Skip to main content

Mouse CCR6 Antibody

R&D Systems, part of Bio-Techne | Catalog # MAB590

R&D Systems, part of Bio-Techne

Key Product Details

Species Reactivity

Validated:

Mouse

Cited:

Mouse

Applications

Validated:

Immunohistochemistry, Flow Cytometry, CyTOF-ready

Cited:

Immunohistochemistry, Immunohistochemistry-Frozen, Neutralization, Flow Cytometry, ELISA Development (Capture)

Label

Unconjugated

Antibody Source

Monoclonal Rat IgG2A Clone # 140706

Product Specifications

Immunogen

RBL-1 rat basophilic leukemia cell line transfected with mouse CCR6
Met1-Met367
Accession # O54689

Specificity

Detects mouse CCR6-transfected rat RBL cells but not the parent cell line or cells transfected with mouse CCR5.

Clonality

Monoclonal

Host

Rat

Isotype

IgG2A

Scientific Data Images for Mouse CCR6 Antibody

Detection of CCR6 antibody in Mouse Splenocytes antibody by Flow Cytometry.

Detection of CCR6 in Mouse Splenocytes by Flow Cytometry.

Mouse splenocytes were stained with (A) Rat Anti-Mouse CCR6 Monoclonal Antibody (Catalog # MAB590) or (B) Rat IgG2A control antibody (Catalog # MAB006) followed by Goat anti-Rat IgG APC-conjugated Secondary Antibody (Catalog # F0113) and Rat Anti-Mouse B220/CD45R Fluorescein-conjugated Monoclonal Antibody (Catalog # FAB1217F). View our protocol for Staining Membrane-associated Proteins.
CCR6 antibody in Mouse Thymus by Immunohistochemistry (IHC-Fr).

CCR6 in Mouse Thymus.

CCR6 was detected in perfusion fixed frozen sections of mouse thymus using Mouse CCR6 Monoclonal Antibody (Catalog # MAB590) at 8 µg/mL overnight at 4 °C. Tissue was stained using the Anti-Rat HRP-DAB Cell & Tissue Staining Kit (brown; Catalog # CTS017) and counterstained with hematoxylin (blue). Specific labeling was localized to the plasma membrane of lymphocytes. View our protocol for Chromogenic IHC Staining of Frozen Tissue Sections.
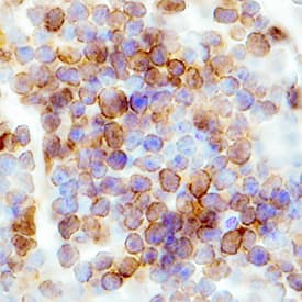
CCR6 antibody in Mouse Spleen by Immunohistochemistry (IHC-Fr).

CCR6 in Mouse Spleen.

CCR6 was detected in immersion fixed frozen sections of mouse spleen using Rat Anti-Mouse CCR6 Monoclonal Antibody (Catalog # MAB590) at 0.3 µg/mL overnight at 4 °C. Tissue was stained using the Anti-Rat HRP-DAB Cell & Tissue Staining Kit (brown; Catalog # CTS017) and counterstained with hematoxylin (blue). Specific staining was localized to plasma membranes in lymphocytes. View our protocol for Chromogenic IHC Staining of Frozen Tissue Sections.

Applications for Mouse CCR6 Antibody

Application
Recommended Usage

CyTOF-ready

Ready to be labeled using established conjugation methods. No BSA or other carrier proteins that could interfere with conjugation.

Flow Cytometry

0.25 µg/106 cells
Sample: Mouse splenocytes

Immunohistochemistry

8-25 µg/mL
Sample: Perfusion fixed frozen sections of mouse thymus, and immersion fixed frozen sections of mouse spleen

Reviewed Applications

Read 1 review rated 5 using MAB590 in the following applications:

Formulation, Preparation, and Storage

Purification

Protein A or G purified from hybridoma culture supernatant

Reconstitution

Reconstitute at 0.5 mg/mL in sterile PBS. For liquid material, refer to CoA for concentration.

Reconstitution Buffer Available:
Size / Price
Qty
Loading...

Formulation

Lyophilized from a 0.2 μm filtered solution in PBS with Trehalose. *Small pack size (SP) is supplied either lyophilized or as a 0.2 µm filtered solution in PBS.

Shipping

Lyophilized product is shipped at ambient temperature. Liquid small pack size (-SP) is shipped with polar packs. Upon receipt, store immediately at the temperature recommended below.

Stability & Storage

Use a manual defrost freezer and avoid repeated freeze-thaw cycles.
  • 12 months from date of receipt, -20 to -70 °C as supplied.
  • 1 month, 2 to 8 °C under sterile conditions after reconstitution.
  • 6 months, -20 to -70 °C under sterile conditions after reconstitution.

Background: CCR6

CCR6 is a seven transmembrane-spanning G protein-coupled receptor that binds the chemokine MIP-3 alpha and mediates the chemoattraction of B and T lymphocytes.

Alternate Names

CC-CKR-6, CCR6, CD196, CKR-L3, CKRL3, CMKBR6, DRY6, GPR-CY4, GPR29, GPRCY4, STRL22

Entrez Gene IDs

1235 (Human); 12458 (Mouse); 308163 (Rat)

Gene Symbol

CCR6

UniProt

Additional CCR6 Products

Product Documents for Mouse CCR6 Antibody

Certificate of Analysis

To download a Certificate of Analysis, please enter a lot number in the search box below.

Note: Certificate of Analysis not available for kit components.

Product Specific Notices for Mouse CCR6 Antibody

For research use only

Loading...
Loading...
Loading...
Loading...
Loading...