Skip to main content

Mouse CCL4/MIP-1 beta Antibody

R&D Systems, part of Bio-Techne | Catalog # AF-451-NA

R&D Systems, part of Bio-Techne

Key Product Details

Validated by

Biological Validation

Species Reactivity

Validated:

Mouse

Cited:

Human, Mouse, Rat, Transgenic Mouse

Applications

Validated:

Immunohistochemistry, Western Blot, Neutralization, Immunocytochemistry

Cited:

Immunohistochemistry, Immunohistochemistry-Paraffin, Neutralization, Flow Cytometry, Immunocytochemistry, ELISA Development

Label

Unconjugated

Antibody Source

Polyclonal Goat IgG

Product Specifications

Immunogen

E. coli-derived recombinant mouse CCL4/MIP-1 beta
Ala24-Asn92
Accession # Q5QNV9

Specificity

Detects CCL4/MIP-1 beta in direct ELISAs and Western blots. In direct ELISAs, less than 5% cross-reactivity with recombinant human (rh) MIP-1 beta and recombinant mouse (rm) MIP-1 alpha is observed. This antibody will not neutralize the biological activity of rmMIP-1 alpha. In the chemotaxis assay this antibody will partially neutralize rhMIP-1 alpha and rhMIP-1 beta at a 10‑30 fold higher IgG concentration.

Clonality

Polyclonal

Host

Goat

Isotype

IgG

Endotoxin Level

<0.10 EU per 1 μg of the antibody by the LAL method.

Scientific Data Images for Mouse CCL4/MIP-1 beta Antibody

Detection of Mouse CCL4/MIP-1 beta antibody by Western Blot.

Detection of Mouse CCL4/MIP‑1 beta by Western Blot.

Western blot shows lysates of RAW 264.7 mouse monocyte/macrophage cell line untreated (-) or treated (+) with 10 µg/mL LPS for 4 hours. PVDF membrane was probed with 1 µg/mL of Goat Anti-Mouse CCL4/MIP-1 beta Antigen Affinity-purified Polyclonal Antibody (Catalog # AF-451-NA) followed by HRP-conjugated Anti-Goat IgG Secondary Antibody (Catalog # HAF017). A specific band was detected for CCL4/MIP-1 beta at approximately 12 kDa (as indicated). This experiment was conducted under reducing conditions and using Immunoblot Buffer Group 1.
CCL4/MIP-1 beta antibody in RAW 264 by Immunocytochemistry (ICC).7 Mouse Cell Line by Immunocytochemistry (ICC).

CCL4/MIP‑1 beta in RAW 264.7 Mouse Cell Line.

CCL4/MIP-1 beta was detected in immersion fixed RAW 264.7 mouse monocyte/macrophage cell line untreated (right panel) and treated with LPS (left panel) using Goat Anti-Mouse CCL4/MIP-1 beta Antigen Affinity-purified Polyclonal Antibody (Catalog # AF-451-NA) at 1.7 µg/mL for 3 hours at room temperature. Cells were stained using the NorthernLights™ 557-conjugated Anti-Goat IgG Secondary Antibody (red; Catalog # NL001) and counterstained with DAPI (blue). Specific staining was localized to cytoplasm. View our protocol for Fluorescent ICC Staining of Cells on Coverslips.
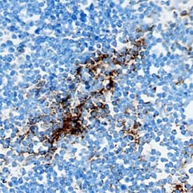
CCL4/MIP-1 beta antibody in Mouse Small Intestine by Immunohistochemistry (IHC-Fr).

CCL4/MIP‑1 beta in Mouse Small Intestine.

CCL4/MIP-1 beta was detected in perfusion fixed frozen sections of mouse small intestine using Goat Anti-Mouse CCL4/MIP-1 beta Antigen Affinity-purified Polyclonal Antibody (Catalog # AF-451-NA) at 1.7 µg/mL overnight at 4 °C. Tissue was stained using the Anti-Goat HRP-DAB Cell & Tissue Staining Kit (brown; Catalog # CTS008) and counterstained with hematoxylin (blue). Specific staining was localized to Peyer's patches. View our protocol for Chromogenic IHC Staining of Frozen Tissue Sections.

Applications for Mouse CCL4/MIP-1 beta Antibody

Application
Recommended Usage

Immunocytochemistry

1-15 µg/mL
Sample: Immersion fixed RAW&#160;264.7 mouse monocyte/macrophage cell line treated with LPS

Immunohistochemistry

1-15 µg/mL
Sample: Perfusion fixed frozen sections of mouse thymus and mouse small intestine

Western Blot

1 µg/mL
Sample: RAW 264.7 mouse monocyte/macrophage cell line treated with LPS

Neutralization

Measured by its ability to neutralize CCL4/MIP-1 beta-induced chemotaxis in the BaF3 mouse pro-B cell line transfected with human CCR5. The Neutralization Dose (ND50) is typically 0.2-1.0 µg/mL in the presence of 25 ng/mL Recombinant Mouse CCL4/MIP-1 beta.

Formulation, Preparation, and Storage

Purification

Antigen Affinity-purified

Reconstitution

Reconstitute at 0.2 mg/mL in sterile PBS. For liquid material, refer to CoA for concentration.

Reconstitution Buffer Available:
Size / Price
Qty
Loading...

Formulation

Lyophilized from a 0.2 μm filtered solution in PBS with Trehalose. *Small pack size (SP) is supplied either lyophilized or as a 0.2 µm filtered solution in PBS.

Shipping

Lyophilized product is shipped at ambient temperature. Liquid small pack size (-SP) is shipped with polar packs. Upon receipt, store immediately at the temperature recommended below.

Stability & Storage

Use a manual defrost freezer and avoid repeated freeze-thaw cycles.
  • 12 months from date of receipt, -20 to -70 °C as supplied.
  • 1 month, 2 to 8 °C under sterile conditions after reconstitution.
  • 6 months, -20 to -70 °C under sterile conditions after reconstitution.

Background: CCL4/MIP-1 beta

CCL4, also known as macrophage inflammatory protein 1 beta (MIP-1 beta), is a 12 kDa beta chemokine that is secreted at sites of inflammation by activated leukocytes, lymphocytes, vascular endothelial cells, and pulmonary smooth muscle cells (1, 2). CCL4 attracts a variety of immune cells to sites of microbial infection as well as to other pathologic inflammation such as allergic asthma and ischemic myocardium (3-8). A CCL4 deficiency in mice promotes the development of autoantibodies, possibly as a result of compromised regulatory T cell recruitment (6). CCL4 is secreted from activated monocytes as a heterodimer with CCL3/MIP-1 alpha (9). The first two N-terminal amino acids can be cleaved from human CCL4 by CD26/DPPIV (10, 11). Both the full length and truncated forms exert biological activity through CCR5, and the truncated form additionally interacts with CCR1 and CCR2 (10). In humans, the ability of CCL4 to bind CCR5 inhibits the cellular entry of M-tropic HIV-1 which utilizes CCR5 as a coreceptor (2). Both forms of CCL4 block HIV-1 infection of T cells by inducing the downregulation of CCR5 (10). Mature mouse CCL4 shares 77% and 86% aa sequence identity with human and rat CCL4, respectively.

References

  1. Rot, A. and U.H. von Andrian (2004) Annu. Rev. Immunol. 22:891.
  2. Menten, P. et al. (2002) Cytokine Growth Factor Rev. 13:455.
  3. Sun, X. et al. (2006) Infec. Immun. 74:5943.
  4. Bisset, L.R. and Schmid-Grendelmeier, P. (2005) Curr. Opin. Pulm. Med. 11:35.
  5. Frangogiannis, N.G. (2004) Inflamm. Res. 53:585.
  6. Bystry, R.S. et al. (2001) Nat. Immunol. 2:1126.
  7. Oliveira, S.H.P. et al. (2002) J. Leukoc. Biol. 71:1019.
  8. Schall, T.J. et al. (1993) J. Exp. Med. 177:1821.
  9. Guan, E. et al. (2001) J. Biol. Chem. 276:12404.
  10. Guan, E. et al. (2002) J. Biol. Chem. 277:32348.
  11. Guan, E. et al. (2004) J. Cell. Biochem. 92:53.

Alternate Names

Exodus-3, MIP-1 beta, MIP1 beta

Entrez Gene IDs

6351 (Human); 20303 (Mouse); 116637 (Rat); 448786 (Canine); 102117861 (Cynomolgus Monkey)

Gene Symbol

CCL4

UniProt

Additional CCL4/MIP-1 beta Products

Product Documents for Mouse CCL4/MIP-1 beta Antibody

Certificate of Analysis

To download a Certificate of Analysis, please enter a lot number in the search box below.

Note: Certificate of Analysis not available for kit components.

Product Specific Notices for Mouse CCL4/MIP-1 beta Antibody

For research use only

Loading...
Loading...
Loading...
Loading...