Skip to main content

Key Product Details

Species Reactivity

Validated:

Mouse

Cited:

Mouse

Applications

Validated:

Immunohistochemistry, Western Blot, Simple Western

Cited:

Western Blot

Label

Unconjugated

Antibody Source

Polyclonal Goat IgG

Product Specifications

Immunogen

Mouse myeloma cell line NS0-derived recombinant mouse C‑Reactive Protein/CRP
His20-Ser225
Accession # Q91XB3

Specificity

Detects mouse C‑Reactive Protein/CRP in direct ELISAs and Western blots.

Clonality

Polyclonal

Host

Goat

Isotype

IgG

Scientific Data Images for Mouse C-Reactive Protein/CRP Antibody

Detection of Mouse C-Reactive Protein/CRP antibody by Western Blot.

Detection of Mouse C‑Reactive Protein/CRP by Western Blot.

Western blot shows lysate of mouse serum. PVDF membrane was probed with 1 µg/mL of Goat Anti-Mouse C-Reactive Protein/CRP Antigen Affinity-purified Polyclonal Antibody (Catalog # AF1829) followed by HRP-conjugated Anti-Goat IgG Secondary Antibody (HAF017). A specific band was detected for C-Reactive Protein/CRP at approximately 25 kDa (as indicated). This experiment was conducted under reducing conditions and using Immunoblot Buffer Group 1.

Detection of Mouse C-Reactive Protein/CRP by Simple WesternTM.

Simple Western lane view shows mouse serum and mouse plasma, loaded at 0.2 mg/mL. A specific band was detected for C-Reactive Protein/CRP at approximately 30 kDa (as indicated) using 10 µg/mL of Goat Anti-Mouse C-Reactive Protein/CRP Antigen Affinity-purified Polyclonal Antibody (Catalog # AF1829) . This experiment was conducted under reducing conditions and using the 12-230 kDa separation system.

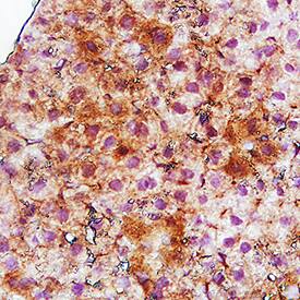
Detection of C-Reactive Protein/CRP in Mouse Liver.

C-Reactive Protein/CRP was detected in perfusion fixed paraffin-embedded sections of Mouse Liver using Goat Anti-Mouse C-Reactive Protein/CRP Antigen Affinity-purified Polyclonal Antibody (Catalog # AF1829) at 5 µg/mL for 1 hour at room temperature followed by incubation with the Anti-Goat IgG VisUCyte™ HRP Polymer Antibody (Catalog # VC004). Before incubation with the primary antibody, tissue was subjected to heat-induced epitope retrieval using VisUCyte Antigen Retrieval Reagent-Basic (Catalog # VCTS021). Tissue was stained using DAB (brown) and counterstained with hematoxylin (blue). Specific staining was localized to cytoplasm in hepatocytes. View our protocol for IHC Staining with VisUCyte HRP Polymer Detection Reagents.

Applications for Mouse C-Reactive Protein/CRP Antibody

Application
Recommended Usage

Immunohistochemistry

5-15 µg/mL
Sample: Perfusion fixed paraffin-embedded sections of Mouse Liver.

Simple Western

10 µg/mL
Sample: Mouse serum and mouse plasma

Western Blot

1 µg/mL
Sample: Mouse serum

Formulation, Preparation, and Storage

Purification

Antigen Affinity-purified

Reconstitution

Reconstitute at 0.2 mg/mL in sterile PBS. For liquid material, refer to CoA for concentration.

Reconstitution Buffer Available:
Size / Price
Qty
Loading...

Formulation

Lyophilized from a 0.2 μm filtered solution in PBS with Trehalose. *Small pack size (SP) is supplied either lyophilized or as a 0.2 µm filtered solution in PBS.

Shipping

Lyophilized product is shipped at ambient temperature. Liquid small pack size (-SP) is shipped with polar packs. Upon receipt, store immediately at the temperature recommended below.

Stability & Storage

Use a manual defrost freezer and avoid repeated freeze-thaw cycles.
  • 12 months from date of receipt, -20 to -70 °C as supplied.
  • 1 month, 2 to 8 °C under sterile conditions after reconstitution.
  • 6 months, -20 to -70 °C under sterile conditions after reconstitution.

Background: C-Reactive Protein/CRP

C-reactive protein (CRP) is a member of the pentraxin family of plasma proteins that are part of the lectin fold superfamily of calcium-dependent, carbohydrate-binding proteins (1). CRP is named for its ability to bind to the C-polysaccharide of Strep. Pneumoniae. CRP is characterized by cyclic pentameric structure that contains five identical protomers/subunits, each exhibiting a lectin fold composed of two antiparallel beta-sheets with a fattened jellyroll topology. The mouse CRP precursor is 225 amino acids (aa) in length and contains a signal peptide of 19 aa with a mature polypeptide of 206 aa (2, 3). There is one intrachain disulfide bond and no N-linked glycosylation site(s). Although rat CRP is glycosylated at an N-linked site, human, mouse and rabbit CRP all appear to be non-glycosylated (1, 4, 5). In mouse, the protomers are assembled non-covalently to form the pentameter; in rat, two of the five protomers are covalently linked (6). Mature mouse CRP shares 74%, 71%, 79%, and 68% aa sequence identity with rat, human, hamster and guinea pig CRP, respectively. In human, CRP is induced in hepatocytes principally by IL-6 (1). In mouse, IL-6 has very little effect. Mouse CRP induction is due principally to IL-1 (1, 7), with another pentraxin, SAP, being IL-6 inducible (7). CRP exhibits calcium-dependent binding to ligands. Phosphocholine (PCh), a constituent of many bacterial and fungal cell walls, is a principal ligand of CRP. CRP will also bind to the cell membrane of injured necrotic and apoptotic cells. In this context, CRP acts as an opsonin, binding to Fc gamma RI and II, and serves as an antiinflammatory agent (8).

References

  1. Hirschfield, G.M. and M.B. Pepys (2003) Q.J. Med 96:793.
  2. Whitehead, A.S. et al. (1990) Biochem. J. 266:283.
  3. Ohnishi, S. et al. (1988) Biochem. Biophys. Res. Commun. 156:814.
  4. Sambasivam, H. et al. (1993) J. Biol. Chem. 268:10007.
  5. Black, S. et al. (2004) J. Biol. Chem. 279:48487.
  6. Rassouli, M. et al. (1992) J. Biol. Chem. 267:2947.
  7. Ku, N.-O. and R.F. Mortensen (1993) Cytokine 5:319.
  8. Mold, C. et al. (2002) J. Immunol. 169:7019.

Alternate Names

CRP

Entrez Gene IDs

1401 (Human); 12944 (Mouse); 25419 (Rat)

Gene Symbol

CRP

UniProt

Additional C-Reactive Protein/CRP Products

Product Documents for Mouse C-Reactive Protein/CRP Antibody

Certificate of Analysis

To download a Certificate of Analysis, please enter a lot number in the search box below.

Note: Certificate of Analysis not available for kit components.

Product Specific Notices for Mouse C-Reactive Protein/CRP Antibody

For research use only

Loading...
Loading...
Loading...
Loading...