Skip to main content

Key Product Details

Validated by

Biological Validation

Species Reactivity

Validated:

Mouse

Cited:

Mouse, Transgenic Mouse

Applications

Validated:

Western Blot, Neutralization

Cited:

Immunohistochemistry-Paraffin, Immunohistochemistry-Frozen, Neutralization, Flow Cytometry

Label

Unconjugated

Antibody Source

Polyclonal Goat IgG

Product Specifications

Immunogen

E. coli-derived recombinant mouse CCL20/MIP-3 alpha
Ala27-Met96
Accession # Q642U4

Specificity

Detects mouse CCL20/MIP-3 alpha in direct ELISAs and Western blots.

Clonality

Polyclonal

Host

Goat

Isotype

IgG

Endotoxin Level

<0.10 EU per 1 μg of the antibody by the LAL method.

Scientific Data Images for Mouse CCL20/MIP-3 alpha Antibody

Chemotaxis Induced by CCL20/MIP-3 alpha and Neutralization by Mouse CCL20/MIP-3 alpha Antibody.

Chemotaxis Induced by CCL20/MIP-3 alpha and Neutralization by Mouse CCL20/MIP-3 alpha Antibody.

Recombinant Mouse CCL20/MIP-3a (760-M3) chemoattracts the BaF3 mouse pro-B cell line transfected with human CCR6 in a dose-dependent manner (orange line). The amount of cells that migrated through to the lower chemotaxis chamber was measured by Resazurin (AR002). Chemotaxis elicited by Recombinant Mouse CCL20/MIP-3a (40 ng/mL) is neutralized (green line) by increasing concentrations of Goat Anti-Mouse CCL20/MIP-3a Antigen Affinity-purified Polyclonal Antibody (Catalog # AF760). The ND50 is typically 0.5-2.0 µg/mL.
Detection of Mouse CCL20/MIP-3 alpha by Immunohistochemistry

Detection of Mouse CCL20/MIP-3 alpha by Immunohistochemistry

Fatty acid induces Ccl20 expression from dermal blood endothelial cells (BECs) and epidermal keratinocytes. (a) Fold induction of Ccl2, Cxcl16, Ccl20 mRNA in the dermis of ND- or HFD-fed mice in the steady state, as analyzed by qRT-PCR. Results are presented relative to those of ND. The average mRNA expression levels in ND-fed mice are set as 1. (b) Immunohistochemical staining for CCL20 (green) and CD31 (red) in the ear skin of steady state ND and HFD-fed mice. Arrowheads in the panels indicate CCL20+CD31+ cells. Scale bars = 50 μm. (c) Fold induction of Ccl20 mRNA in the steady state epidermis, as analyzed by qRT-PCR. Results are presented relative to those of ND. The average mRNA expression level in ND-fed mice is set as 1. (d) Fold induction of CCL20 mRNA expression in human dermal BECs and epidermal keratinocytes cultured with or without fatty acids for 24 h. Results are presented relative to those of the vehicle-treated group. The average mRNA expression levels in ND-fed mice are set as 1. Pal: palmitic acid, Ste: stearic acid, Ole: oleic acid, Lin: linoleic acid. Results are expressed as the mean ± SEM. p-values were obtained by (a,c) Mann-Whitney-U-test and (d) one way ANOVA. *p ≤ 0.05. Data are pooled from two experiments with four mice (a), two experiments with three mice (c). Data are from one experiment, representative of three independent experiments with three to four mice (b), three experiments performed in triplicate (d). Image collected and cropped by CiteAb from the following open publication (https://pubmed.ncbi.nlm.nih.gov/29074858), licensed under a CC-BY license. Not internally tested by R&D Systems.
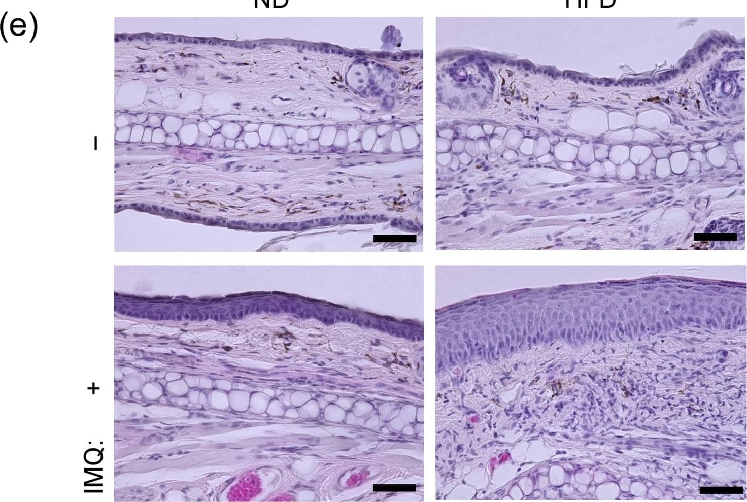
Detection of Mouse CCL20/MIP-3 alpha by Immunohistochemistry

Detection of Mouse CCL20/MIP-3 alpha by Immunohistochemistry

High-fat diet-induced obesity exacerbates imiquimod-induced psoriatic dermatitis. (a) Comparison of body weight between normal diet (ND)- and high fat diet (HFD)-fed mice 10 weeks after feeding. (b–d) Imiquimod (IMQ)-induced psoriatic dermatitis in wild-type (WT) mice fed with either a ND- or HFD-diet. Mice were treated with IMQ for five consecutive days. (b) Representative pictures of psoriatic dermatitis in ear skin. (c) Time course of ear swelling response. (d) Epidermal thickness change with or without IMQ treatment for five days. (e) Representative pictures of H&E-stained sections of the ear skin in ND- and HFD-fed mice with or without IMQ treatment for five days. Samples were collected at 24 h after the last IMQ treatment. Scale bars = 50 μm. Results are expressed as the mean ± SD (c) and SEM (a,d). p-values were obtained by Mann-Whitney-U-test. *p ≤ 0.05. Data are from one experiment, representative of six independent experiments with three to four mice (a), three experiments with three to four mice (b–e). Image collected and cropped by CiteAb from the following open publication (https://pubmed.ncbi.nlm.nih.gov/29074858), licensed under a CC-BY license. Not internally tested by R&D Systems.

Applications for Mouse CCL20/MIP-3 alpha Antibody

Application
Recommended Usage

Western Blot

0.1 µg/mL
Sample: Recombinant Mouse CCL20/MIP-3 alpha (Catalog # 760-M3)

Neutralization

Measured by its ability to neutralize CCL20/MIP‑3 alpha-induced chemotaxis in the BaF3 mouse pro‑B cell line transfected with human CCR6. The Neutralization Dose (ND50) is typically 0.5-2.0 µg/mL in the presence of 40 ng/mL Recombinant Mouse CCL20/MIP‑3 alpha.

Reviewed Applications

Read 1 review rated 4 using AF760 in the following applications:

Formulation, Preparation, and Storage

Purification

Antigen Affinity-purified

Reconstitution

Reconstitute at 0.2 mg/mL in sterile PBS. For liquid material, refer to CoA for concentration.

Reconstitution Buffer Available:
Size / Price
Qty
Loading...

Formulation

Lyophilized from a 0.2 μm filtered solution in PBS with Trehalose. *Small pack size (SP) is supplied either lyophilized or as a 0.2 µm filtered solution in PBS.

Shipping

Lyophilized product is shipped at ambient temperature. Liquid small pack size (-SP) is shipped with polar packs. Upon receipt, store immediately at the temperature recommended below.

Stability & Storage

Use a manual defrost freezer and avoid repeated freeze-thaw cycles.
  • 12 months from date of receipt, -20 to -70 °C as supplied.
  • 1 month, 2 to 8 °C under sterile conditions after reconstitution.
  • 6 months, -20 to -70 °C under sterile conditions after reconstitution.

Background: CCL20/MIP-3 alpha

MIP-3 alpha, also known as LARC (Liver and Activation-regulated Chemokine) and Exodus, is one of many novel beta chemokines identified through bioinformatics. Mouse MIP-3 alpha cDNA encodes a 97 amino acid residue precursor protein with a 27 aa residue putative signal peptide that is predicted to be cleaved to form the 70 aa residue mature secreted protein. MIP-3 alpha is distantly related to other beta chemokines (20-28% aa sequence identity). Mouse MIP-3 alpha shares approximately 71% and 63% amino acid sequence homology with rat and human MIP-3 alpha, respectively.

MIP-3 alpha has been shown to be expressed predominantly in lymph nodes, appendix, PBL, fetal liver, fetal lung, and epithelial cells of intestinal tissues. The expression of MIP-3 alpha is strongly up-regulated by inflammatory signals and down-regulated by the anti-inflammatory cytokine IL-10. Synthetic or recombinant MIP-3 alpha has been shown to be chemotactic for lymphocytes and dendritic cells, and inhibits proliferation of myeloid progenitors in colony formation assays. MIP-3 alpha has now been shown to be a unique functional ligand for CCR6 (previously referred to as GPR-CY4, CKR-L3, or STRL22 orphan receptor), a chemokine receptor that is selectively and highly expressed in human dendritic cells derived from CD34+ cord blood precursors.

Alternate Names

exodus-1, LARC, MIP-3 alpha, MIP3 alpha

Entrez Gene IDs

6364 (Human); 20297 (Mouse); 29538 (Rat)

Gene Symbol

CCL20

UniProt

Additional CCL20/MIP-3 alpha Products

Product Documents for Mouse CCL20/MIP-3 alpha Antibody

Certificate of Analysis

To download a Certificate of Analysis, please enter a lot number in the search box below.

Note: Certificate of Analysis not available for kit components.

Product Specific Notices for Mouse CCL20/MIP-3 alpha Antibody

For research use only

Loading...
Loading...
Loading...
Loading...