouse Liver by Immunohistochemistry (IHC-Fr).

CD39/ENTPD1 in Mouse Liver.

CD39/ENTPD1 was detected in perfusion fixed frozen sections of mouse liver using Mouse CD39/ENTPD1 Antigen Affinity-purified Polyclonal Antibody (Catalog # AF4398) at 15 µg/mL overnight at 4 °C. Tissue was stained using the Anti-Sheep HRP-DAB Cell & Tissue Staining Kit (brown; Catalog # CTS019) and counterstained with hematoxylin (blue). View our protocol for Chromogenic IHC Staining of Frozen Tissue Sections.

Applications for Mouse CD39/ENTPD1 Antibody

Application
Recommended Usage

CyTOF-ready

Ready to be labeled using established conjugation methods. No BSA or other carrier proteins that could interfere with conjugation.

Flow Cytometry

2.5 µg/106 cells
Sample: Mouse splenocytes

Immunohistochemistry

5-15 µg/mL
Sample: Perfusion fixed frozen sections of mouse liver

Immunoprecipitation

25 µg/mL
Sample: Conditioned cell culture medium spiked with Recombinant Mouse CD39/ENTPD1 (Catalog # 4398-EN), see our available Western blot detection antibodies

Western Blot

0.1 µg/mL
Sample: Recombinant Mouse CD39/ENTPD1 (Catalog # 4398-EN)

Formulation, Preparation, and Storage

Purification

Antigen Affinity-purified

Reconstitution

Reconstitute at 0.2 mg/mL in sterile PBS. For liquid material, refer to CoA for concentration.

Reconstitution Buffer Available:
Size / Price
Qty
Loading...

Formulation

Lyophilized from a 0.2 μm filtered solution in PBS with Trehalose. *Small pack size (SP) is supplied either lyophilized or as a 0.2 µm filtered solution in PBS.

Shipping

Lyophilized product is shipped at ambient temperature. Liquid small pack size (-SP) is shipped with polar packs. Upon receipt, store immediately at the temperature recommended below.

Stability & Storage

Use a manual defrost freezer and avoid repeated freeze-thaw cycles.
  • 12 months from date of receipt, -20 to -70 °C as supplied.
  • 1 month, 2 to 8 °C under sterile conditions after reconstitution.
  • 6 months, -20 to -70 °C under sterile conditions after reconstitution.

Background: CD39/ENTPD1

Ectonucleoside triphosphate diphosphohydrolase-1 (NTPDase-1) is an integral membrane protein with an extracellular active site. Recombinant mouse NTPDase-1 was expressed as a protein lacking its N- and C-terminal transmembrane domains, resulting in the secretion of the soluble ectodomain. NTPDase-1 was originally described as CD39, a B lymphocyte cell surface marker (1), but it is also present on the surface of natural killer cells, T cells, and some endothelial cells (2). NTPDase-1 hydrolyzes the beta- and gamma phosphate residues of nucleotides, preferring ATP as the substrate. Through its hydrolysis of extracellular nucleotides, NTPDase-1 plays a role in the regulation of purinergic signaling (3). NTPDase-1 is involved in the processes of thromboregulation and vascular inflammation (4). The administration of soluble NTPDase-1 may have therapeutic applications for the treatment of some vascular and transplantation-associated diseases (5).

References

  1. Rowe, M. et al. (1982) Int. J. Cancer 29:373.
  2. Kansas, G.S. et al. (1991) J. Immunol. 146:2235.
  3. Kishore, B.K. et al. (2005) Am. J. Physiol. Renal Physiol. 288:F1032.
  4. Marcus, A.J. et al. (2005) Semin. Thromb. Hemost. 31:234.
  5. Robson, S.C. et al. (2005) Semin. Thromb. Hemost. 31:217.

Long Name

Ecto-Nucleoside Triphosphate Diphosphohydrolase 1

Alternate Names

ADPase, ATP-diphosphatase, CD39, ENTPD1, NTPD1

Entrez Gene IDs

953 (Human); 12495 (Mouse); 64519 (Rat); 102132860 (Cynomolgus Monkey)

Gene Symbol

ENTPD1

UniProt

Additional CD39/ENTPD1 Products

Product Documents for Mouse CD39/ENTPD1 Antibody

Certificate of Analysis

To download a Certificate of Analysis, please enter a lot number in the search box below.

Note: Certificate of Analysis not available for kit components.

Product Specific Notices for Mouse CD39/ENTPD1 Antibody

For research use only

Loading...
Loading...
Loading...
Loading...
Loading...