Skip to main content

Mouse CD163 Antibody

R&D Systems, part of Bio-Techne | Catalog # MAB11745

R&D Systems, part of Bio-Techne
Catalog #
Availability
Size / Price
Qty
Loading...
MAB11745-100
MAB11745-SP

Key Product Details

Species Reactivity

Mouse

Applications

Multiplex Immunofluorescence, Immunohistochemistry, Western Blot, COMET

Label

Unconjugated

Antibody Source

Monoclonal Rat IgG2B Clone # 1113338

Product Specifications

Immunogen

Synthetic Peptide
Accession # Q2VLH6

Specificity

Detects a synthetic peptide specific for mouse CD163 around amino acid 920 in Direct ELISA.

Clonality

Monoclonal

Host

Rat

Isotype

IgG2B

Scientific Data Images for Mouse CD163 Antibody

Detection of CD163 in Mouse Spleen via seqIF™ staining on COMET™

CD163 was detected in immersion fixed paraffin-embedded sections of mouse spleen using Rat Anti-Mouse CD163, Monoclonal Antibody (Catalog # MAB11745) at 3 μg/mL at 37° Celsius for 4 minutes. Before incubation with the primary antibody, tissue underwent an all-in-one dewaxing and antigen retrieval preprocessing using PreTreatment Module (PT Module) and Dewax and HIER Buffer H (pH 9; Epredia Catalog # TA-999-DHBH).Tissue was stained using the Alexa Fluor™ 647 Goat anti-Rat IgG Secondary Antibody at 1:200 at 37 ° Celsius for 2 minutes. (Yellow; Lunaphore Catalog # DR647RT) and counterstained with DAPI (blue; Lunaphore Catalog # DR100). Specific staining was localized to the cytoplasm. Protocol available in COMET™ Panel Builder.

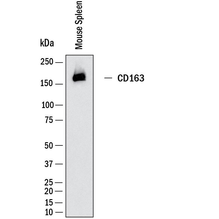
Detection of Mouse CD163 by Western Blot.

Western Blot shows lysates of mouse spleen tissue. PVDF membrane was probed with 2 µg/ml of Rat Anti-Mouse CD163 Monoclonal Antibody (Catalog # MAB11745) followed by HRP-conjugated Anti-Rat IgG Secondary Antibody (Catalog # HAF005). A specific band was detected for CD163 at approximately 160 kDa (as indicated). This experiment was conducted under reducing conditions and using Western Blot Buffer Group 1.

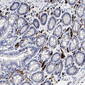
Detection of CD163 in Mouse Colon.

CD163 was detected in perfusion fixed paraffin-embedded sections of mouse colon using Rat Anti-Mouse CD163 Monoclonal Antibody (Catalog # MAB11745) at 5 µg/ml overnight at 4 °C. Before incubation with the primary antibody, tissue was subjected to heat-induced epitope retrieval using VisUCyte Antigen Retrieval Reagent-Basic (Catalog # VCTS021). Tissue was stained using the HRP-conjugated Anti-Rat IgG Secondary Antibody (Catalog # HAF005) and counterstained with hematoxylin (blue). Specific staining was localized to the cell surface. View our protocol for Chromogenic IHC Staining of Paraffin-embedded Tissue Sections.

Applications for Mouse CD163 Antibody

Application
Recommended Usage

COMET

Immunohistochemistry

3-25 µg/mL
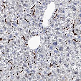
Sample: Perfusion fixed paraffin-embedded sections of mouse colon and mouse liver

Multiplex Immunofluorescence

3 µg/mL
Sample: Immersion fixed paraffin-embedded sections of mouse spleen

Western Blot

2 µg/mL
Sample: Mouse spleen

Formulation, Preparation, and Storage

Purification

Protein A or G purified from hybridoma culture supernatant

Reconstitution

Reconstitute lyophilized material at 0.2 mg/ml in sterile PBS. For liquid material, refer to CoA for concentration.

Reconstitution Buffer Available:
Size / Price
Qty
Loading...

Formulation

Lyophilized from a 0.2 μm filtered solution in PBS with Trehalose.

Shipping

Lyophilized product is shipped at ambient temperature. Liquid small pack size (-SP) is shipped with polar packs. Upon receipt, store immediately at the temperature recommended below.

Stability & Storage

Use a manual defrost freezer and avoid repeated freeze-thaw cycles.
  • 12 months from date of receipt, -20 to -70 °C as supplied.
  • 1 month, 2 to 8 °C under sterile conditions after reconstitution.
  • 6 months, -20 to -70 °C under sterile conditions after reconstitution.

Background: CD163

CD163, also known as M130 and  p155, is a 130-160 kDa type I transmembrane protein belonging to group B of the cysteine-rich scavenger receptor family (1). Mature mouse CD163 consists of a 1007 amino acid (aa) extracellular domain (ECD) with 9 scavenger receptor cysteine-rich (SRCR) domains, a 21 aa transmembrane segment, and a 55 aa cytoplasmic domain (2). Alternative splicing of mouse CD163 generates an isoform with a substitution in the cytoplasmic region. Within the ECD, mouse CD163 shares 75% and 90% aa sequence identity with human and rat CD163, respectively. CD163 is expressed on monocytes and macrophages and is inducible by immunosuppressant glucocorticoids and IL-10 (3-5). A soluble form is shed from the cell surface by TACE or neutrophil elastase mediated cleavage (6, 7) in response to oxidative stress, Prostaglandin F2a stimulation, or the activation of Fc gamma receptors, TLR1, 2, 5, or 6 (8-10). CD163 mediates monocyte binding to bacteria, leading to the release of inflammatory cytokines (11). It is essential for the circulatory clearance of hemoglobin-haptoglobin (Hb-Hp) complexes as well as free hemoglobin (12, 13). It can also mediate monocyte-erythroblast adhesion and promote erythroblast expansion (14). CD163 binds and internalizes the cytokine TWEAK, and the ratio of soluble CD163 to TWEAK in the plasma is elevated during atherosclerosis (15, 16).

References

  1. Kowal, K. et al. (2011) Folia Histochem. Cytobiol. 49:365.
  2. Law, S.K.A. et al. (1993) Eur. J. Immunol. 23:2320.
  3. Hogger, P. et al. (1998) J. Immunol. 161:1883.
  4. Sulahian, T.H. et al. (2000) Cytokine 12:1312.
  5. Buechler, C. et al. (2000) J. Leukoc. Biol. 67:97.
  6. Etzerodt, A. et al. (2010) J. Leukoc. Biol. 88:1201.
  7. Moreno, J.A. et al. (2012) Eur. Heart J. 33:252.
  8. Weaver, L.K. et al. (2006) J. Leukoc. Biol. 80:26.
  9. Timmermann, M. and P. Hogger (2005) Free Radic. Biol. Med. 39:98.
  10. Sulahian, T.H. et al. (2004) J. Leukoc. Biol. 76:271.
  11. Fabriek, B.O. et al. (2009) Blood 113:887.
  12. Kristiansen, M. et al. (2001) Nature 409:198.
  13. Schaer, D.J. et al. (2006) Blood 107:373.
  14. Fabriek, B.O. et al. (2007) Blood 109:5223.
  15. Bover, L.C. et al. (2007) J. Immunol. 178:8183.
  16. Moreno, J.A. et al. (2009) Atherosclerosis 207:103.

Alternate Names

CD163, GHI/61, HbSR, M130, RM3/1

Entrez Gene IDs

9332 (Human); 93671 (Mouse); 312701 (Rat)

Gene Symbol

CD163

UniProt

Additional CD163 Products

Product Documents for Mouse CD163 Antibody

Certificate of Analysis

To download a Certificate of Analysis, please enter a lot number in the search box below.

Note: Certificate of Analysis not available for kit components.

Product Specific Notices for Mouse CD163 Antibody

For research use only

Loading...
Loading...
Loading...
Loading...